医影在线

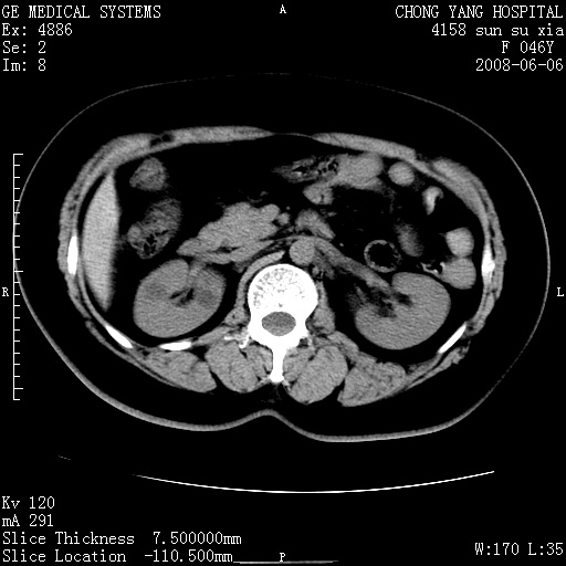
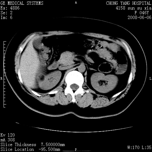
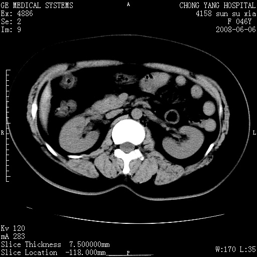
标题: CT13886:F 40Y, 外侧的CT值-60 内侧的25HU. 未作增强 [打印本页]

作者: 37度    时间: 2008-6-7 19:08
标题: CT13886:F 40Y, 外侧的CT值-60 内侧的25HU. 未作增强






[本贴已被 jiajie 于 2008-6-7 13:36:46 修改过]

作者: 光影★小胖    时间: 2008-6-7 19:14
考虑:右肾错构瘤。
作者: 医影拾贝    时间: 2008-6-7 19:29
右肾平滑肌脂肪瘤并肾囊肿
作者: 深泽交通    时间: 2008-6-7 19:34
标题: 回复:肾脏 f 40y, 外侧的ct值-60 内侧的25hu. 未作增强
以下是引用光影★小胖在2008-6-7 11:14:00的发言:[br]考虑:右肾错构瘤。

作者: 前行    时间: 2008-6-7 19:41
血管平滑肌脂肪瘤。
作者: wzr    时间: 2008-6-7 20:22
血管平滑肌脂肪瘤。
作者: qingjing    时间: 2008-6-7 20:44
右肾平滑肌脂肪瘤
作者: ZHANGZHONGSHOU    时间: 2008-6-7 20:51
右肾血管平滑肌脂肪瘤并肾囊肿(后者请排除容积效应,可结合超声)
作者: liuyue    时间: 2008-6-7 21:52
右肾血管平滑肌脂肪瘤并肾囊肿(后者请排除容积效应,可薄层扫描或结合超声)
作者: xulianj    时间: 2008-6-7 23:05
右肾血管平滑肌脂肪瘤并肾囊肿。
作者: zjzjr    时间: 2008-6-8 00:22
右肾血管平滑肌脂肪瘤并肾囊肿。
作者: 李衡钧    时间: 2008-6-8 00:26
右肾血管平滑肌脂肪瘤并肾囊肿。
作者: 战辉    时间: 2008-6-8 00:32
右肾血管平滑肌脂肪瘤并肾囊肿!
根据影像表现,基本可确诊!
作者: pujunzhi    时间: 2008-6-8 00:47
右肾血管平滑肌脂肪瘤或脂肪瘤
作者: hjk    时间: 2008-6-8 00:49
支持
作者: yangyudong333    时间: 2008-6-8 02:00
右肾血管平滑肌脂肪瘤并肾囊肿。
作者: dsl555    时间: 2008-6-8 03:23
右肾血管平滑肌脂肪瘤并肾囊肿。
作者: qiuleiyu    时间: 2008-6-8 04:15
支持;肾aml伴囊肿
作者: 72xiang.zi    时间: 2008-6-8 05:39
右肾血管平滑肌脂肪瘤并肾囊肿
作者: 杀毒软件    时间: 2008-6-8 06:53
右肾血管平滑肌脂肪瘤并肾囊肿
作者: qc80012345    时间: 2008-6-8 16:12
支持;右肾血管平滑肌脂肪瘤并肾囊肿。
作者: 随光逐影    时间: 2008-6-8 17:42
右肾血管平滑肌脂肪瘤并肾囊肿。
作者: zsl6918    时间: 2008-6-8 17:52
符合错构瘤
作者: 358450m    时间: 2008-6-8 20:55
右肾平滑肌脂肪瘤并肾囊肿
作者: dyqct    时间: 2008-6-9 04:20
支持右肾多发血管平滑肌脂肪瘤可能性大。
作者: 拾荒者    时间: 2008-6-9 04:55
右肾错构瘤并肾囊肿可能。
作者: jinguoji    时间: 2008-6-9 06:21
右肾血管平滑肌脂肪瘤并肾囊肿。




欢迎光临 医影在线 (http://bbs.radida.com/bbs/) Powered by Discuz! X3.2