
















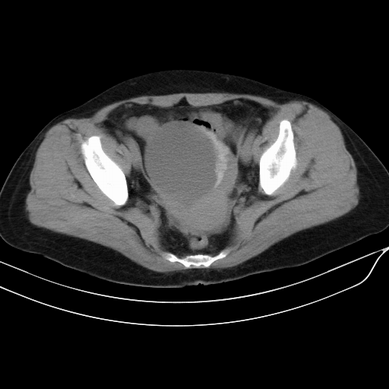
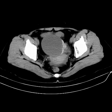
以下是引用zsl6918在2008-6-5 13:49:00的发言:[br]右侧附件区囊性占位,边可见钙化改变,底可见实性结节,考虑囊腺瘤可能性大.
以下是引用zsl6918在2008-6-5 13:49:00的发言:[br]右侧附件区囊性占位,边可见钙化改变,底可见实性结节,考虑囊腺瘤可能性大.
以下是引用zjzjr在2008-6-5 17:29:00的发言:[br]可见壁结节,支持囊腺瘤可能性大.
以下是引用zsl6918在2008-6-5 13:49:00的发言:[br]右侧附件区囊性占位,边可见钙化改变,底可见实性结节,考虑囊腺瘤可能性大.
| 欢迎光临 医影在线 (http://bbs.radida.com/bbs/) | Powered by Discuz! X3.2 |