











































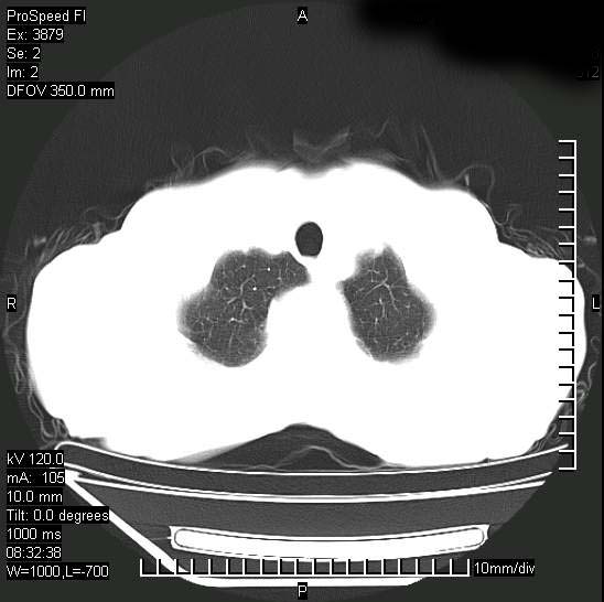
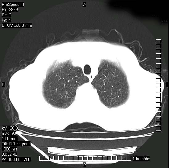
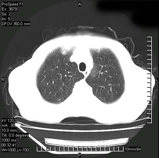
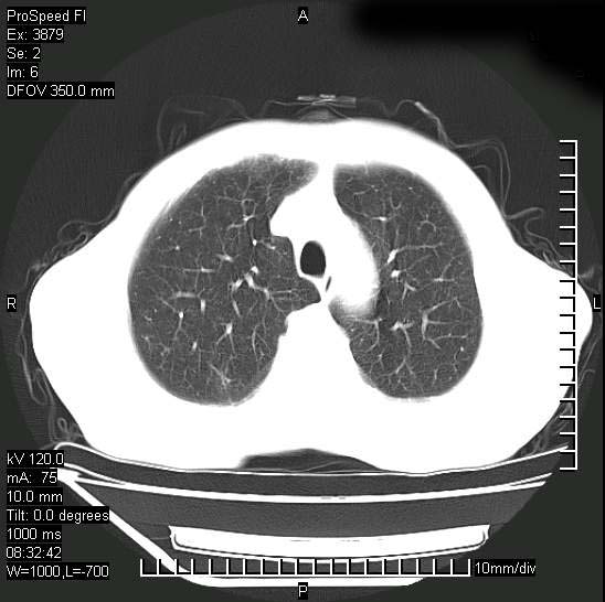
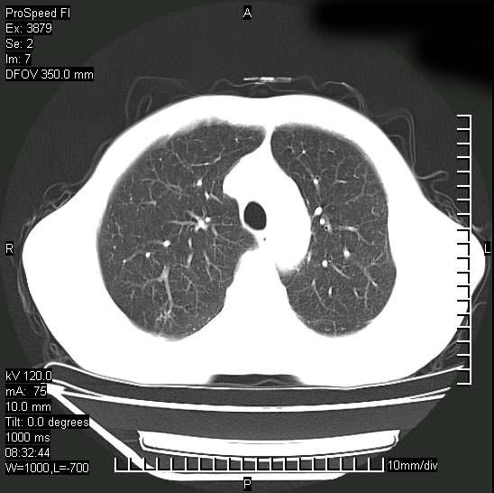
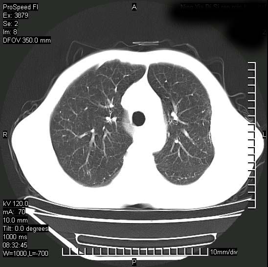
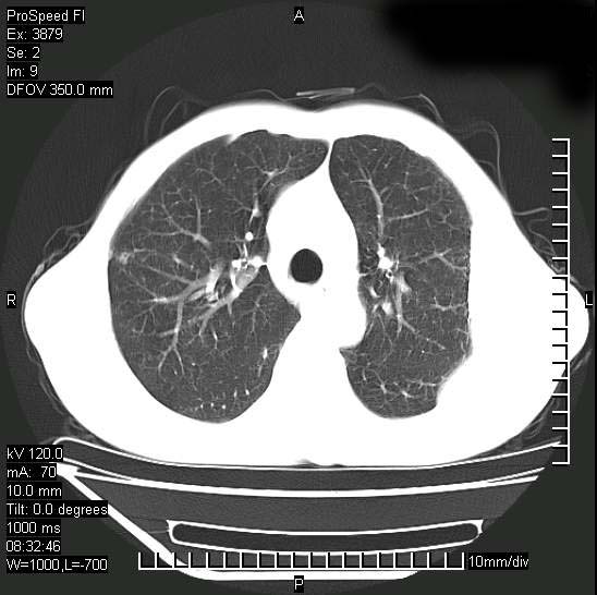
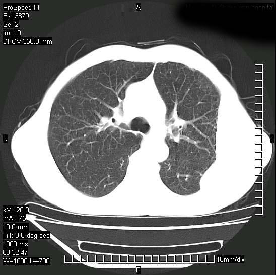
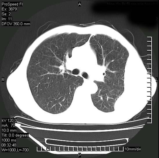
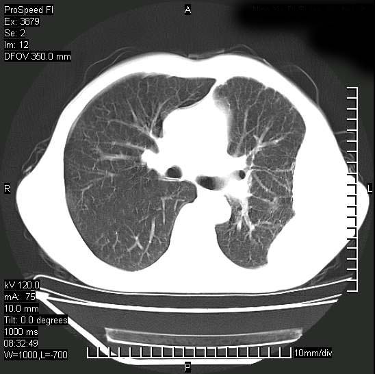
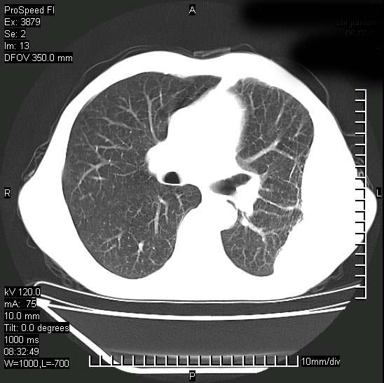
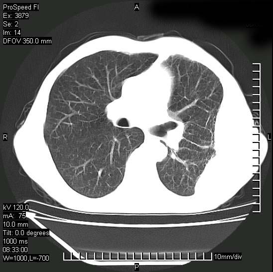
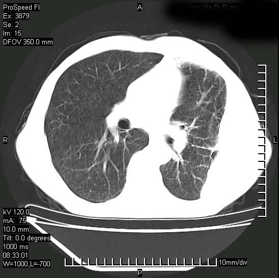
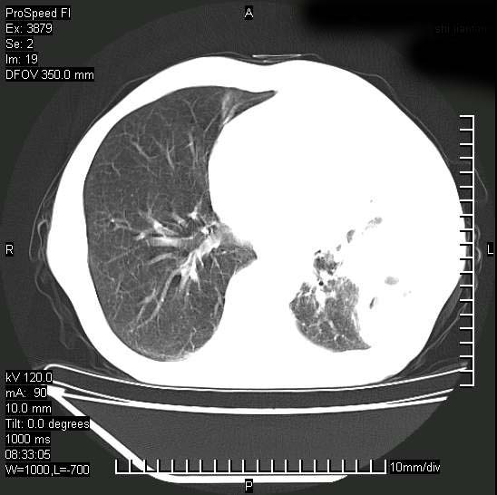
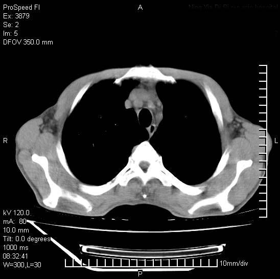
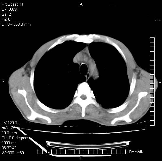
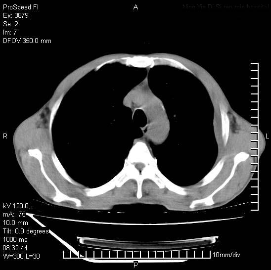
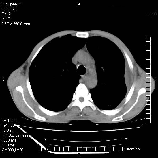
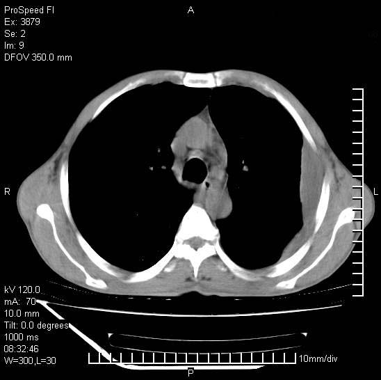
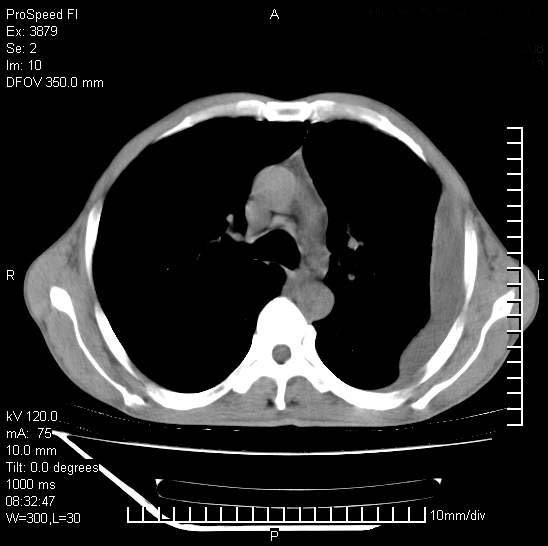
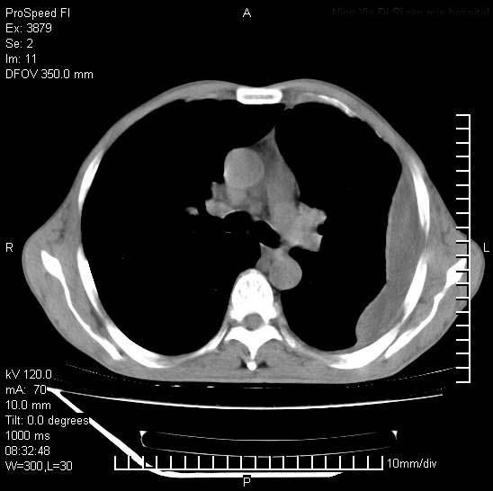
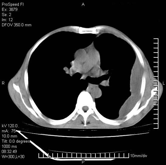
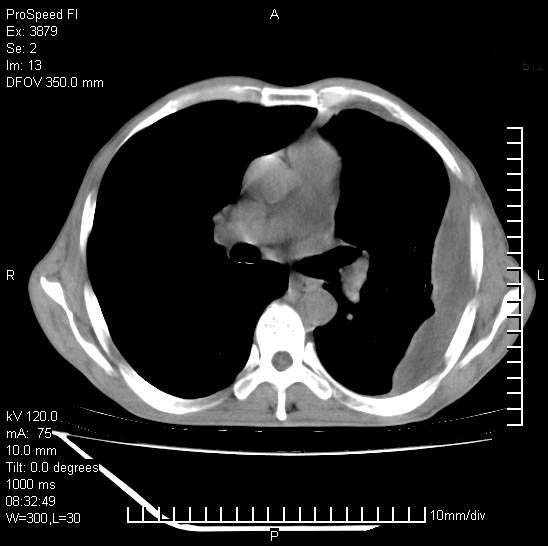
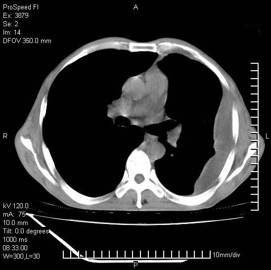
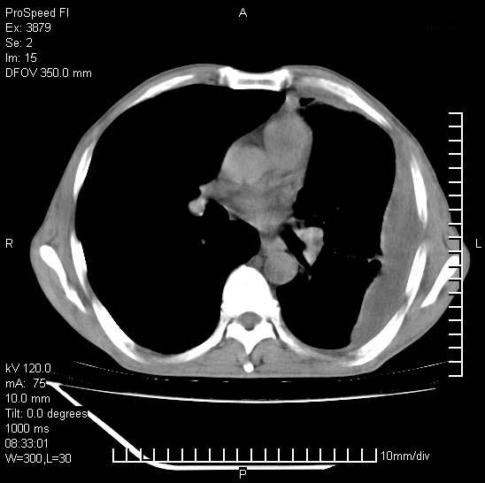
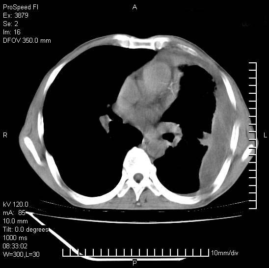
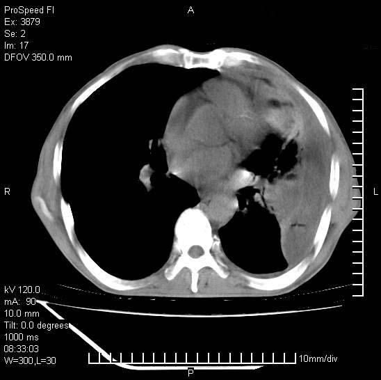
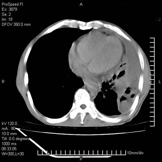
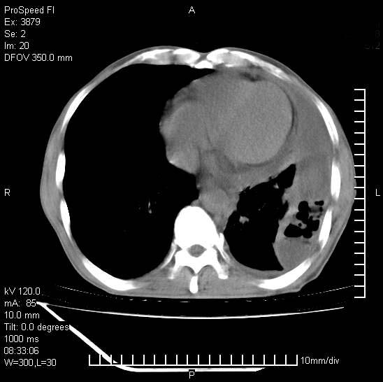
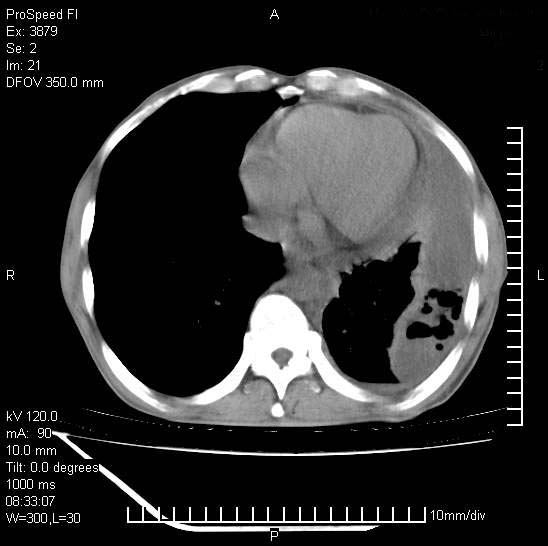
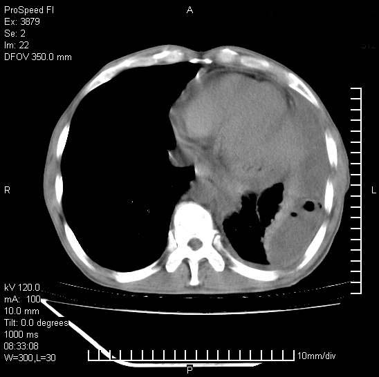
以下是引用37度在2008-6-6 11:20:00的发言:[br]1.包裹性积液,多考虑结核性;[br]2.穿刺术后改变。
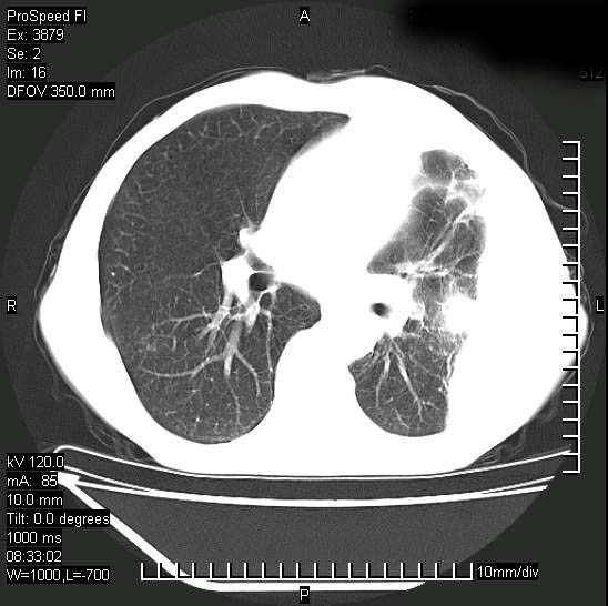
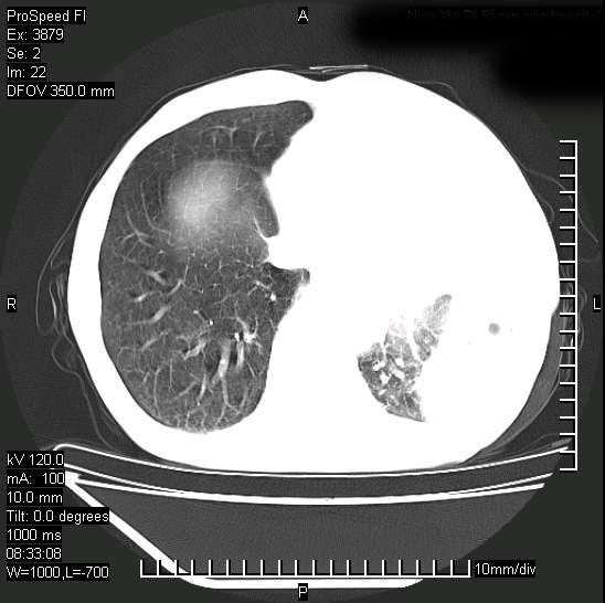
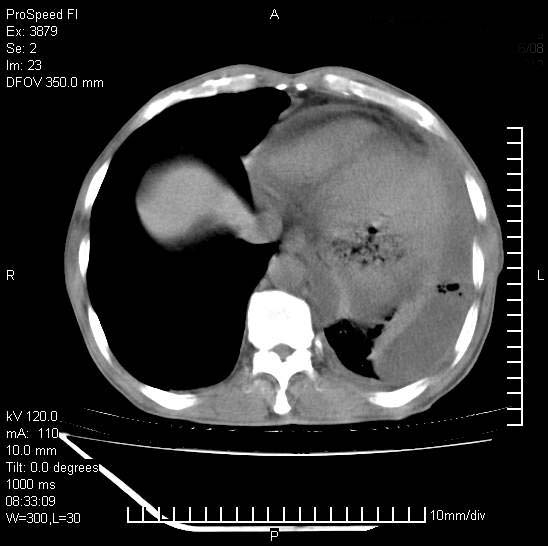
以下是引用312nanyang在2008-6-6 15:12:00的发言:[br]基本支持楼主意见[br]疑问?左下肺支气管旁的软组织(16层)密度怎么解释?淋巴结还是斜裂胸膜增厚所致?能否增强进一步检查
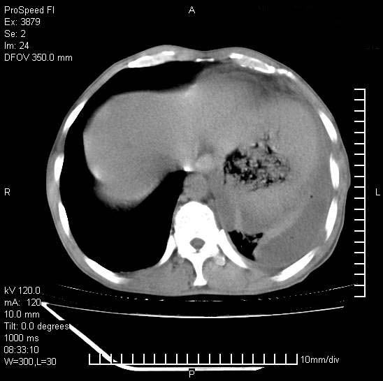
以下是引用37度在2008-6-6 11:20:00的发言:[br]1.包裹性积液,多考虑结核性;[br]2.穿刺术后改变。
| 欢迎光临 医影在线 (http://bbs.radida.com/bbs/) | Powered by Discuz! X3.2 |