
















































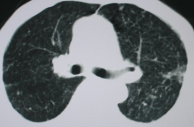
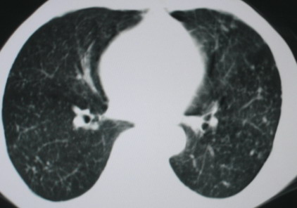
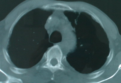
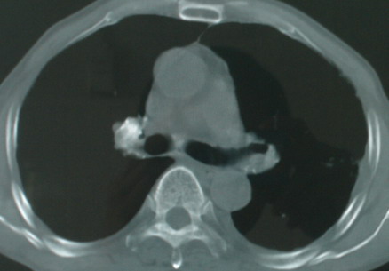
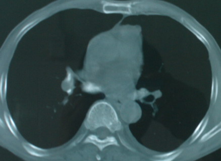
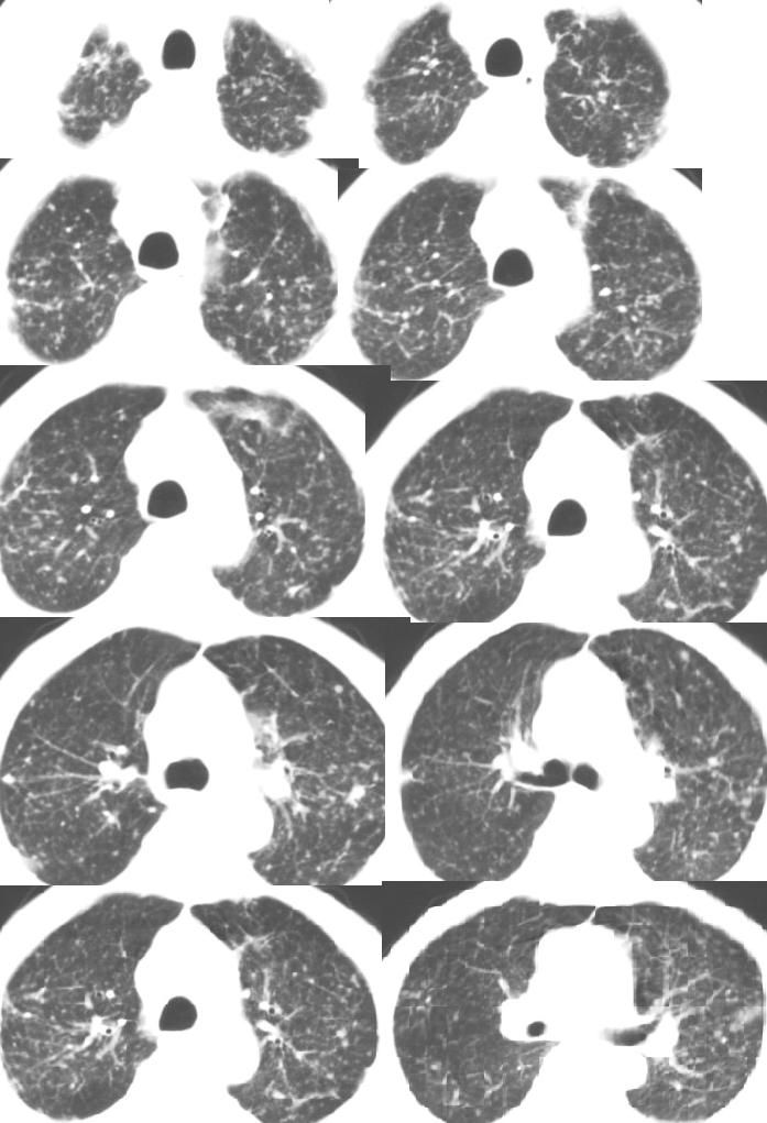
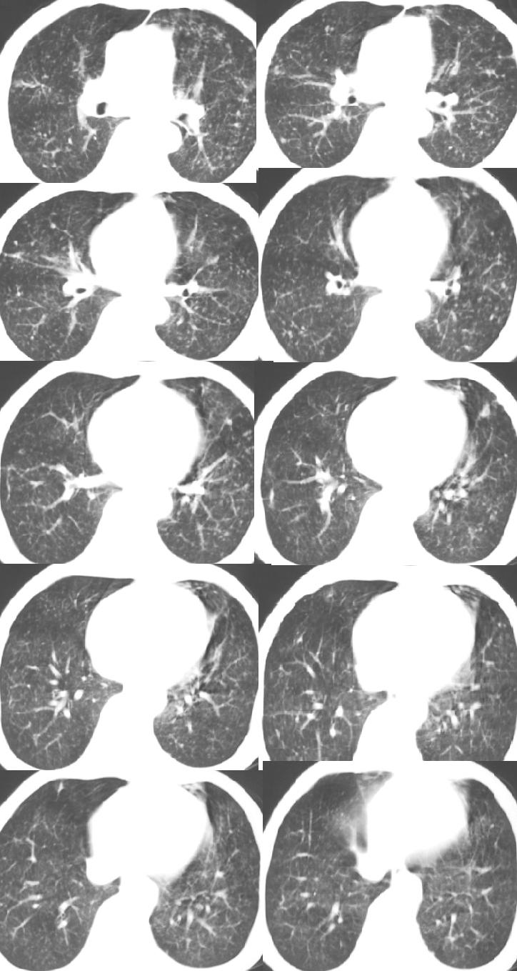
以下是引用医影拾贝在2008-6-3 18:48:00的发言:[br]双上肺弥漫性小结节影,纵隔窗内钙化淋巴结影,考虑血播性tb可能性较大,不除外肺ca可能
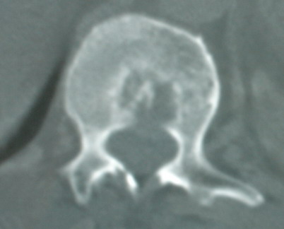
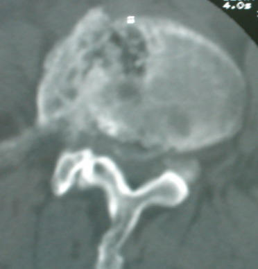
以下是引用jinguoji在2008-6-3 20:20:00的发言:[br]双上肺弥漫性小结节影,纵隔窗内钙化淋巴结影,考虑血播性tb可能性较大,不除外肺ca可能。腰椎考虑退变。


以下是引用卜一在2008-6-3 19:33:00的发言:[br]双肺结节,以双上肺分布为多,期间搀杂片状致密影及索条致密影。考虑:继发性肺结核伴血型播散可能性大。不除外肺泡ca的可能!另:椎体退变!
以下是引用jinguoji在2008-6-3 20:20:00的发言:[br]双上肺弥漫性小结节影,纵隔窗内钙化淋巴结影,考虑血播性tb可能性较大,不除外肺ca可能。腰椎考虑退变。
以下是引用卜一在2008-6-3 19:33:00的发言:[br]双肺结节,以双上肺分布为多,期间搀杂片状致密影及索条致密影。考虑:继发性肺结核伴血型播散可能性大。不除外肺泡ca的可能!另:椎体退变!
以下是引用panyishengct在2008-6-3 21:09:00的发言:[br]双上肺弥漫性小结节影,纵隔窗内钙化淋巴结影,考虑矽肺或/和tb可能性较大,不除外肺ca可能。腰椎考虑退变。 [br][br]
| 欢迎光临 医影在线 (http://bbs.radida.com/bbs/) | Powered by Discuz! X3.2 |