

































































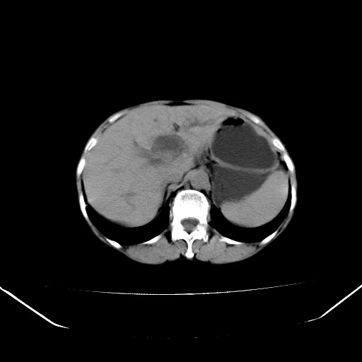
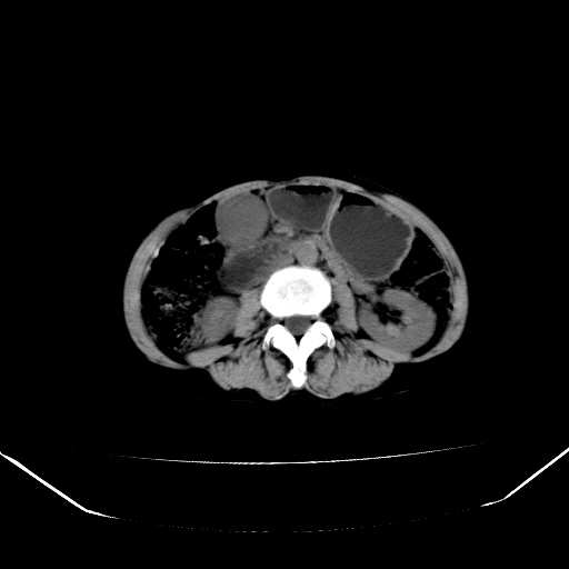
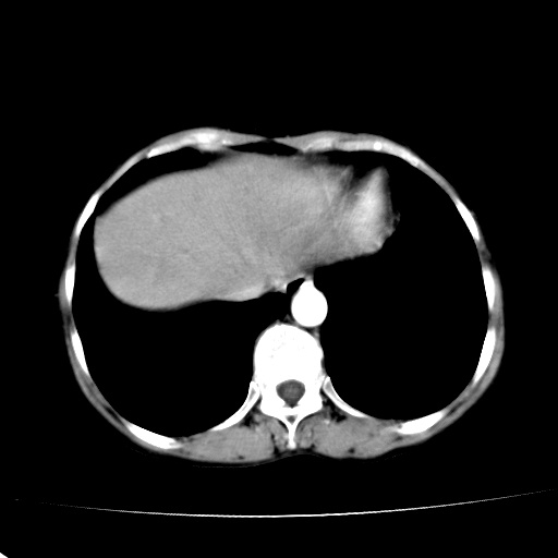
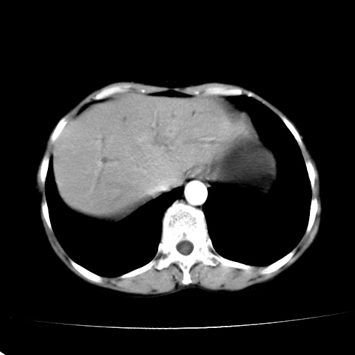
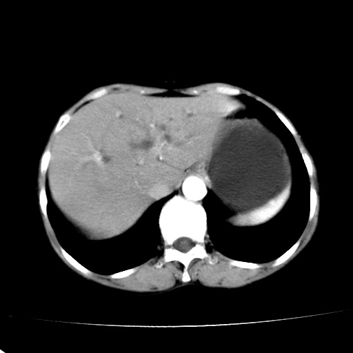
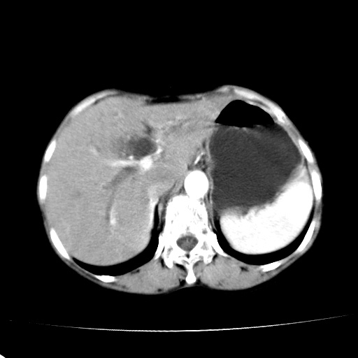
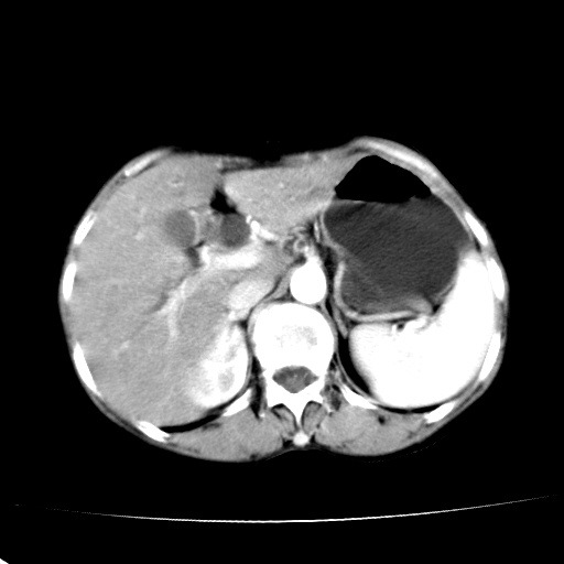
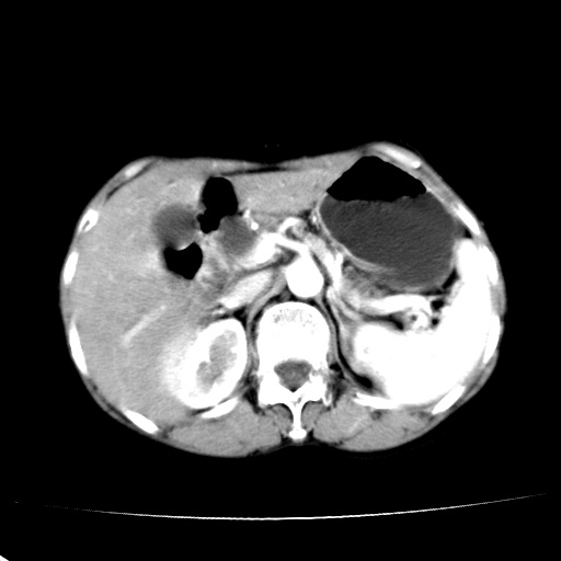
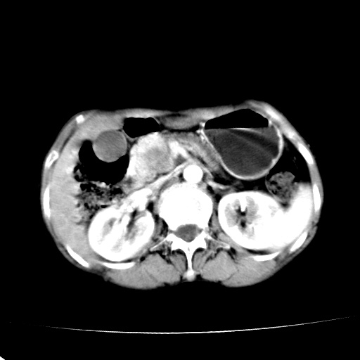
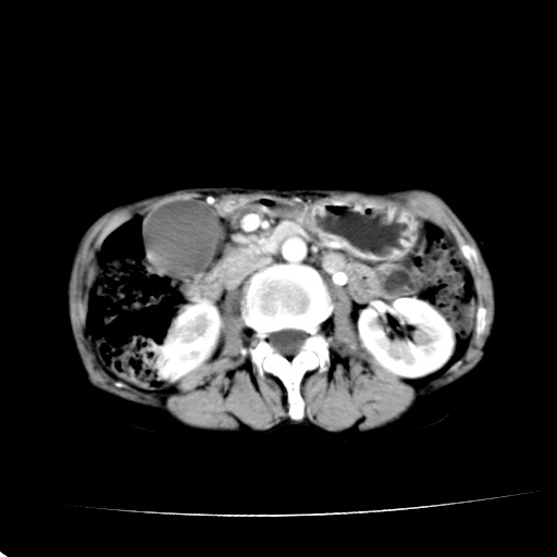
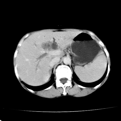
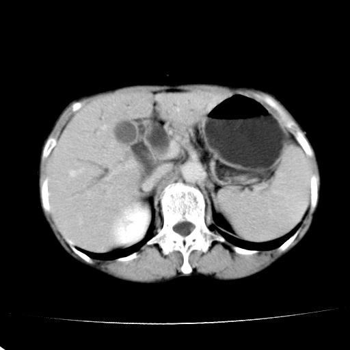
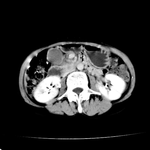
以下是引用dyqct在2008-6-3 14:54:00的发言:[br]支持 胰头癌伴肝内外胆管扩张,胰管扩张,胰头增大,增强见结节状轻度强化影,双管征明显。肠系膜上静脉已受侵(已不能手术),建议离子植入治疗吧。
以下是引用jiangjing在2008-6-3 13:36:00的发言:[br]支持 胰头癌------肝内外胆管扩张,胰管扩张,胰头增大,增强见结节状轻度强化影,双管征明显
以下是引用卜一在2008-6-3 14:40:00的发言:[br]支持:胰头癌!(肝内外胆管扩张,胆囊高度扩张,胰管扩张,胰头增大,增强见结节状强化,明显低于胰腺强化密度,并明显见双管征)
以下是引用dyqct在2008-6-3 14:54:00的发言:[br]支持 胰头癌伴肝内外胆管扩张,胰管扩张,胰头增大,增强见结节状轻度强化影,双管征明显。肠系膜上静脉已受侵(已不能手术),建议离子植入治疗吧。
以下是引用dyqct在2008-6-3 14:54:00的发言:[br]支持 胰头癌伴肝内外胆管扩张,胰管扩张,胰头增大,增强见结节状轻度强化影,双管征明显。肠系膜上静脉已受侵(已不能手术),建议离子植入治疗吧。
| 欢迎光临 医影在线 (http://bbs.radida.com/bbs/) | Powered by Discuz! X3.2 |