医影在线
标题: CT13872:左肾区病变!!请大家会诊!! [打印本页]
作者: wnlyq8688 时间: 2008-6-7 01:31
标题: CT13872:左肾区病变!!请大家会诊!!
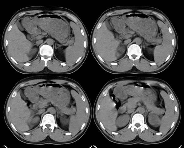
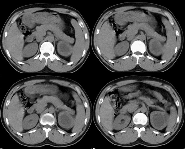
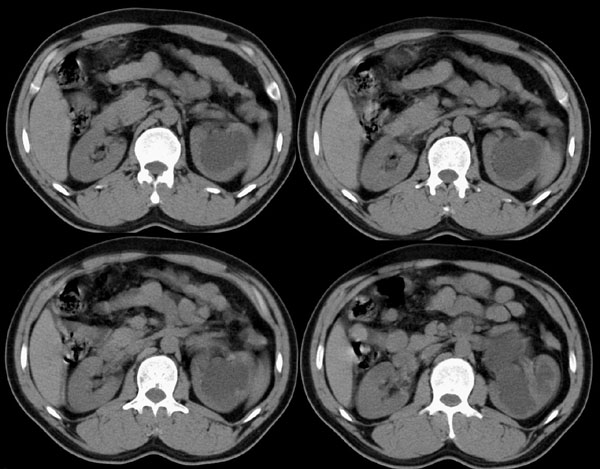
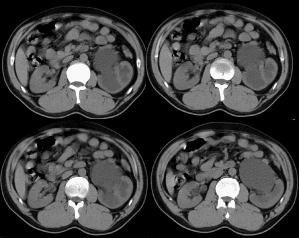
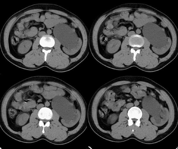
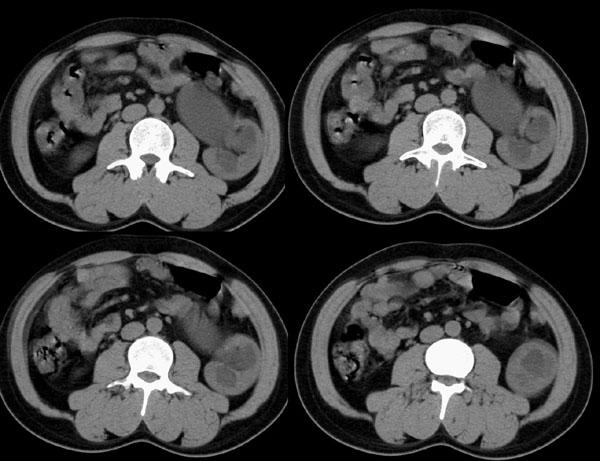
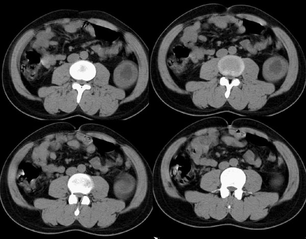
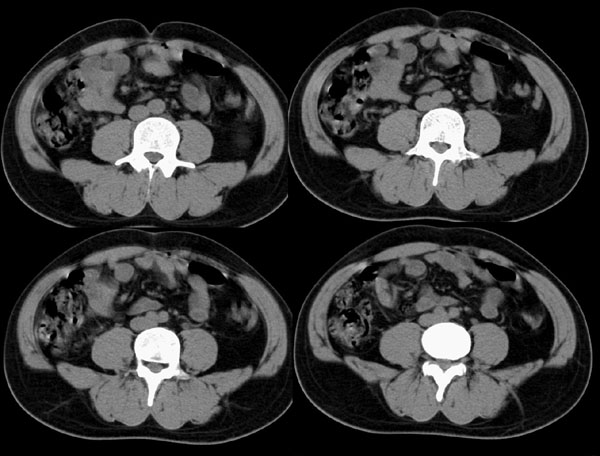
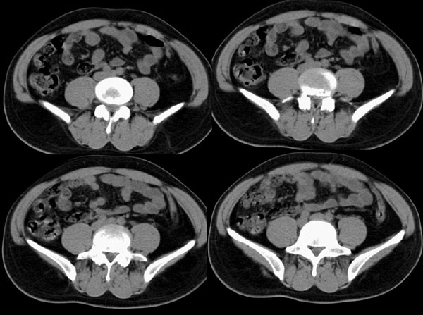
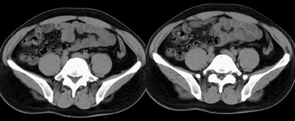
m29y平常体健,无明显不适。单位体检时发现左肾区病变。来我院作ct如下(病人不做增强):











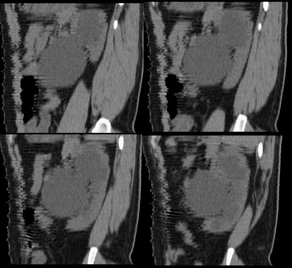
左肾区囊肿冠、矢状重建:







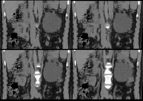
左侧输尿管冠、矢状重建:




[本贴已被 wnlyq8688 于 2008-6-6 17:35:11 修改过]
[本贴已被 jiajie 于 2008-6-6 19:12:22 修改过]
作者: 杀毒软件 时间: 2008-6-7 01:48
考虑左侧肾窦囊肿继发肾盂积水
作者: 深泽交通 时间: 2008-6-7 01:49
左肾盂积水
作者: gaoshengjiang 时间: 2008-6-7 02:02
左侧肾盂输尿管上段积水。
作者: 358450m 时间: 2008-6-7 02:13
考虑左侧肾窦囊肿继发肾盂积水
作者: mzh123 时间: 2008-6-7 02:49
标题: 回复:左肾区病变!!请大家会诊!!
以下是引用深泽交通医院在2008-6-6 17:49:00的发言:[br]左肾盂积水
作者: gdlwx001 时间: 2008-6-7 02:53
左肾盂囊肿伴肾积水
作者: zhengfaming 时间: 2008-6-7 02:57
1 左侧肾盂输尿管上段扩张积水。
2 肾盂囊肿
作者: lucunliang 时间: 2008-6-7 03:02
左侧肾盂旁囊肿伴积水
作者: yangyudong333 时间: 2008-6-7 03:14
1 左侧肾盂输尿管上段扩张积水。
2 肾盂囊肿
作者: 海笑 时间: 2008-6-7 03:18
标题: 回复:ct13872:左肾区病变!!请大家会诊!!
以下是引用yangyudong333在2008-6-6 19:14:00的发言:[br]1 左侧肾盂输尿管上段扩张积水。[br]2 肾盂囊肿
作者: 主力军 时间: 2008-6-7 03:41
左肾囊肿
作者: 文莱 时间: 2008-6-7 03:41
左肾盂囊肿
作者: 长城干红 时间: 2008-6-7 03:48
我院见过一例,考虑:左侧输尿管上段囊肿、左侧肾盂积水。
作者: zsl6918 时间: 2008-6-7 04:03
考虑肾盂输尿管移行部狭窄
作者: ybing 时间: 2008-6-7 04:12
考虑左肾盂旁囊肿伴肾积水
作者: 光影★小胖 时间: 2008-6-7 04:15
考虑:左侧输尿管上段囊肿、左侧肾盂积水。
作者: hushengqi 时间: 2008-6-7 04:38
考虑肾盂输尿管移行部狭窄并肾积水
作者: 同 时间: 2008-6-7 05:20
左肾盂积水.
作者: ydx_74 时间: 2008-6-7 05:33
左侧输尿管上段囊肿、左侧肾盂积水。
作者: liuyue 时间: 2008-6-7 06:01
肾盂旁囊肿伴肾盂积水可能性大。
作者: dsl555 时间: 2008-6-7 06:22
左肾盂积水
作者: 72xiang.zi 时间: 2008-6-7 07:14
左肾盂囊肿伴肾积水
作者: hexue 时间: 2008-6-7 07:32
标题: 回复:ct13872:左肾区病变!!请大家会诊!!
左肾盂囊肿伴肾积水
作者: 医影拾贝 时间: 2008-6-7 07:35
so easy!
就是简单的左肾盂积水,原因很可能是肾门部的血管压迫所致,建议做多期增强
作者: 随光逐影 时间: 2008-6-7 07:52
标题: 2
左肾积水(原因待查),不排除左肾盂输尿管移行部迷走血管压迫所致可能。
[本贴已被 随光逐影 于 2008-6-7 6:24:49 修改过]
作者: pujunzhi 时间: 2008-6-7 18:23
考虑肾盂输尿管移行部狭窄并肾盂积水
作者: zjzjr 时间: 2008-6-7 19:15
左输尿管上端狭窄(先天性,或血管压迫所致)伴肾积水.
作者: 拾荒者 时间: 2008-6-7 21:22
左侧肾盂、肾盏扩张,肾盂输尿管移行部突然狭窄,未见明显占位及高密度结石影,体检发现,考虑:先天性肾盂输尿管移行部狭窄。(原因多方面,有先天缺陷造成移行部结构异常或因为迷走血管、纤维索条引起肾盂输尿管的压迫扭曲所致。)大剂量ivp或肾盂造影有助于显示输尿管狭窄部位及形态。
作者: xulianj 时间: 2008-6-7 22:49
左肾积水(原因待查)
作者: dyqct 时间: 2008-6-9 05:08
标题: 回复:ct13872:左肾区病变!!请大家会诊!!
以下是引用zjzjr在2008-6-7 11:15:00的发言:[br]左输尿管上端狭窄(先天性,或血管压迫所致)伴肾积水.
支持!建议逆行造影或穿刺顺行造影进一步检查。
作者: jinguoji 时间: 2008-6-9 21:35
标题: 回复:ct13872:左肾区病变!!请大家会诊!!
以下是引用dyqct在2008-6-8 21:08:00的发言:[br][quote]以下是引用zjzjr在2008-6-7 11:15:00的发言:[br]左输尿管上端狭窄(先天性,或血管压迫所致)伴肾积水.
[br]支持!建议逆行造影或穿刺顺行造影进一步检查。[/quote]
作者: LIAOQIANG 时间: 2008-6-10 00:22
左侧肾盂输尿管上段积水。
作者: panyishengct 时间: 2008-6-10 03:19
以下是引用zjzjr在2008-6-7 11:15:00的发言:
左输尿管上端狭窄(先天性,或血管压迫所致)伴肾积水.
支持!建议逆行造影或穿刺顺行造影进一步检查。
| 欢迎光临 医影在线 (http://bbs.radida.com/bbs/) |
Powered by Discuz! X3.2 |