

















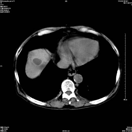
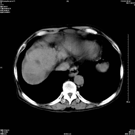
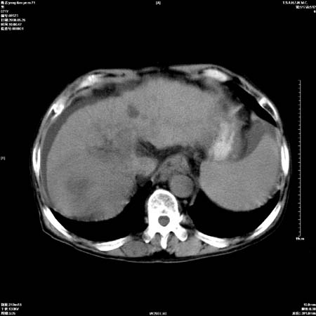
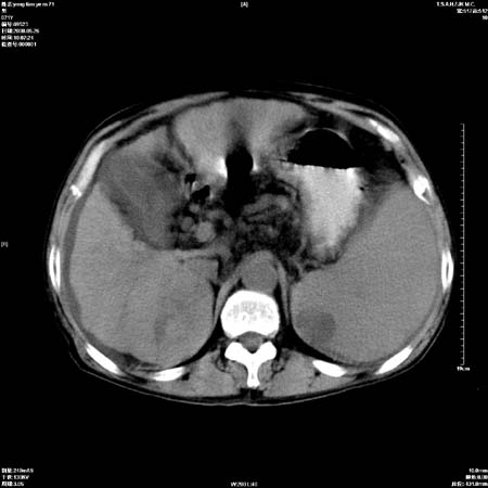
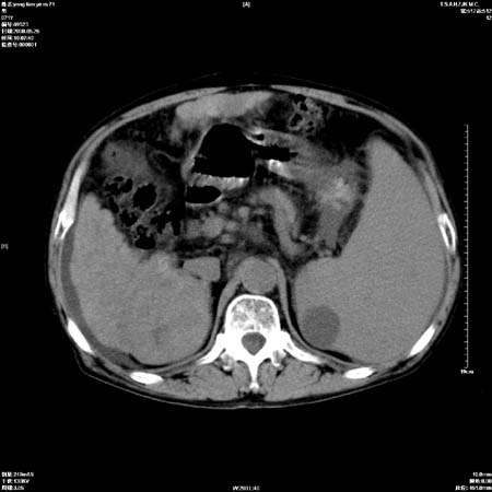
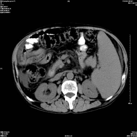
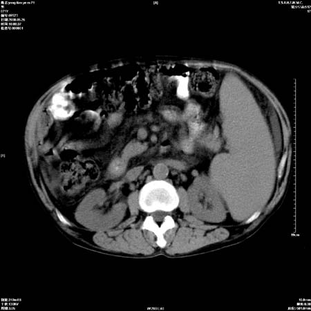
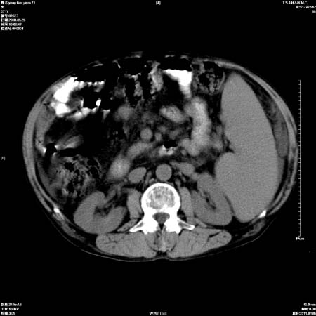
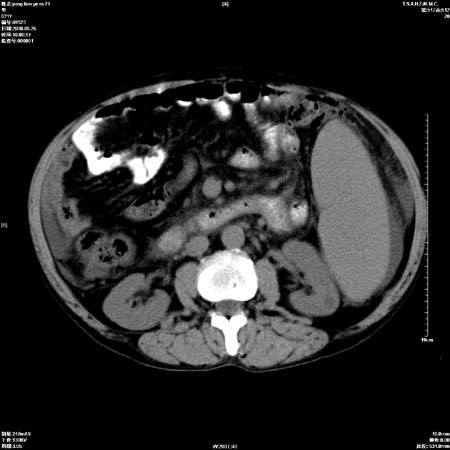
以下是引用医影拾贝在2008-6-5 22:48:00的发言:[br]肝硬化、门脉高压、胃底食管静脉曲张、低蛋白血症(胆囊壁水肿、增厚)、腹水[br]脾功能亢进、脾大、脾、左肾囊肿[br]肝囊性占位、不除外肝脓肿可能[br]建议增强以除外肝右叶肝ca可能
以下是引用chenglinhunan在2008-6-5 22:53:00的发言:[br]1. 肝硬化腹水,脾肿大。[br]2. 肝右后叶占位,肝癌。[br]3。建议ct增强扫描。
以下是引用xulianj在2008-6-5 21:40:00的发言:[br]支持肝硬化腹水;建议增强。肝、脾、肾囊肿待排。
以下是引用zjzjr在2008-6-6 12:34:00的发言:[br]1. 肝硬化腹水,脾肿大。[br]2. 肝右后叶占位,肝癌。[br]3。建议ct增强扫描。[br]4肝脾囊肿.
以下是引用正峰在2008-6-5 23:06:00的发言:[br][quote]以下是引用医影拾贝在2008-6-5 22:48:00的发言:[br]肝硬化、门脉高压、胃底食管静脉曲张、低蛋白血症(胆囊壁水肿、增厚)、腹水[br]脾功能亢进、脾大、脾、左肾囊肿[br]肝囊性占位、不除外肝脓肿可能[br]建议增强以除外肝右叶肝ca可能
| 欢迎光临 医影在线 (http://bbs.radida.com/bbs/) | Powered by Discuz! X3.2 |