

以下是引用光影★笑子在2008-6-5 17:26:00的发言:[br]考虑为:脉络膜裂囊肿。建议:mri检查。
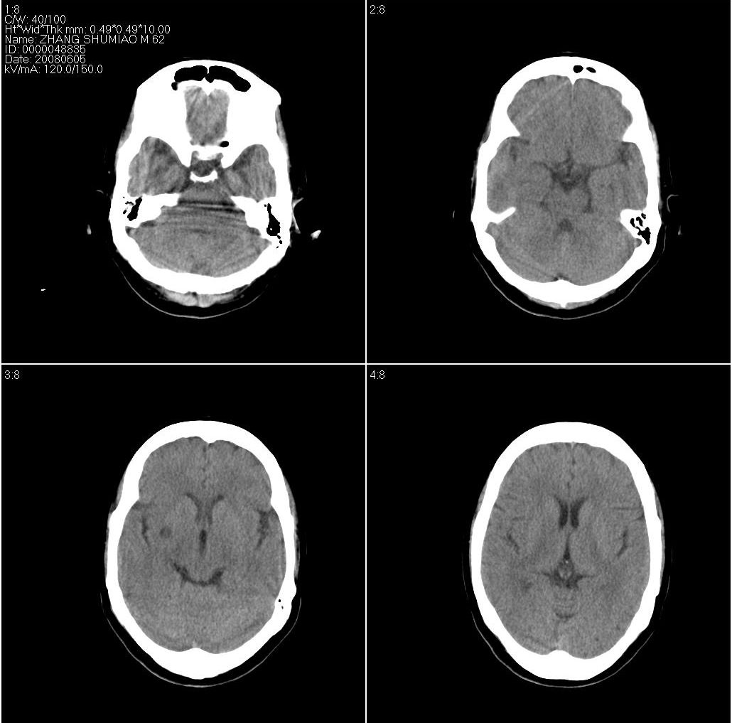
以下是引用欧阳双全在2008-6-5 16:37:00的发言:[br]小类圆形低密度影,边界清,考虑为外囊区腔隙性脑梗塞!
以下是引用zjzjr在2008-6-5 17:32:00的发言:[br]右侧基底节腔隙性梗塞!
以下是引用欧阳双全在2008-6-5 16:37:00的发言:[br]小类圆形低密度影,边界清,考虑为外囊区腔隙性脑梗塞!
| 欢迎光临 医影在线 (http://bbs.radida.com/bbs/) | Powered by Discuz! X3.2 |