医影在线
标题: CT13860:F52Y,,头外伤致头晕半天,以前无不适。 [打印本页]
作者: XIANXIANZHONGYI 时间: 2008-6-6 02:41
标题: CT13860:F52Y,,头外伤致头晕半天,以前无不适。
层厚2mm。


















[本贴已被 jiajie 于 2008-6-5 19:14:43 修改过]
作者: 医影拾贝 时间: 2008-6-6 03:05
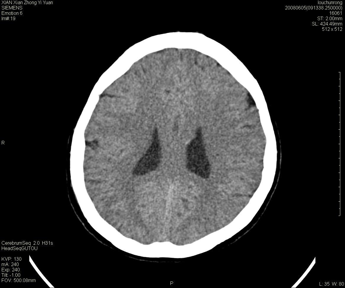
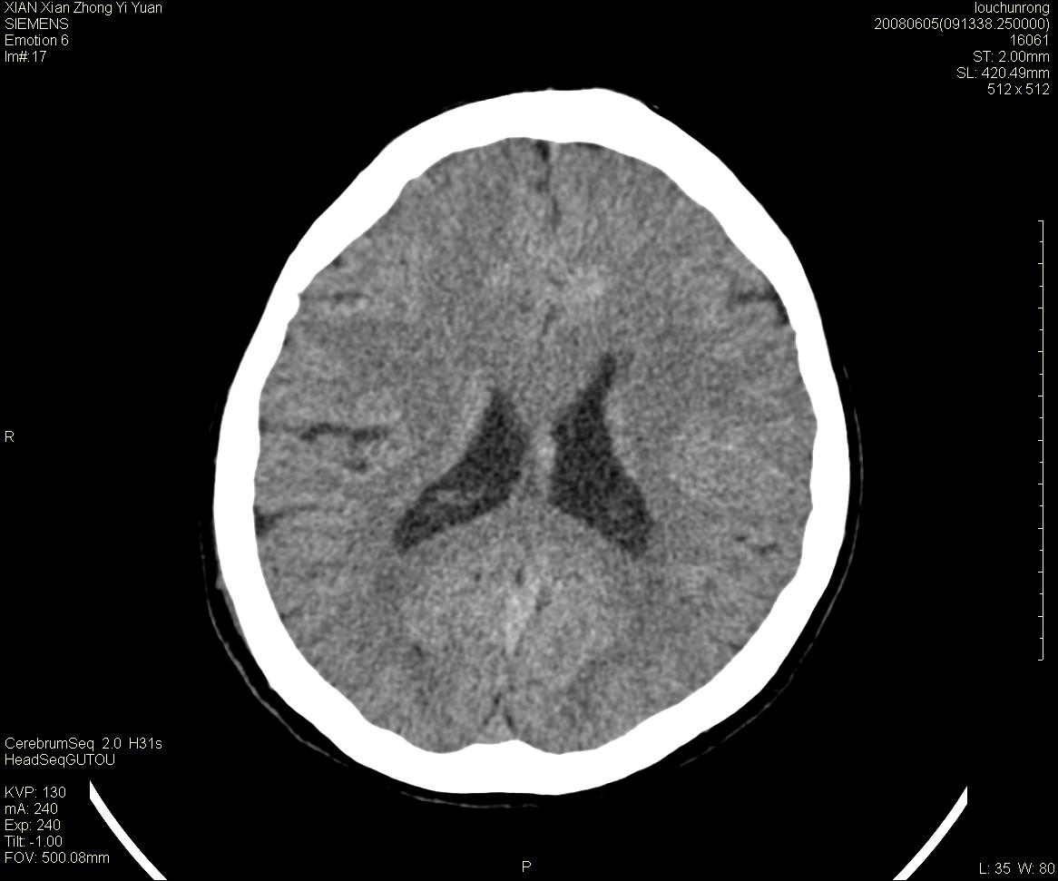
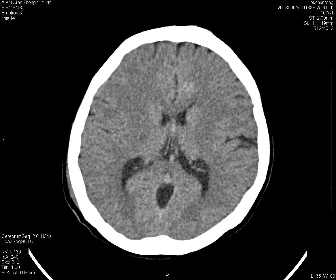
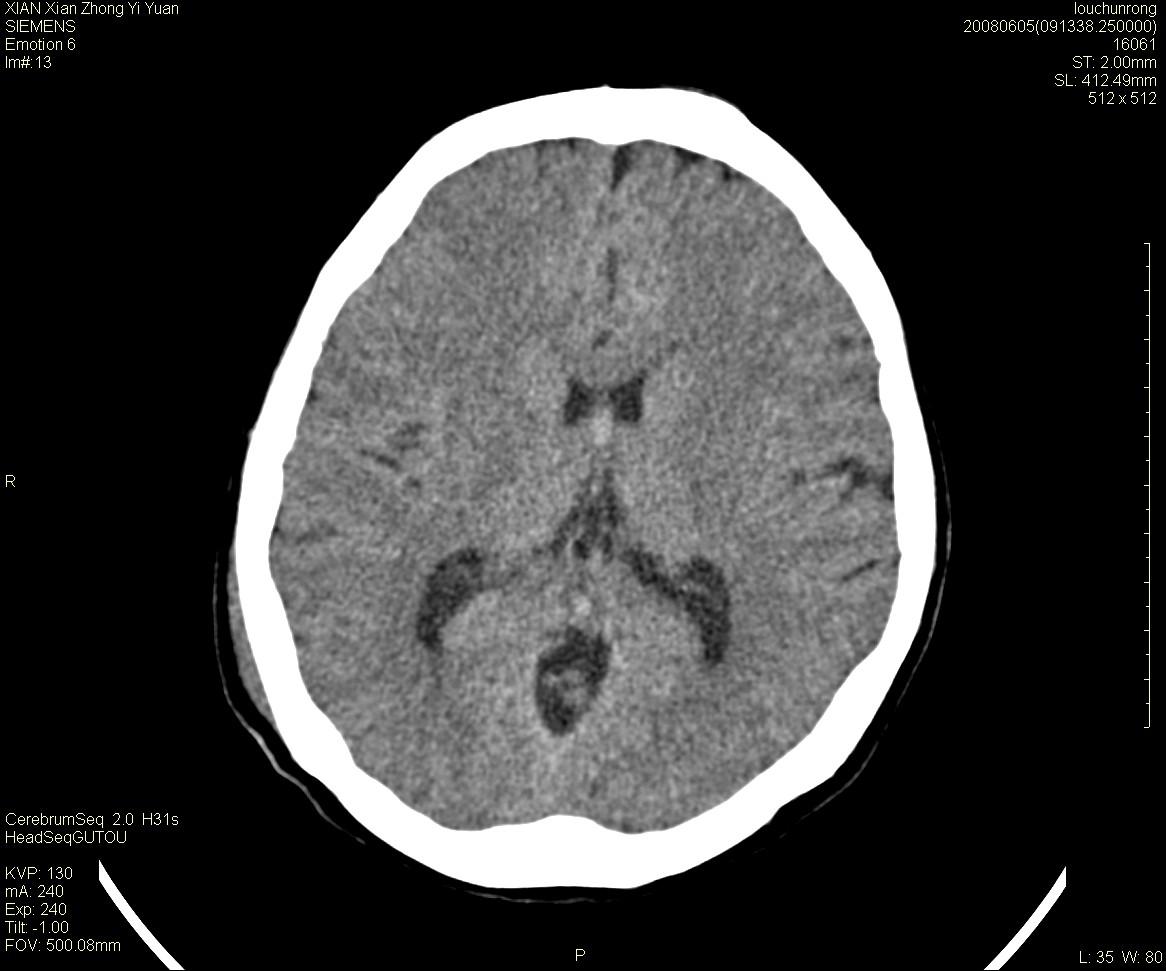
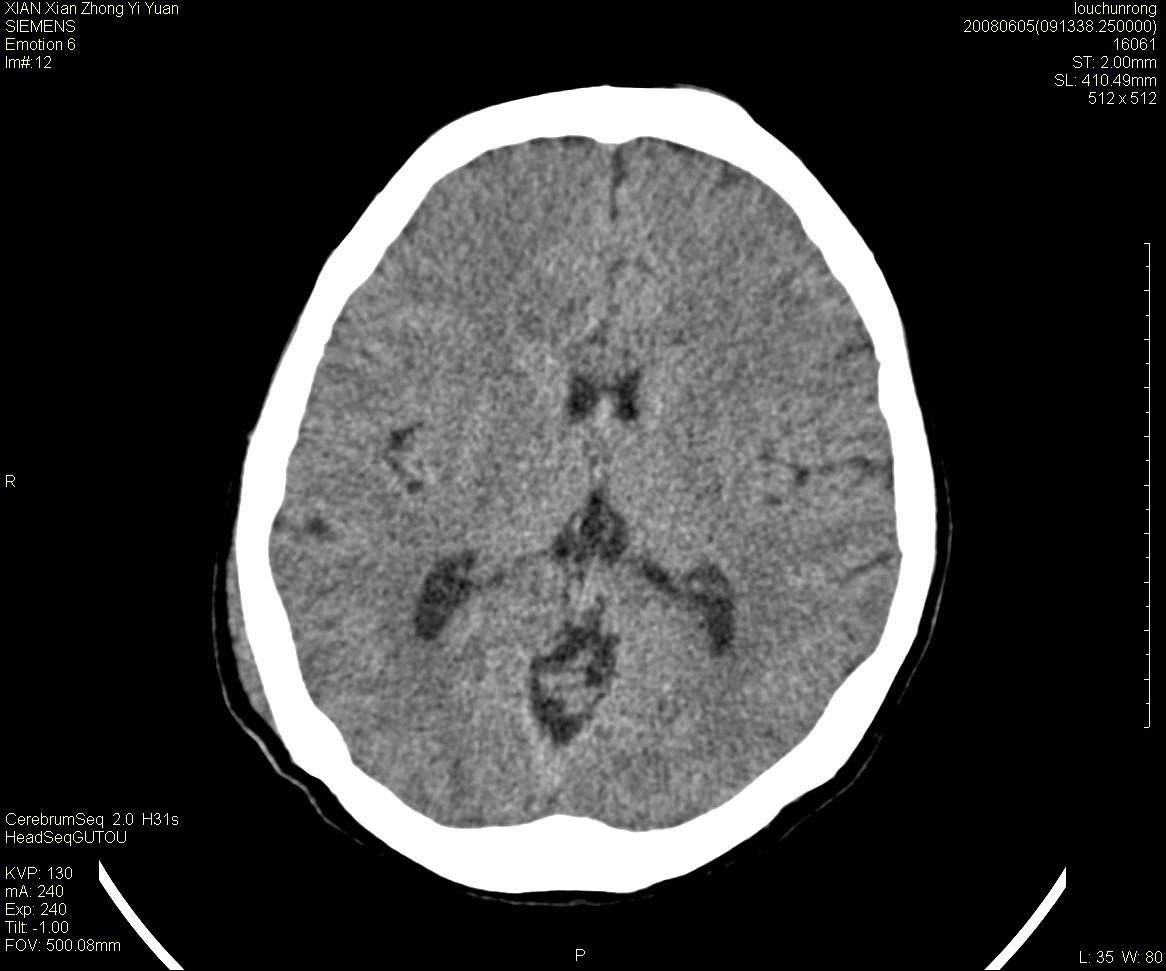
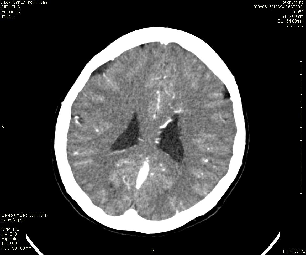
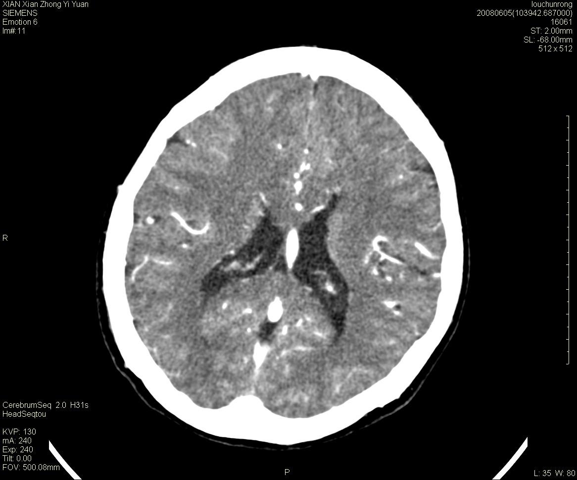
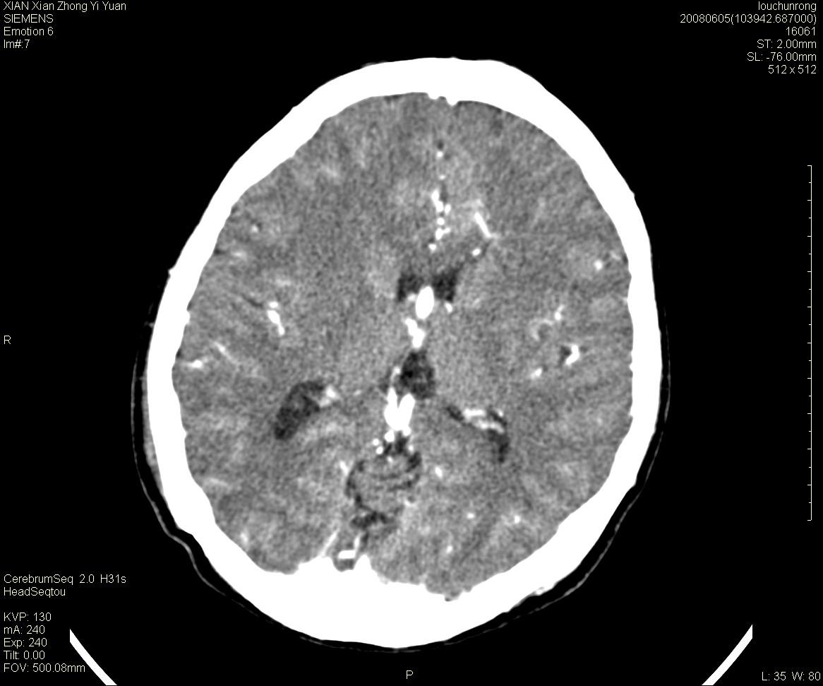
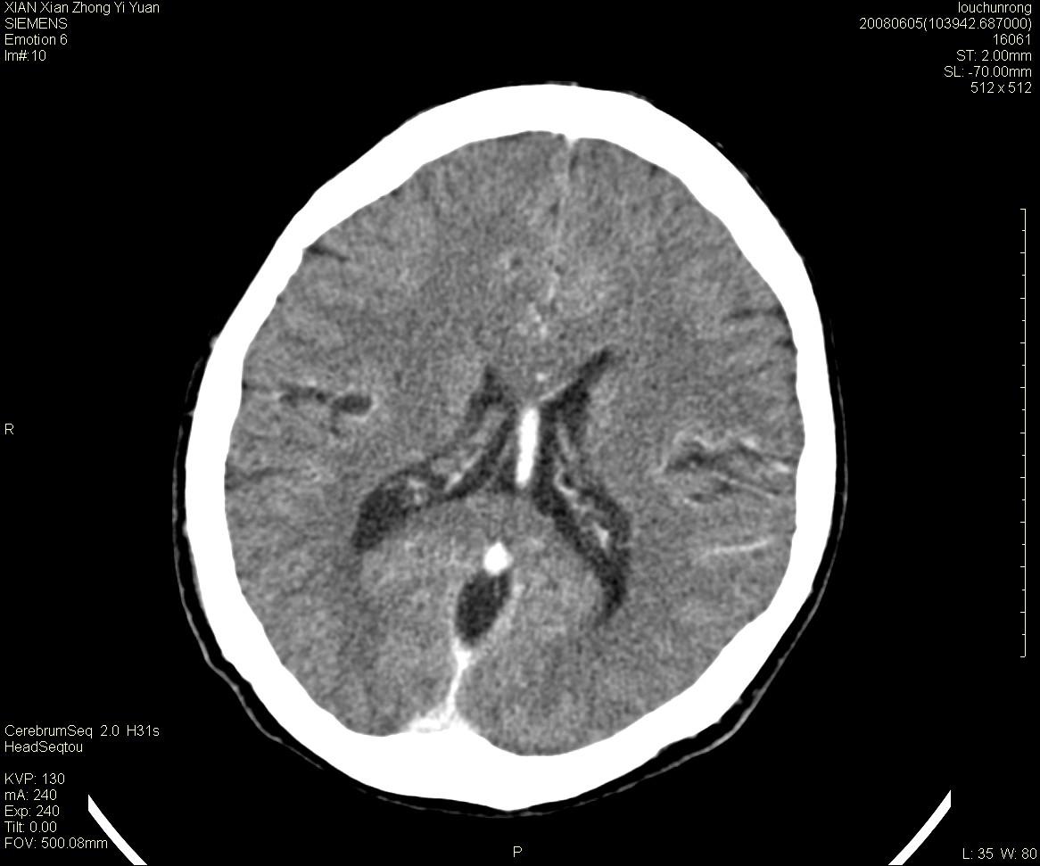
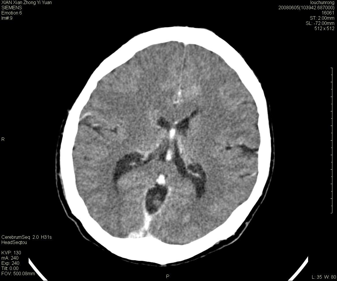
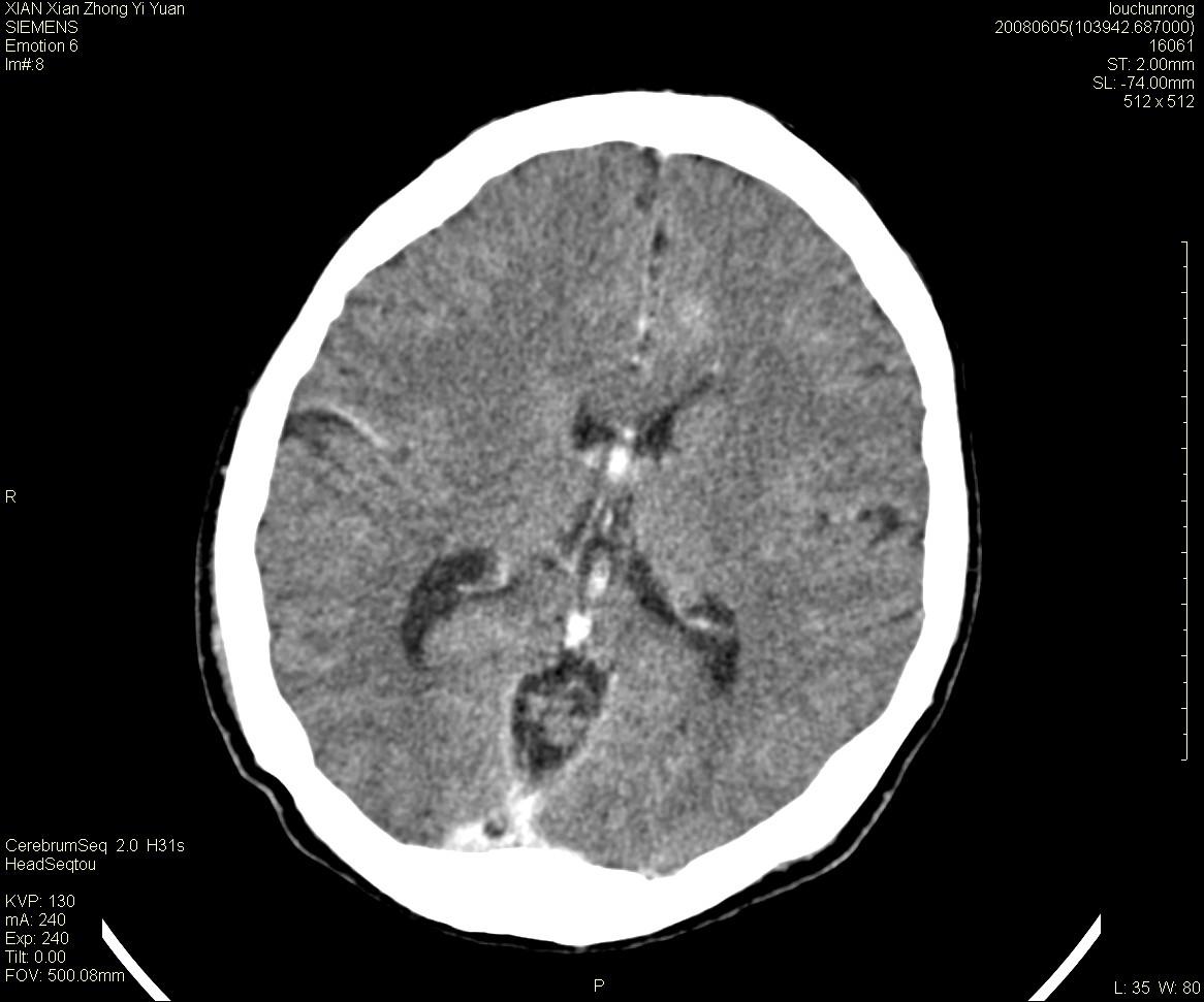
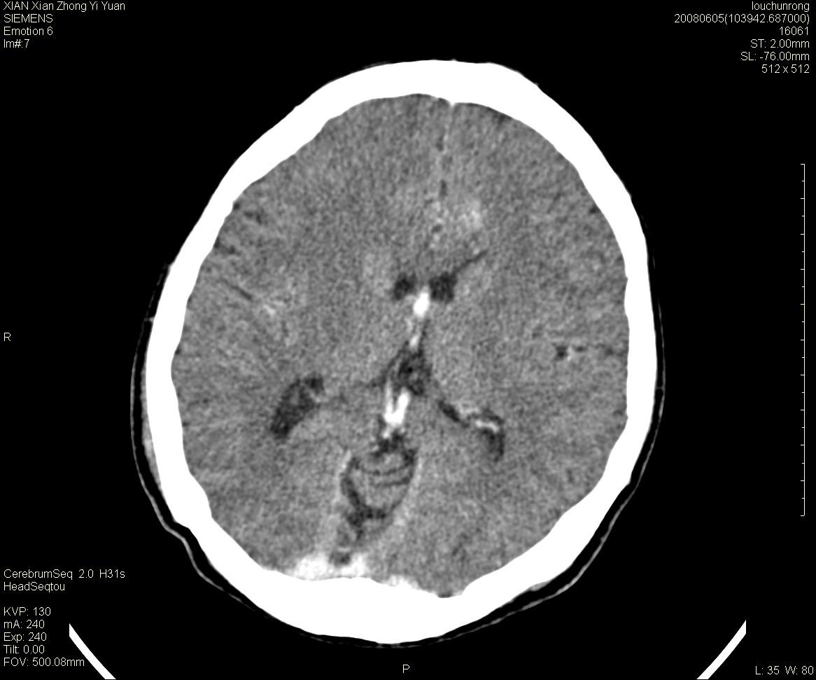
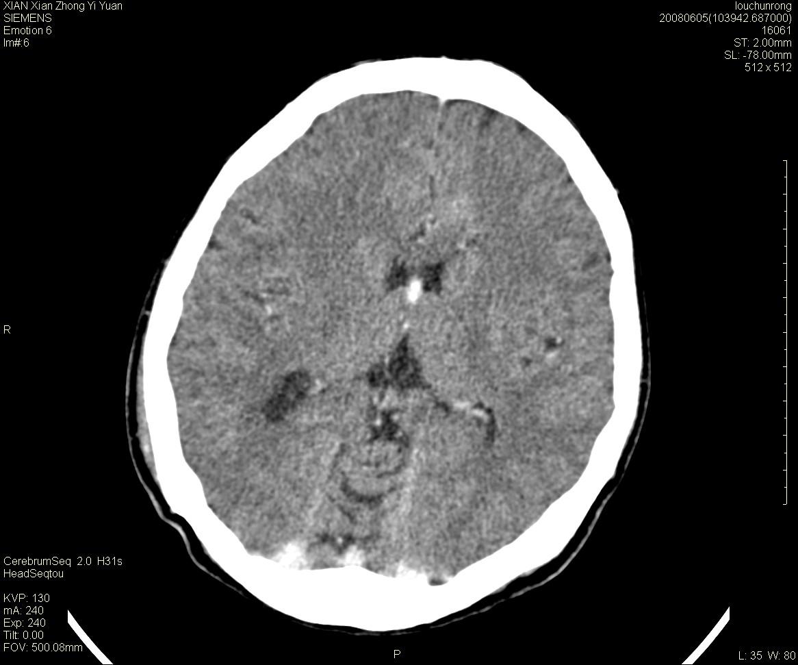
标题: 52f,头外伤致头晕半天,以前无不适。
左侧侧室内血管异常增粗,考虑血管变异或血管瘤可能,余未见异常
[本贴已被 医影拾贝 于 2008-6-5 19:09:41 修改过]
作者: 形影不离 时间: 2008-6-6 03:10
未见异常,建议:必要时mri。
作者: 杀毒软件 时间: 2008-6-6 03:15
静脉窦血栓? mri检查
作者: 358450m 时间: 2008-6-6 03:18
左侧侧室内血管异常增粗,考虑血管变异或血管瘤可能,余未见异常
作者: XIANXIANZHONGYI 时间: 2008-6-6 03:25
大家看左额叶大脑镰旁高密度影
作者: xulianj 时间: 2008-6-6 04:58
未见异常,建议:mri。
作者: zhb 时间: 2008-6-6 05:11
未见异常
作者: mzh123 时间: 2008-6-6 05:35
未见异常
作者: gzlxcm 时间: 2008-6-6 05:52
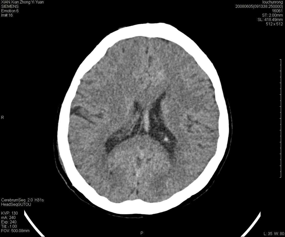
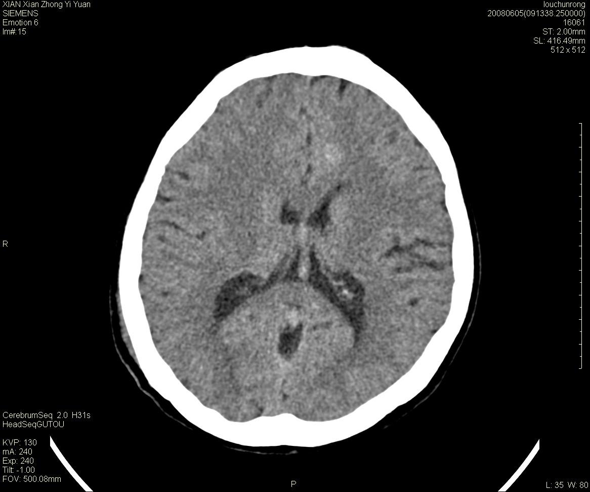
两侧脑室体部距离增宽,胼胝体发育不良?
中线附近、枕叶近枕骨处及脑内多发点条状强化影,考虑血管异常?
建议:mri
作者: 正峰 时间: 2008-6-6 06:36
未见异常,必要时mri
作者: HEXUE 时间: 2008-6-6 06:38
标题: 回复:ct13860:f52y,,头外伤致头晕半天,以前无不适。
未见异常,必要时mri
作者: 卜一 时间: 2008-6-6 12:34
未见异常
作者: yangyudong333 时间: 2008-6-6 13:44
未见异常
作者: 随光逐影 时间: 2008-6-6 15:22
未见明确异常;建议:必要时行mri检查。
作者: zsl6918 时间: 2008-6-6 15:26
先天发育性疾病
作者: qingjing 时间: 2008-6-6 15:52
大脑大静脉池内的密度不均,双侧脑室增宽,我看右异常这块。战友们看看
作者: zjzjr 时间: 2008-6-6 20:37
未见异常
作者: 拾荒者 时间: 2008-6-7 06:42
侧脑室前角变形、变窄,考虑侧脑室粘合;余未见明显异常。
作者: liuyue 时间: 2008-6-7 07:46
未见异常,建议:必要时mri。
作者: dyqct 时间: 2008-6-10 00:16
未见明显异常。
| 欢迎光临 医影在线 (http://bbs.radida.com/bbs/) |
Powered by Discuz! X3.2 |