医影在线
标题: CT13863:鞍区占位——脑膜瘤? [打印本页]
作者: 形影不离 时间: 2008-6-6 05:56
标题: CT13863:鞍区占位——脑膜瘤?
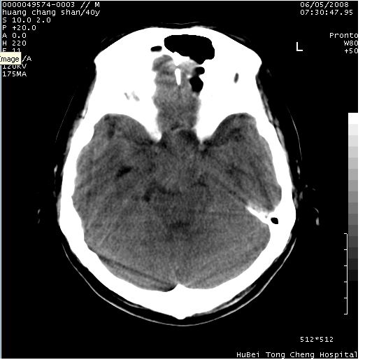
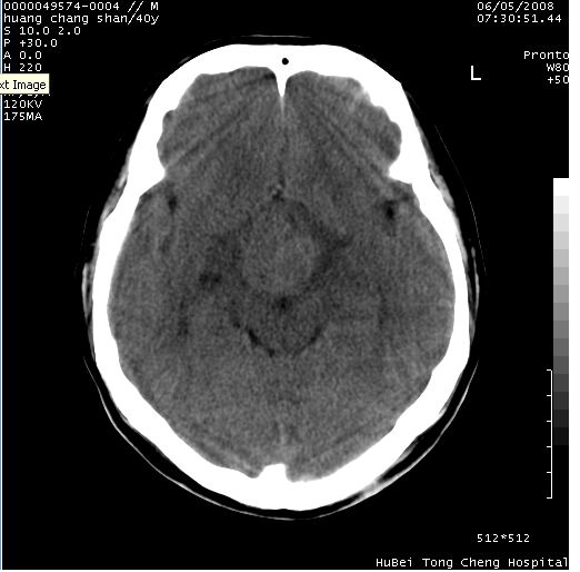
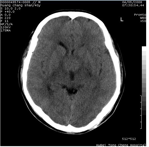
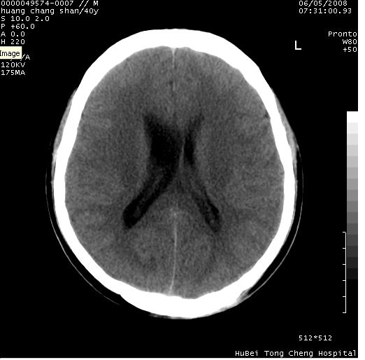
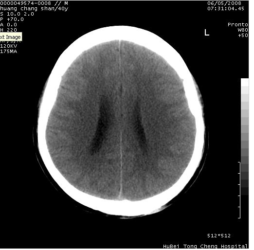
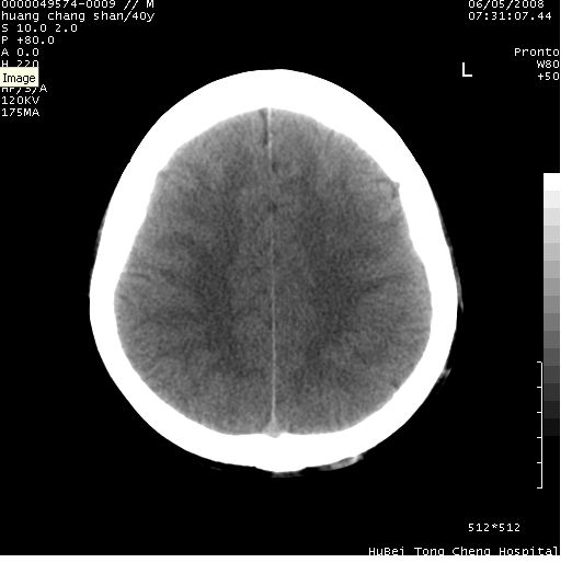
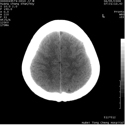
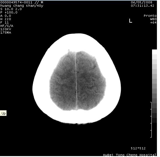
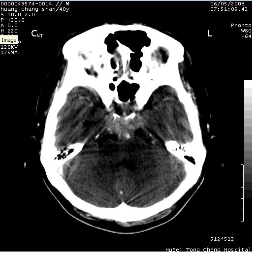
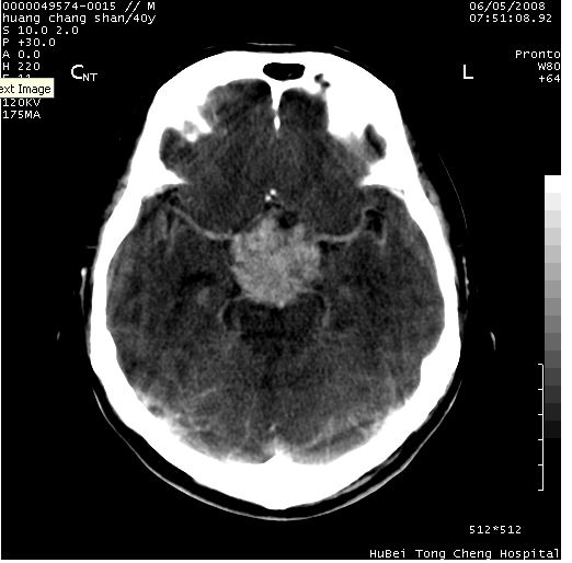
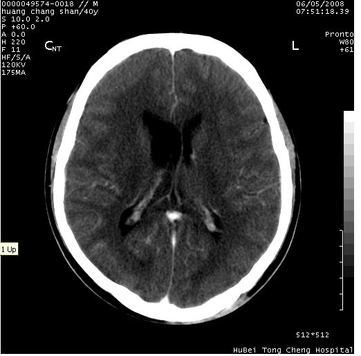
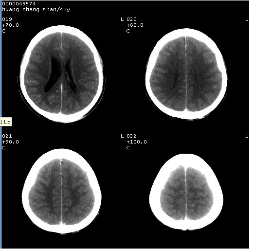
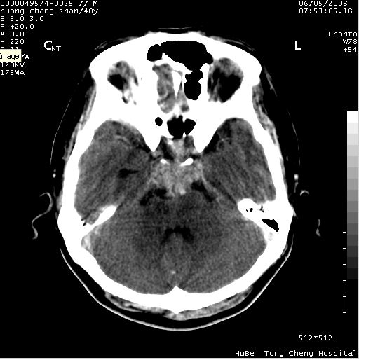
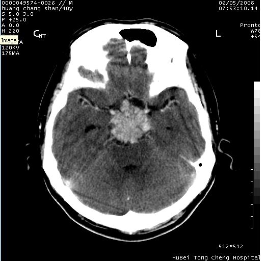
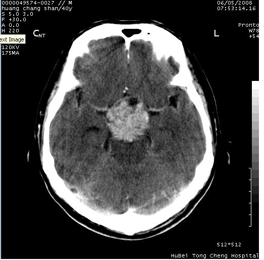
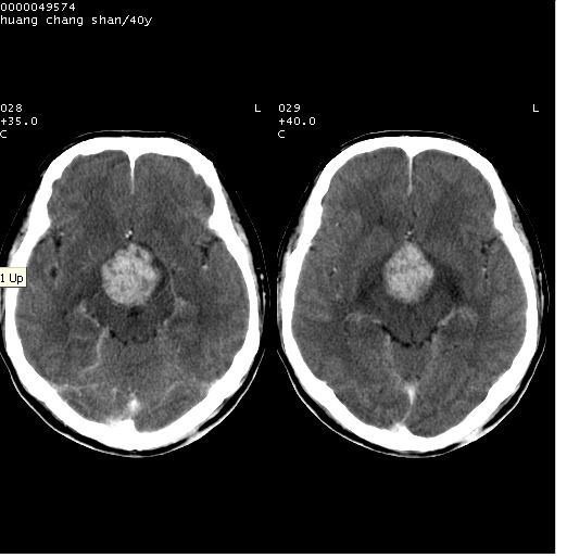
患者 m,40y。头痛,视力模糊,多饮多尿,性欲减退半年余。
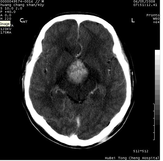
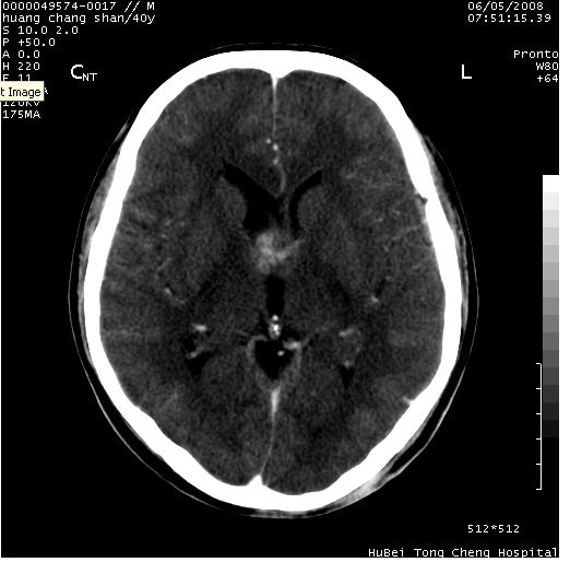
行ct平扫+增强,图象如下:























[本贴已被 jiajie 于 2008-6-5 22:04:59 修改过]
作者: dsl555 时间: 2008-6-6 06:24
支持脑膜瘤
作者: 72xiang.zi 时间: 2008-6-6 06:31
垂体瘤
作者: chenglinhunan 时间: 2008-6-6 06:47
支持脑膜瘤
作者: 医影拾贝 时间: 2008-6-6 06:55
肿瘤强化明显、鞍部骨质结构未见增大、破坏,考虑脑膜瘤可能性大
作者: pujunzhi 时间: 2008-6-6 07:01
鞍上占位---异位生殖细胞瘤/脑膜瘤。
作者: 358450m 时间: 2008-6-6 07:18
支持脑膜瘤
作者: 正峰 时间: 2008-6-6 07:20
鞍背无破坏和明显受压,病变明显均匀强化,边界清晰。鞍上区脑膜瘤可能性大,不除外生殖细胞瘤。
作者: 狙击手 时间: 2008-6-6 07:41
平扫病灶呈等密度,增强后强化明显,均匀一致,结合病史首先考虑:垂体瘤。脑膜瘤不支持,因为脑膜瘤平扫多为实性呈均匀高密度影像,内分泌症状多不明显,垂体内分泌素测定正常。
作者: panyishengct 时间: 2008-6-6 08:32
鞍背无破坏和明显受压,病变明显均匀强化,边界清晰。鞍上区脑膜瘤可能性大,不除外生殖细胞瘤。
作者: tanjiuzhe313 时间: 2008-6-6 08:38
标题: 回复:ct13863:鞍区占位——脑膜瘤?
以下是引用医影拾贝在2008-6-5 22:55:00的发言:[br]肿瘤强化明显、鞍部骨质结构未见增大、破坏,考虑脑膜瘤可能性大
作者: 卜一 时间: 2008-6-6 12:29
脑膜瘤?垂体瘤?建议mri!
作者: yangyudong333 时间: 2008-6-6 13:36
脑膜瘤?垂体瘤?建议mri!
作者: 随缘的人 时间: 2008-6-6 14:41
考虑脑膜瘤可能性大,建议进一步检查
作者: 随光逐影 时间: 2008-6-6 15:06
脑膜瘤可能性大,不排除生殖细胞瘤。
作者: zsl6918 时间: 2008-6-6 15:23
标题: 回复:ct13863:鞍区占位——脑膜瘤?
以下是引用随光逐影在2008-6-6 7:06:00的发言:[br]脑膜瘤可能性大,不排除生殖细胞瘤。
作者: qingjing 时间: 2008-6-6 15:45
很明显是个脑膜瘤
作者: qiu999 时间: 2008-6-6 15:53
鞍上区脑膜瘤可能性大
作者: xulianj 时间: 2008-6-6 16:56
考虑脑膜瘤可能
作者: 刘阿赵 时间: 2008-6-6 17:15
考虑脑膜瘤
作者: 宇宙CT 时间: 2008-6-6 17:30
脑膜瘤?垂体瘤?建议mri!
作者: 影象小辈 时间: 2008-6-6 17:37
脑膜瘤可能性大
作者: 代课学生 时间: 2008-6-6 17:45
鞍上占位性病变,考虑:
1、脑膜瘤
2、垂体瘤
3、建议mr检查
作者: haha215315 时间: 2008-6-6 17:55
考虑垂体瘤.
作者: 深泽交通 时间: 2008-6-6 18:04
标题: 回复:ct13863:鞍区占位——脑膜瘤?
以下是引用pujunzhi在2008-6-5 23:01:00的发言:[br]鞍上占位---异位生殖细胞瘤/脑膜瘤。
作者: 合格医生 时间: 2008-6-6 18:39
1.脑膜瘤 2.神经鞘瘤,强化不支持. 3.生殖细胞瘤,不能排除. 4.垂体瘤,部位不象,但症状象,不知道作何解释?
作者: zjzjr 时间: 2008-6-6 20:32
脑膜瘤可能性大
作者: 宇宙CT 时间: 2008-6-6 23:35
平扫病灶呈等密度,增强后强化明显,均匀一致,结合病史首先考虑:垂体瘤。脑膜瘤不支持,因为脑膜瘤平扫多为实性呈均匀高密度影像,内分泌症状多不明显,垂体内分泌素测定正常。
作者: 抛砖引玉 时间: 2008-6-7 00:31
首先考虑脑膜瘤.
作者: 刘阿赵 时间: 2008-6-7 00:47
鞍上脑膜瘤
作者: 312nanyang 时间: 2008-6-7 01:54
鞍上池肿瘤,鞍背及垂体窝形态变化不明显,病灶强化密度均匀且高度强化,考虑实性颅咽管瘤、生殖细胞瘤及脑膜瘤可能。
作者: 杀毒软件 时间: 2008-6-7 01:55
标题: 回复:ct13863:鞍区占位——脑膜瘤?
以下是引用狙击手在2008-6-5 23:41:00的发言:[br]平扫病灶呈等密度,增强后强化明显,均匀一致,结合病史首先考虑:垂体瘤。脑膜瘤不支持,因为脑膜瘤平扫多为实性呈均匀高密度影像,内分泌症状多不明显,垂体内分泌素测定正常。
支持
作者: zhangling 时间: 2008-6-7 02:27
平扫等密度肿块,增强明显均匀一致,考虑垂体瘤
作者: dsl555 时间: 2008-6-7 03:06
结合病史首先考虑:垂体瘤。建议mri
作者: zhengfaming 时间: 2008-6-7 03:06
1鞍区占位性病变,强化明显,均匀
脑膜瘤>垂体瘤>颅咽管瘤
作者: 长城干红 时间: 2008-6-7 04:06
标题: 回复:ct13863:鞍区占位——脑膜瘤?
以下是引用zhengfaming在2008-6-6 19:06:00的发言:[br]1鞍区占位性病变,强化明显,均匀[br]脑膜瘤>垂体瘤>颅咽管瘤
作者: 拾荒者 时间: 2008-6-7 06:11
结合临床考虑鞍上生殖细胞瘤可能性大于脑膜瘤(增强未见脑膜围征),建议结合冠状位扫描看病灶起源及垂体窝、鞍底情况。垂体窝内未见明显软组织密度影,垂体窝未见扩大,暂不考虑垂体瘤;病灶较大,未见囊变及钙化,颅咽管瘤不支持。期待结果!
作者: bailaode 时间: 2008-6-7 06:29
标题: 回复:ct13863:鞍区占位——脑膜瘤?
1、头痛,视力模糊,多饮多尿,性欲减退半年余,提示:肿瘤为功能性肿瘤。
2、ct表现:肿瘤呈类圆形,均匀略高密度,无囊变,无钙化。侧脑室有扩大。
3、首先考虑:功能性垂体大腺瘤。
4、鉴别诊断:脑膜瘤,瘤体内点状钙化最具特征性,常位于鞍结节。颅咽管瘤,蛋壳样钙化,常有囊变。动脉瘤,位于鞍旁,强化与动脉一致。有时尚需与发生于鞍区的生殖细胞瘤鉴别,生殖细胞瘤钙化亦较常见。
5、友情提示:下回发现鞍区占位性病变,最好加扫冠状位,了解肿瘤与蝶鞍的关系及蝶鞍骨质的改变。
[本贴已被 bailaode 于 2008-6-6 22:37:41 修改过]
作者: liuyue 时间: 2008-6-7 07:32
结合灵床,先考虑:垂体瘤。
鉴别:实行颅咽管瘤、脑膜瘤、异位生殖细胞瘤等。
作者: jinguoji 时间: 2008-6-9 21:52
支持脑膜瘤。
作者: dyqct 时间: 2008-6-10 00:10
标题: 回复:ct13863:鞍区占位——脑膜瘤?
以下是引用拾荒者在2008-6-6 22:11:00的发言:[br]结合临床考虑鞍上生殖细胞瘤可能性大于脑膜瘤(增强未见脑膜围征),建议结合冠状位扫描看病灶起源及垂体窝、鞍底情况。垂体窝内未见明显软组织密度影,垂体窝未见扩大,暂不考虑垂体瘤;病灶较大,未见囊变及钙化,颅咽管瘤不支持。期待结果!
支持 !
作者: zhangkai 时间: 2008-6-10 00:47
考虑脑膜瘤可能性大。
| 欢迎光临 医影在线 (http://bbs.radida.com/bbs/) |
Powered by Discuz! X3.2 |