












































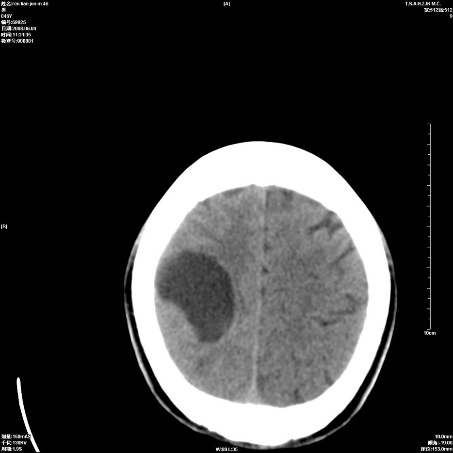
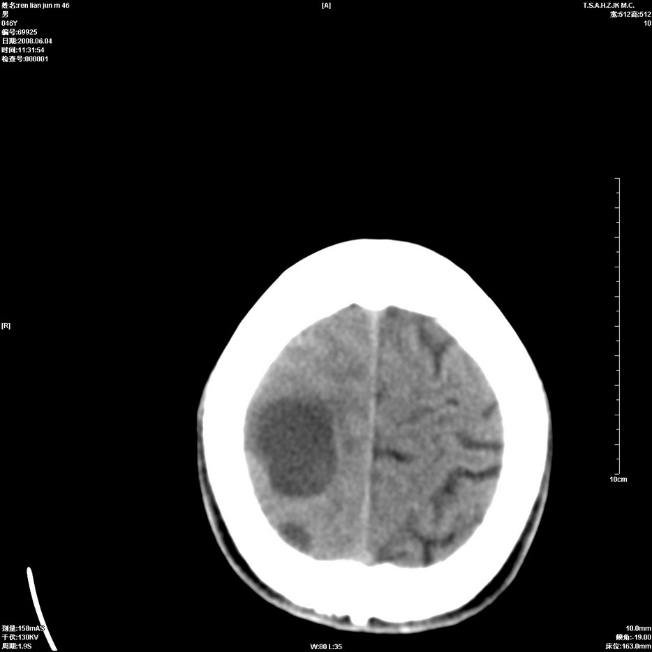
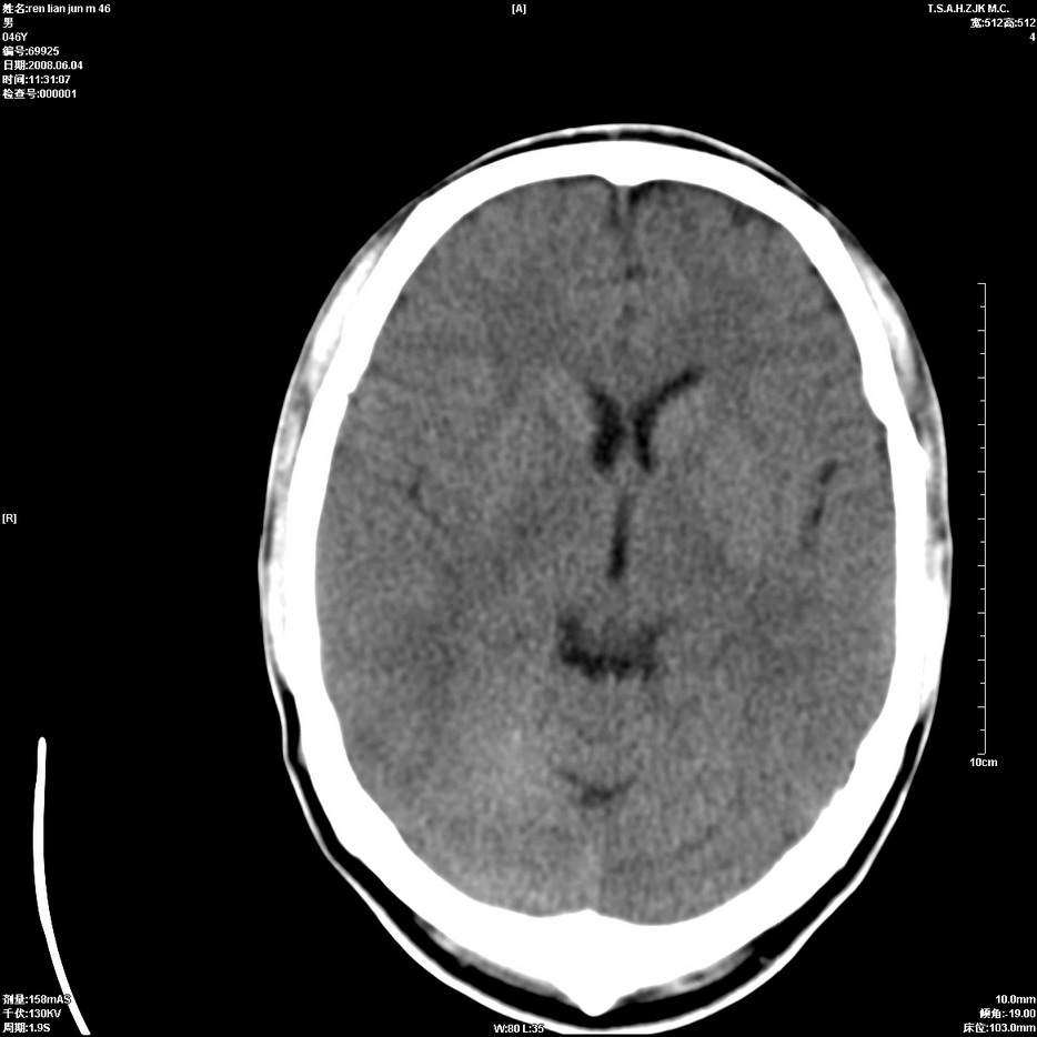
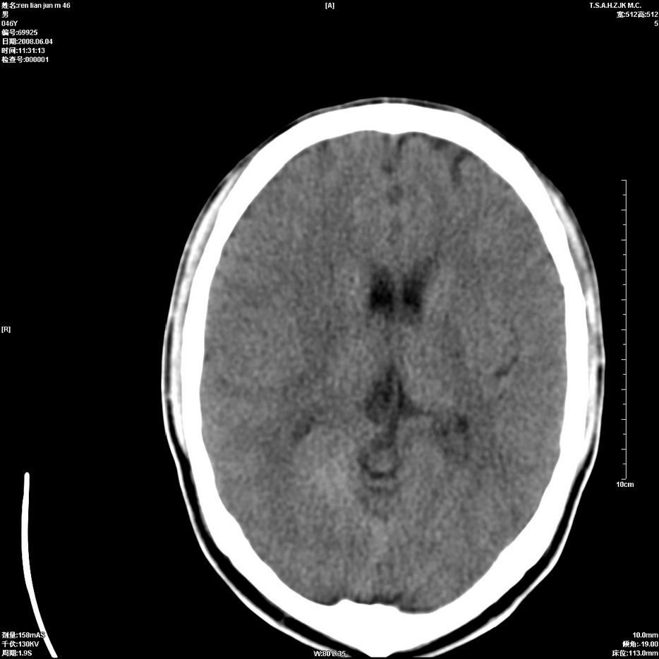
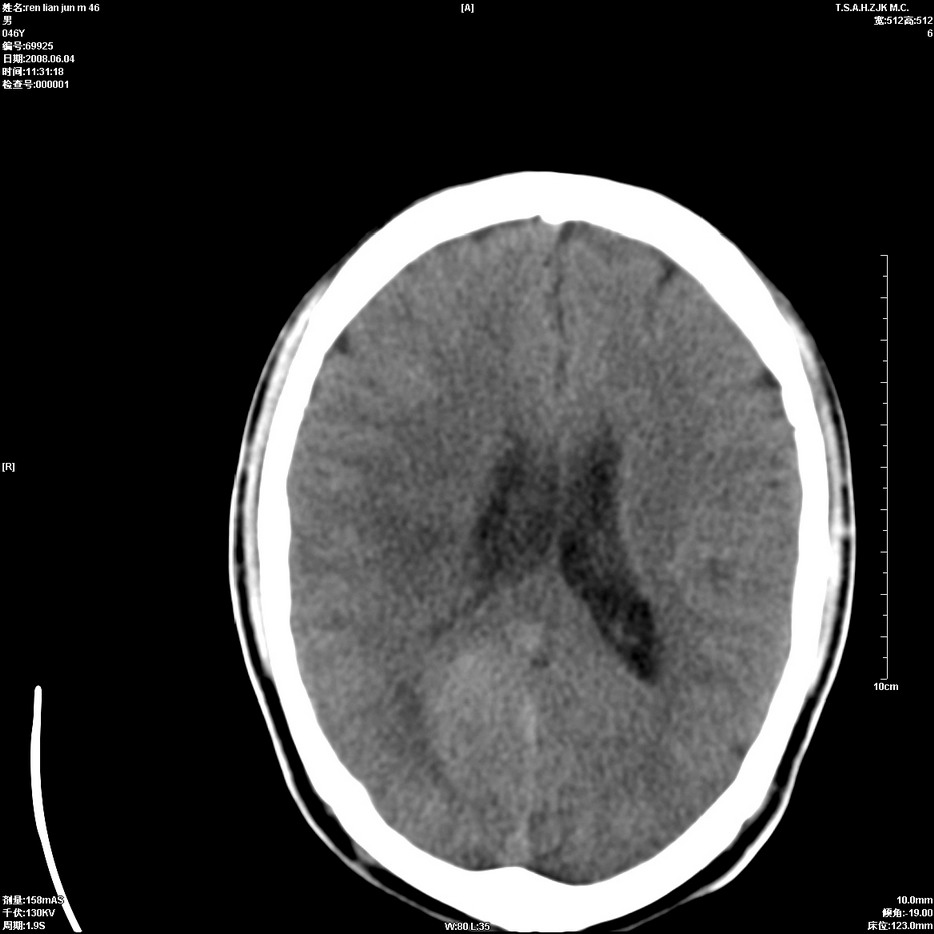
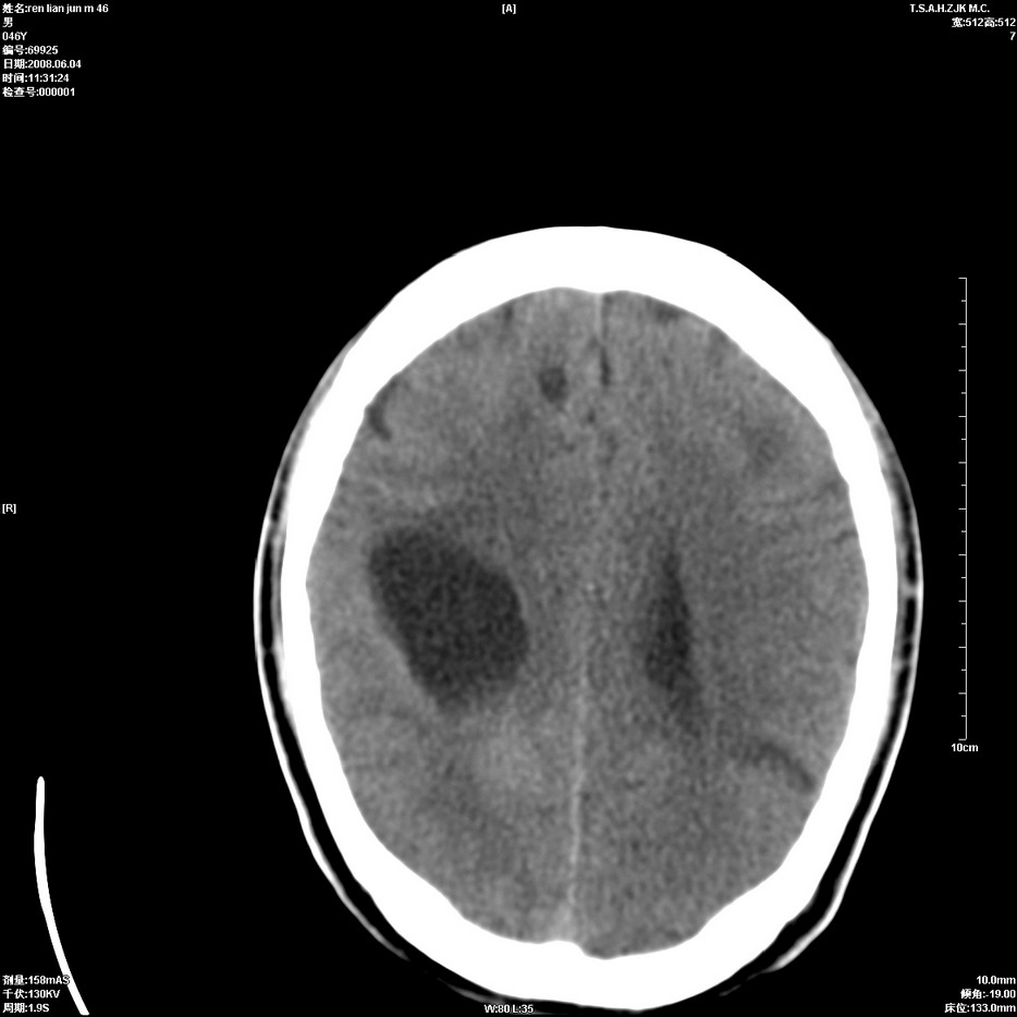
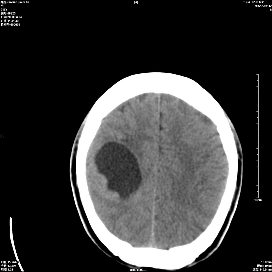
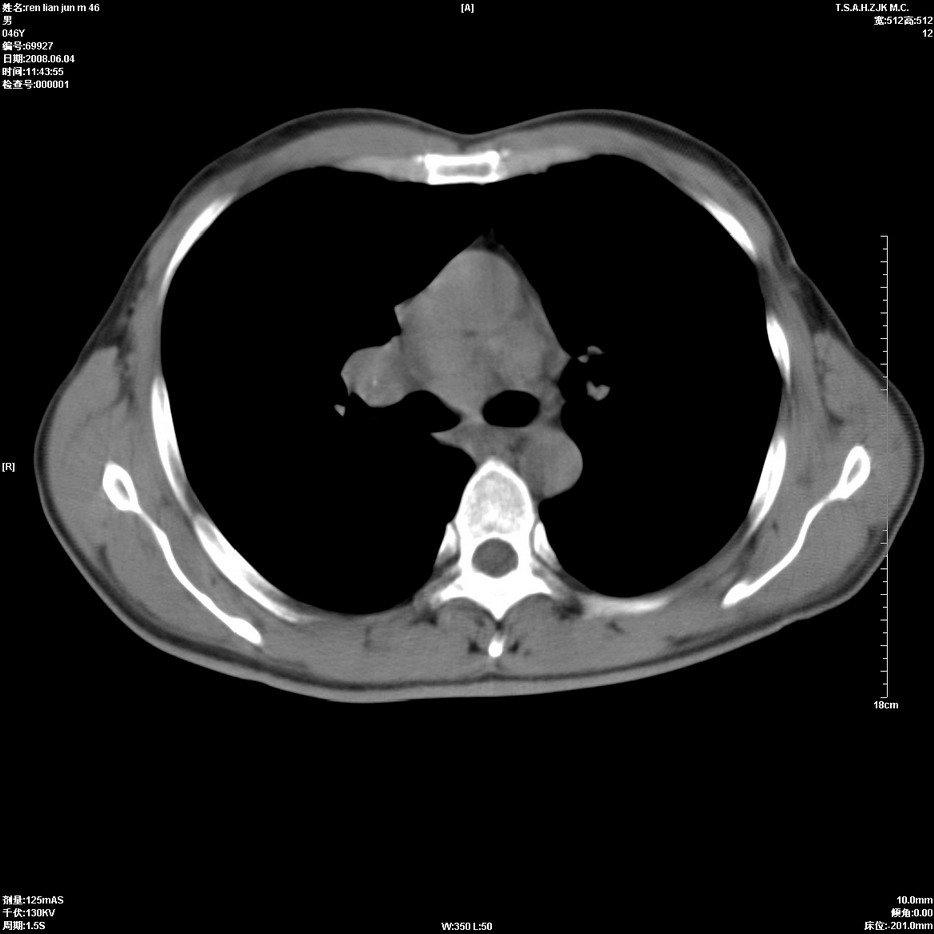
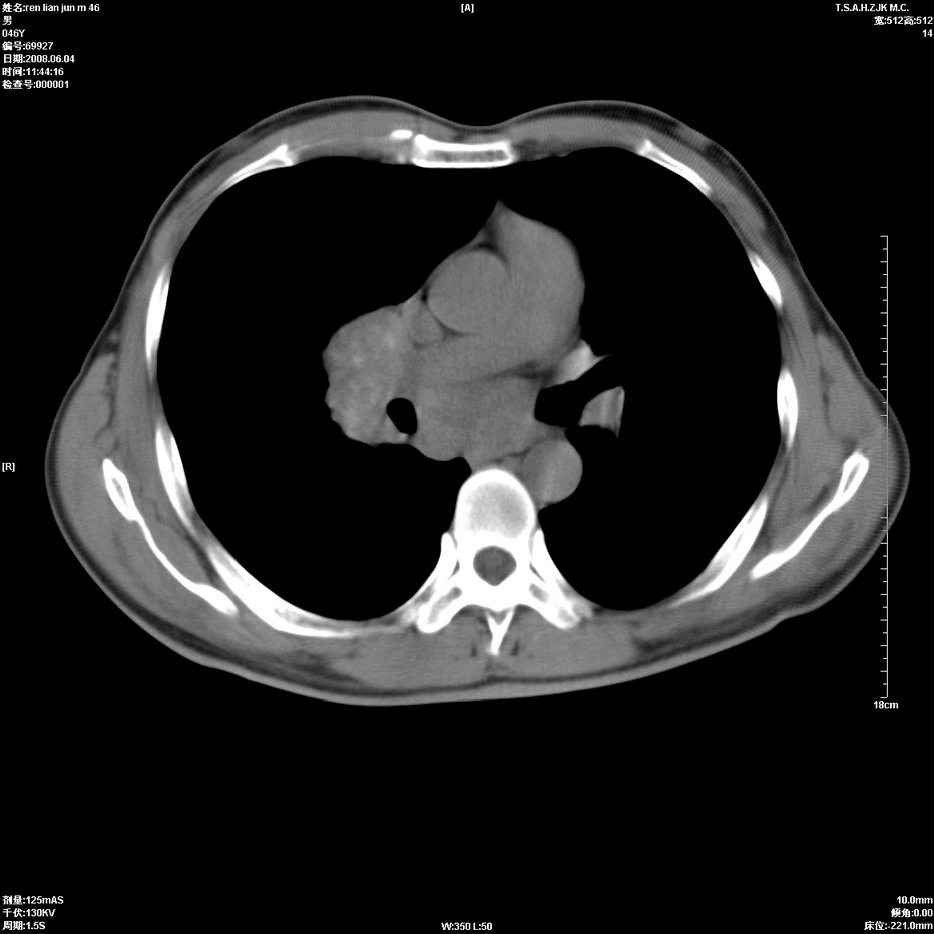
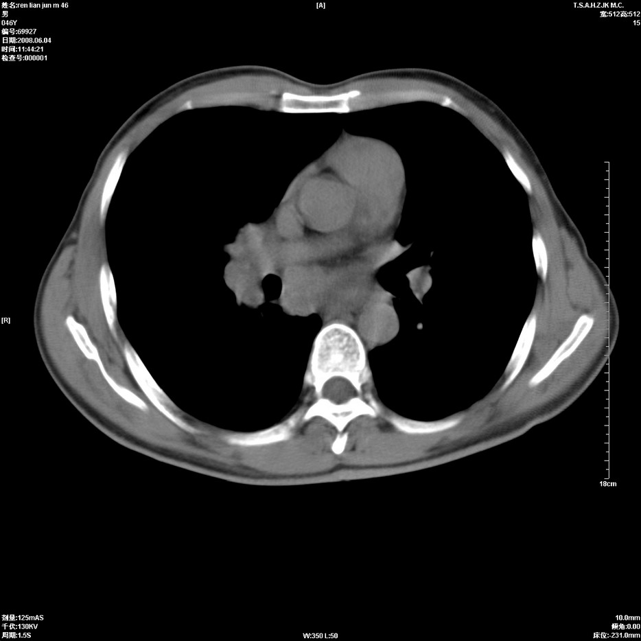
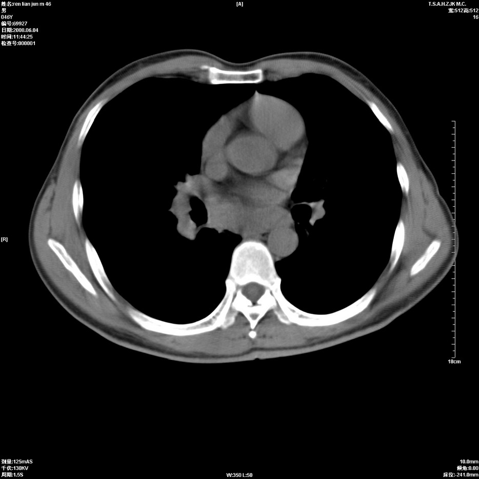
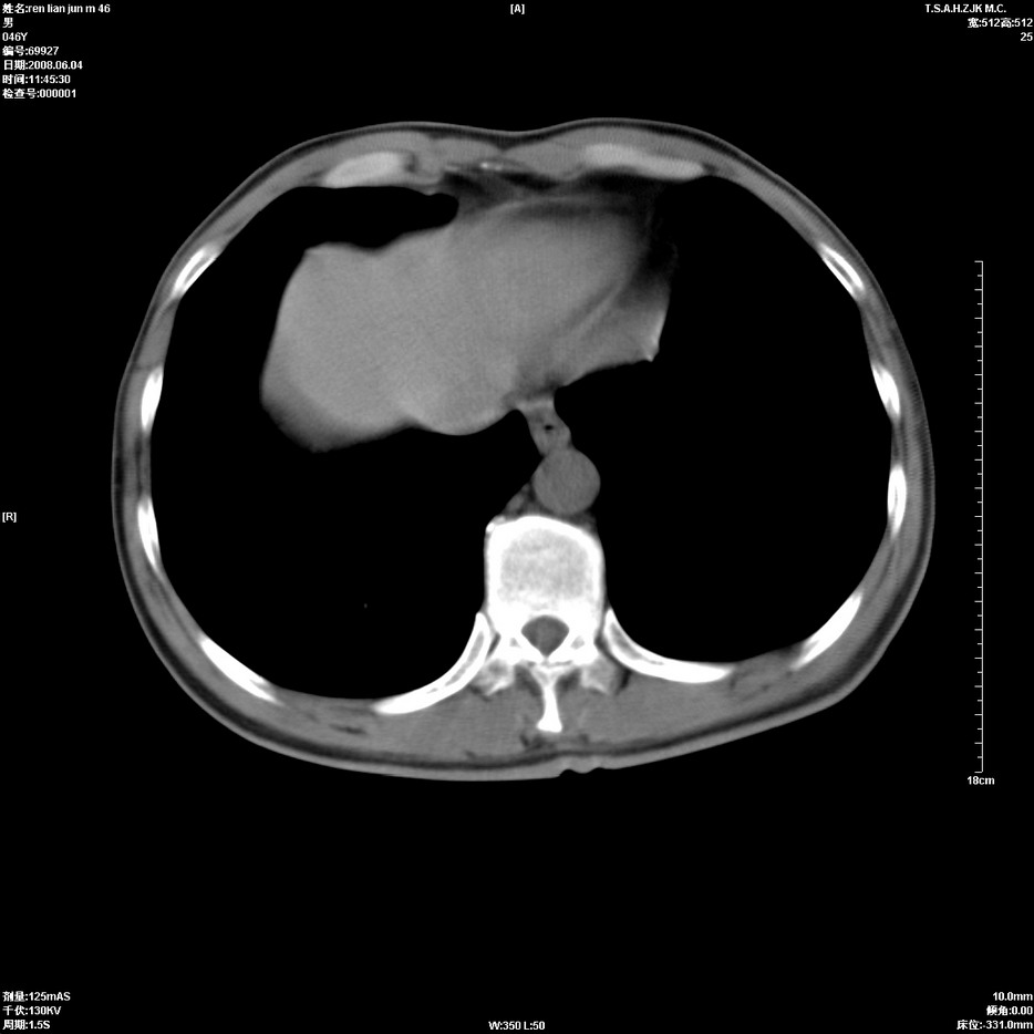
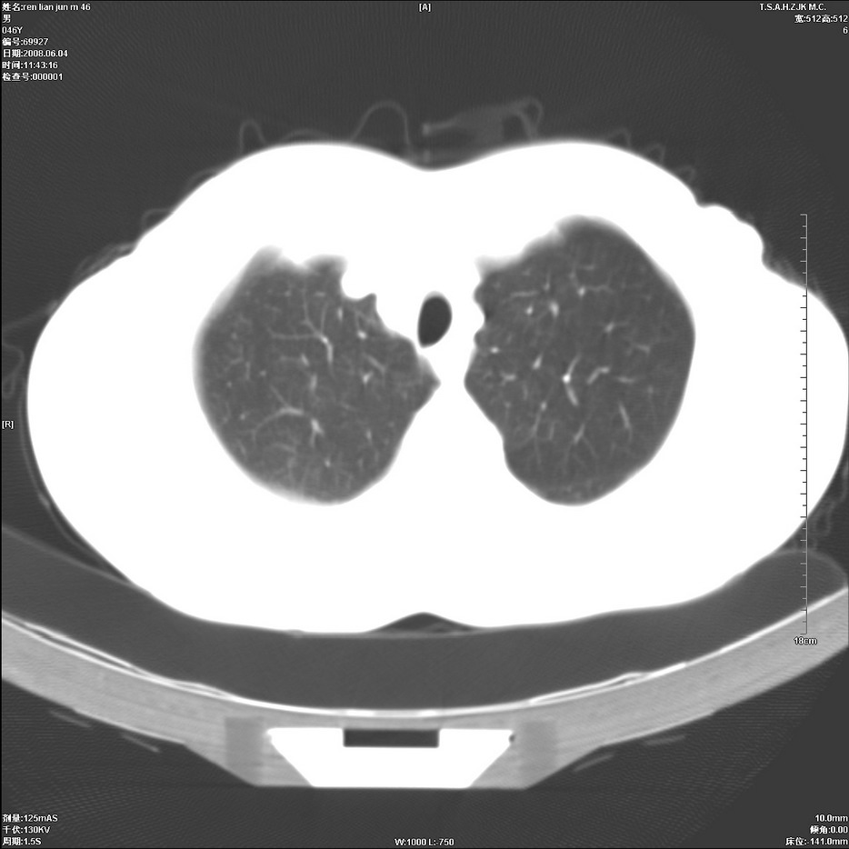
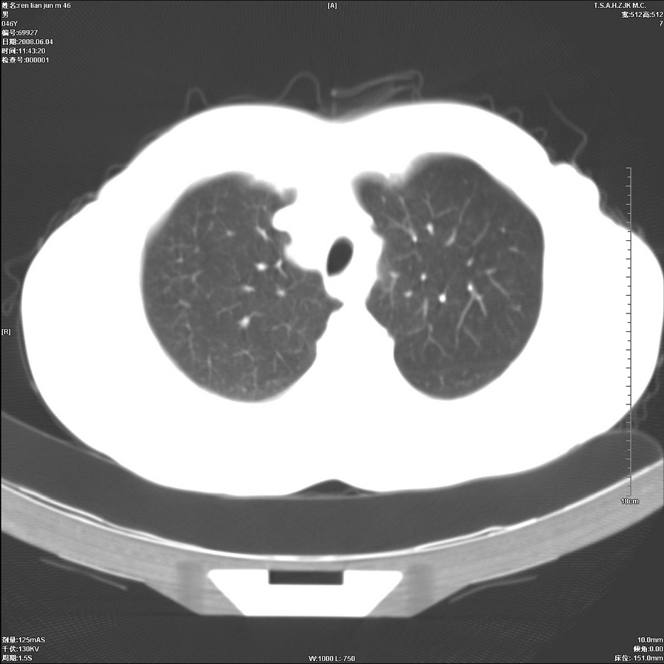
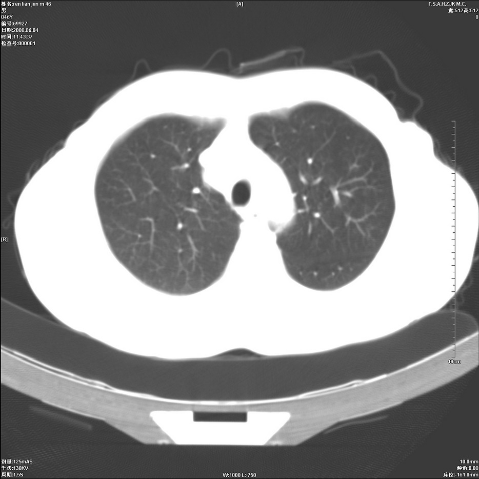
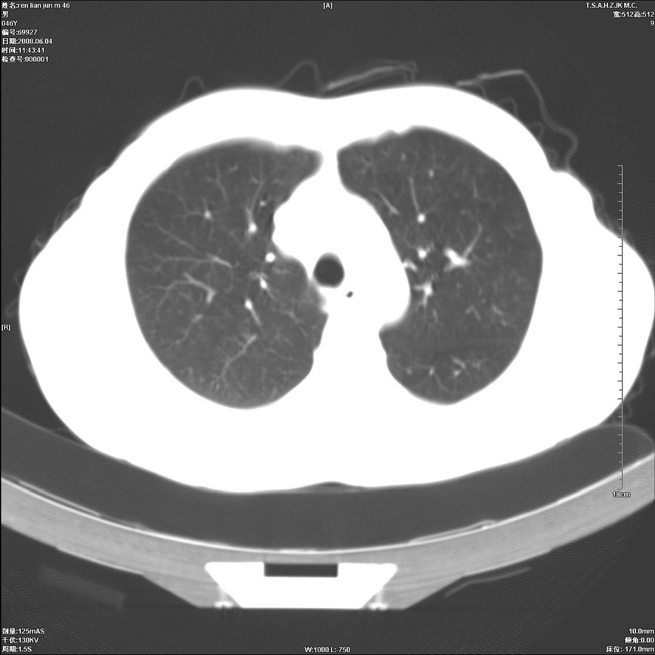
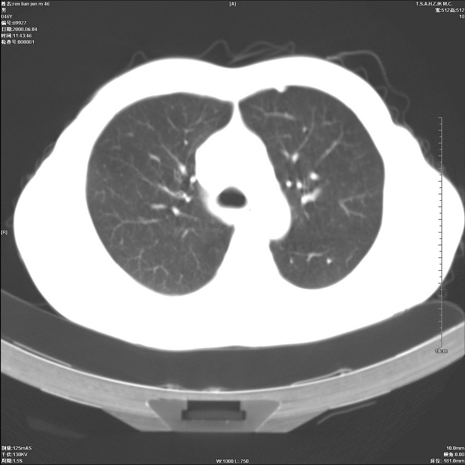
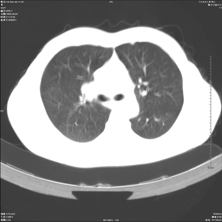
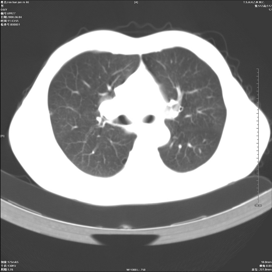
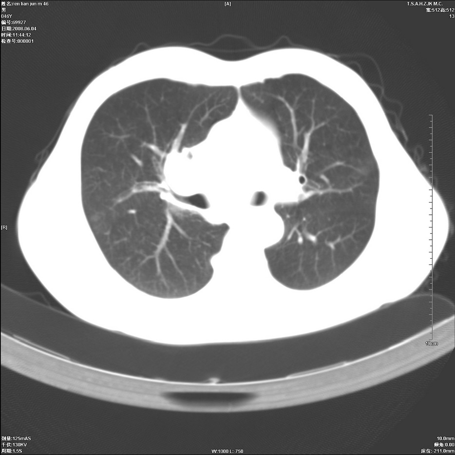
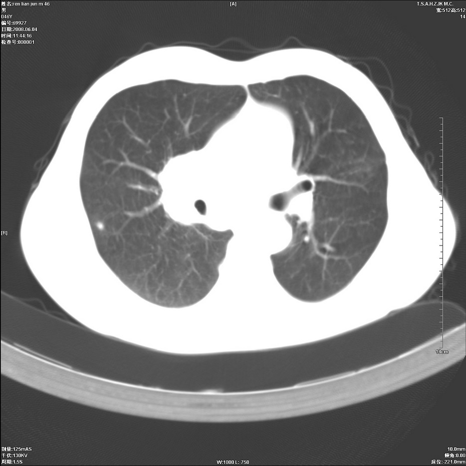
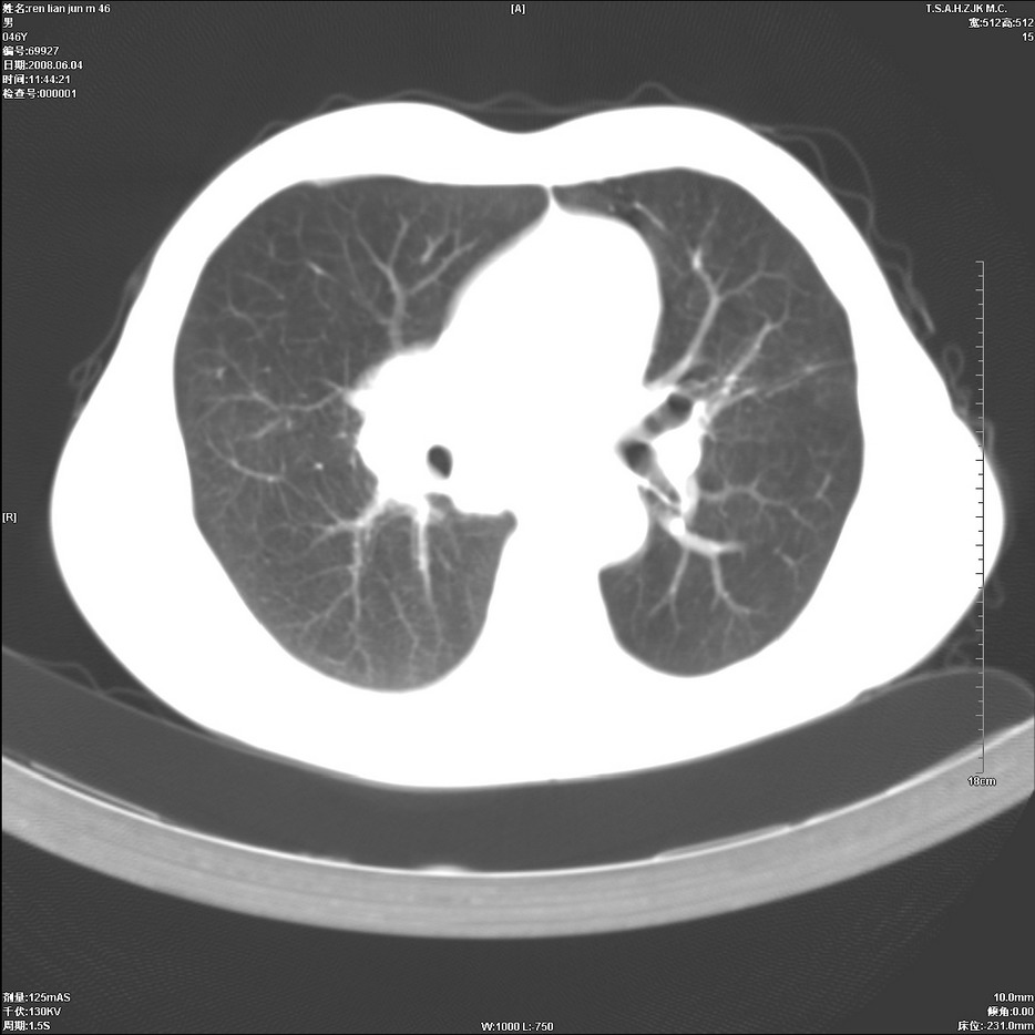
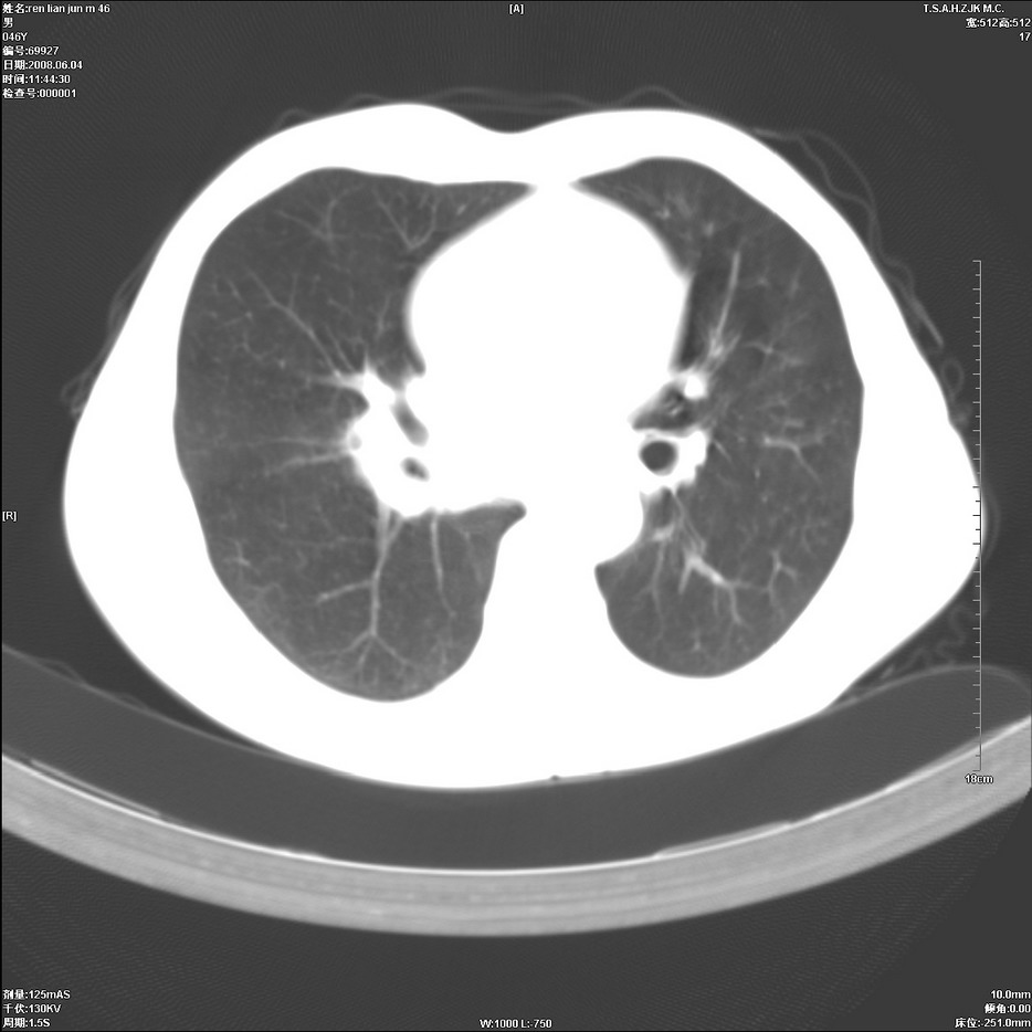
以下是引用qiu999在2008-6-5 17:14:00的发言:[br]考虑右肺中心型肺癌.颅内应做增强检查.
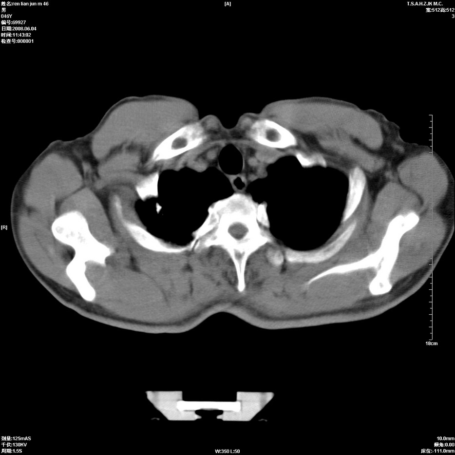
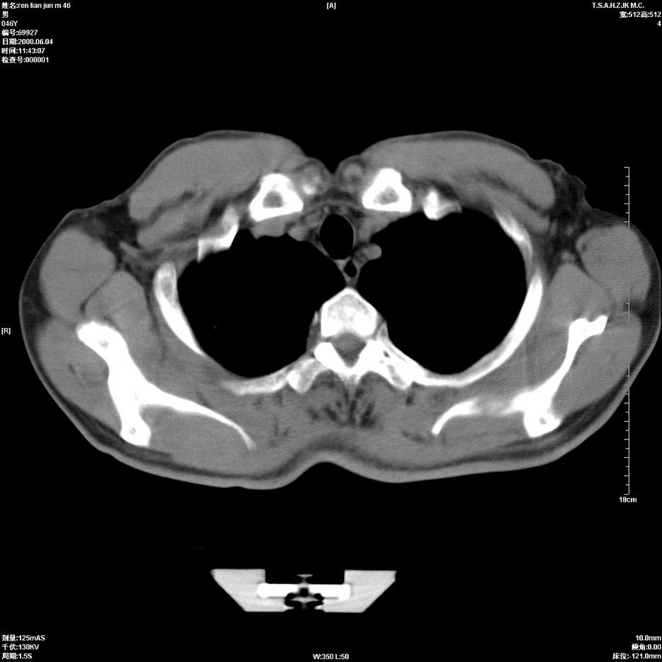
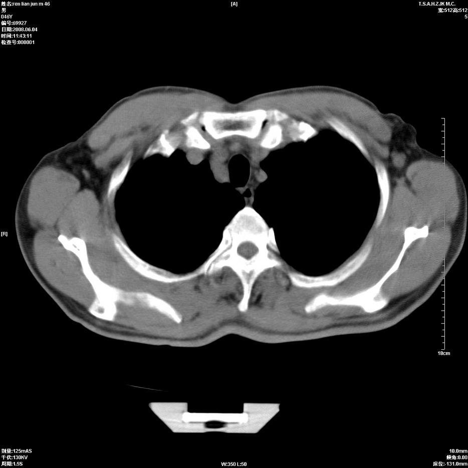
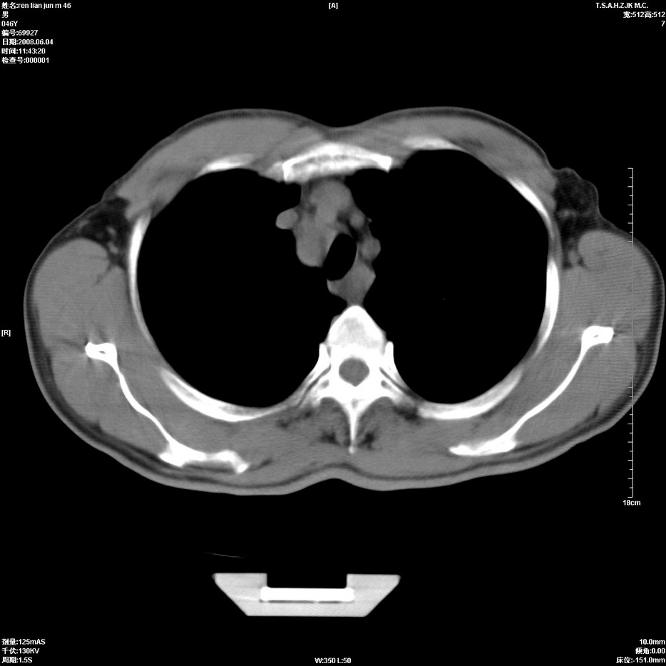
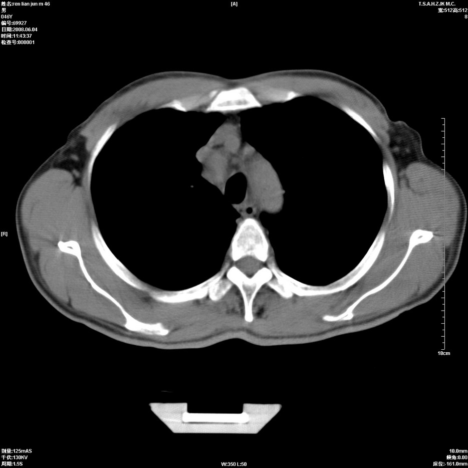
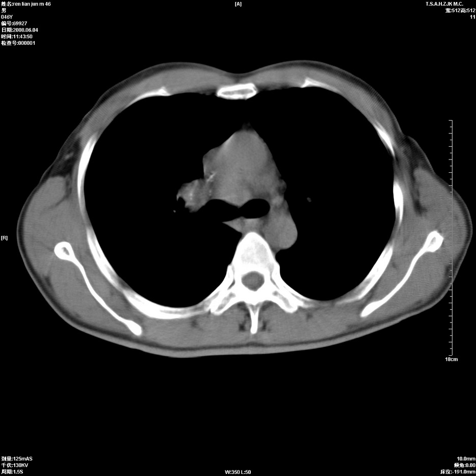
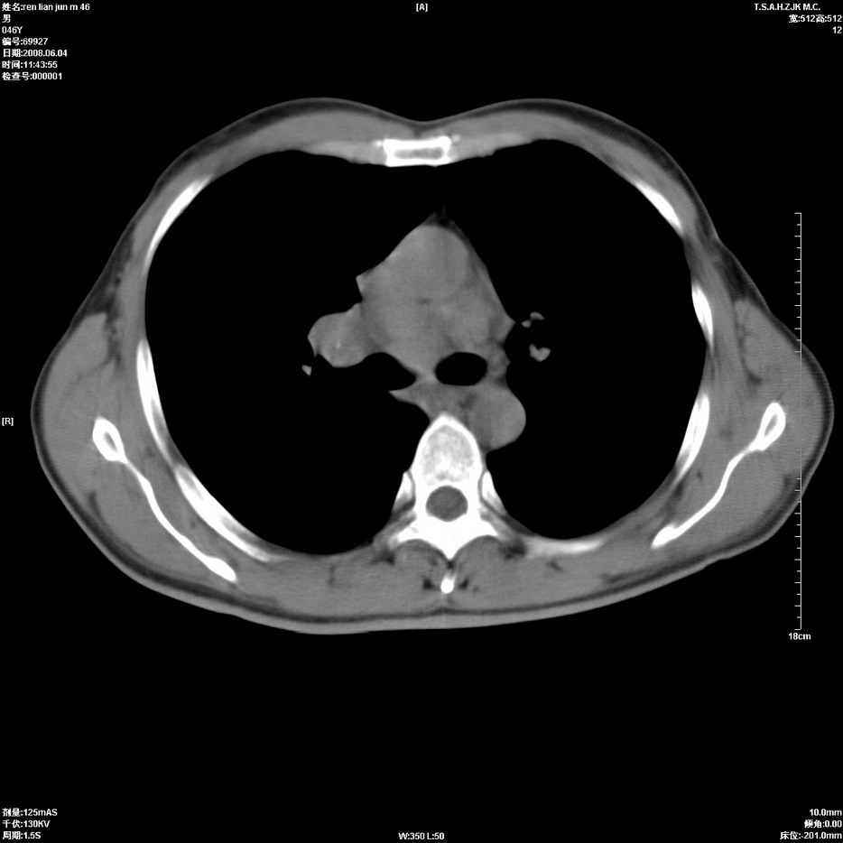
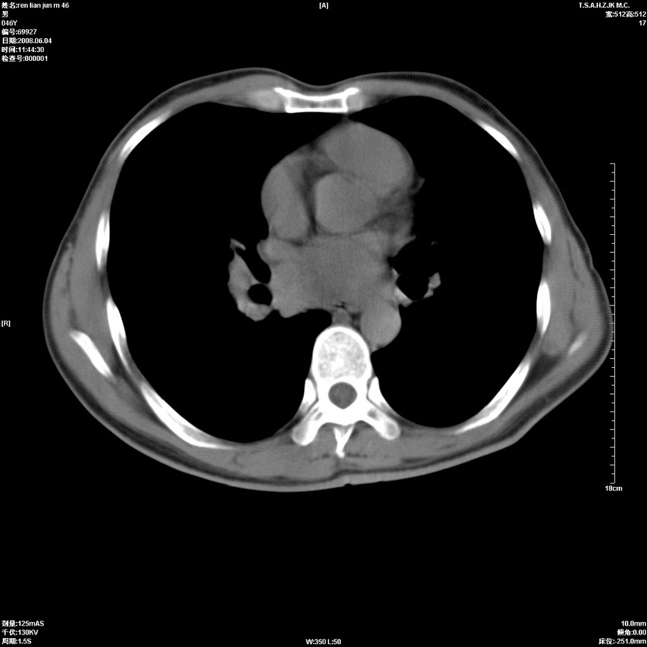
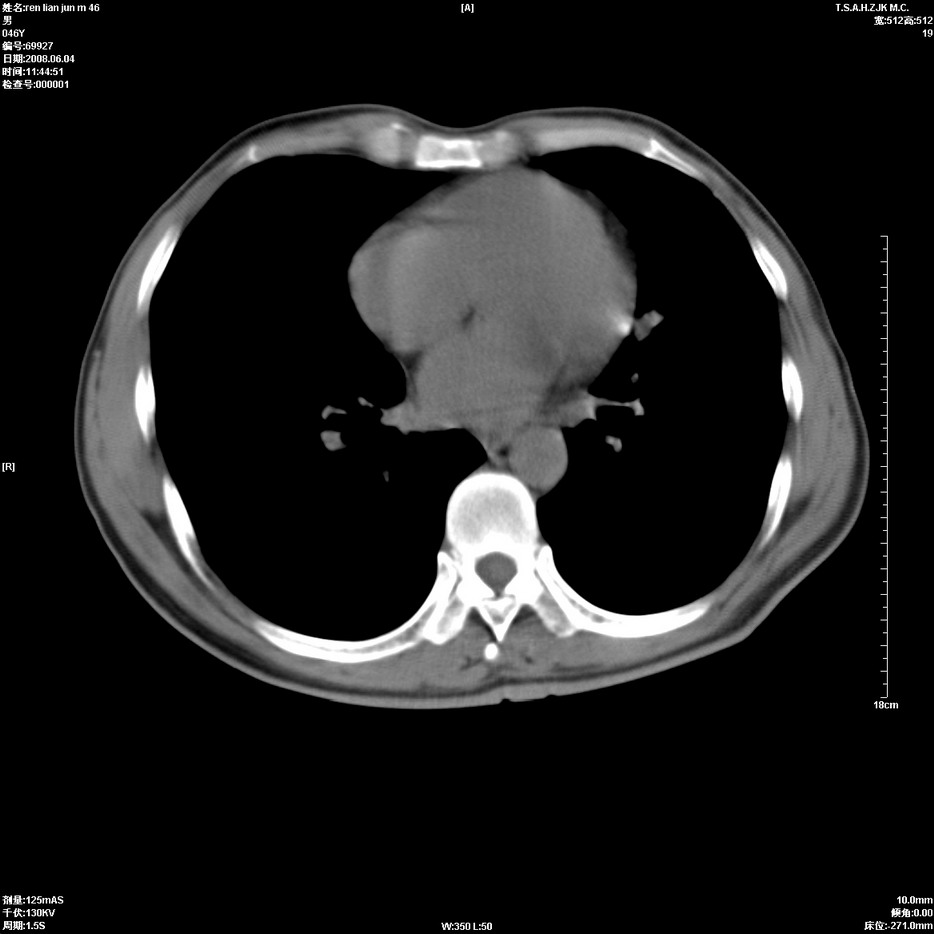
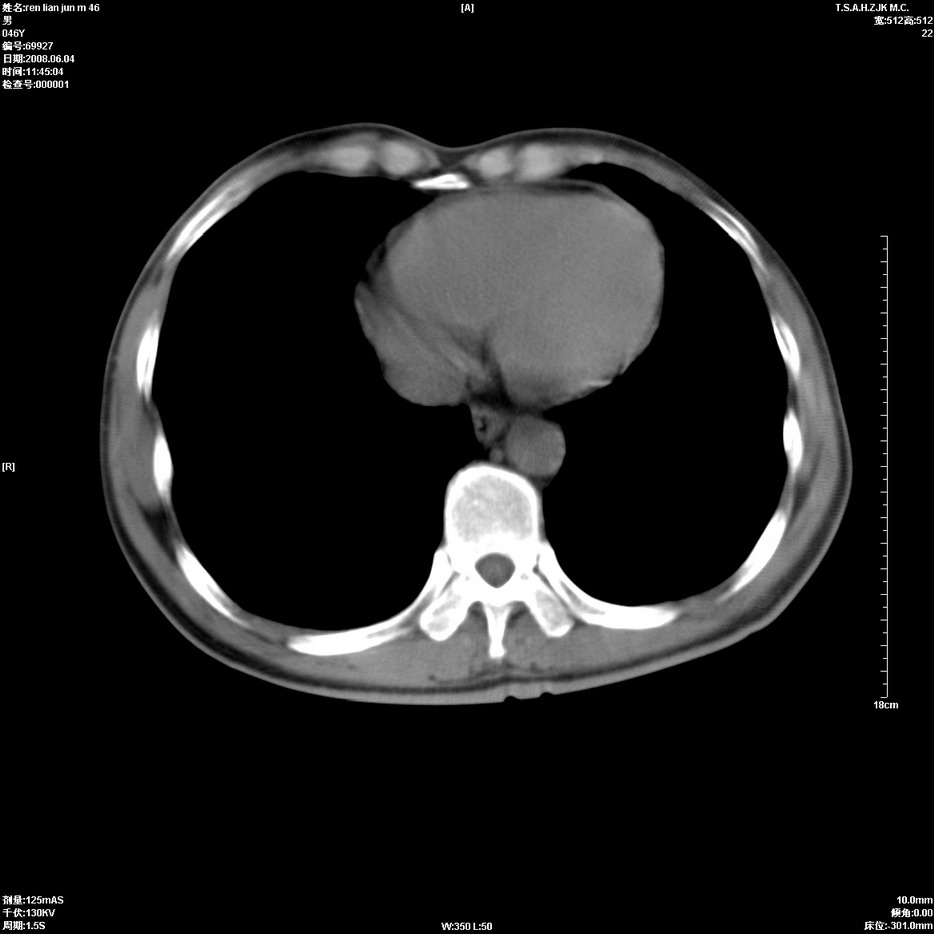
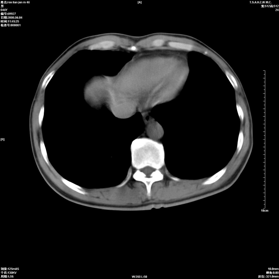
以下是引用形影不离在2008-6-5 19:18:00的发言:[br]右肺中心型肺癌并纵隔及左侧腋窝淋巴结转移,颅内应做增强检查。
以下是引用形影不离在2008-6-5 19:18:00的发言:[br]右肺中心型肺癌并纵隔及左侧腋窝淋巴结转移,颅内应做增强检查。
以下是引用杀毒软件在2008-6-5 18:33:00的发言:[br]支持考虑右肺中心型肺癌,颅内病变是不是转移,不好说
以下是引用形影不离在2008-6-5 19:18:00的发言:[br]右肺中心型肺癌并纵隔及左侧腋窝淋巴结转移,颅内应做增强检查。
| 欢迎光临 医影在线 (http://bbs.radida.com/bbs/) | Powered by Discuz! X3.2 |