
























以下是引用zhangzhongshou在2008-6-7 12:49:00的发言:[br]左顶骨嗜酸性肉芽肿可能性大,建议ect及其他检查,除外转移瘤的可能。
以下是引用zhangzhongshou在2008-6-7 12:49:00的发言:[br]左顶骨嗜酸性肉芽肿可能性大,建议ect及其他检查,除外转移瘤的可能。
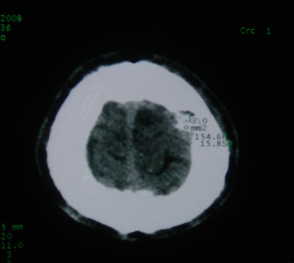
以下是引用拾荒者在2008-6-7 13:05:00的发言:[br]左侧顶骨局限性骨质缺损,边缘锐利,无硬化边,周围软组织轻度肿胀,无明显软组织肿块及骨膜反应,考虑嗜酸性肉芽肿可能。
以下是引用zhangzhongshou在2008-6-7 12:49:00的发言:[br]左顶骨嗜酸性肉芽肿可能性大,建议ect及其他检查,除外转移瘤的可能。
以下是引用zhangzhongshou在2008-6-7 12:49:00的发言:[br]左顶骨嗜酸性肉芽肿可能性大,建议ect及其他检查,除外转移瘤的可能。
| 欢迎光临 医影在线 (http://bbs.radida.com/bbs/) | Powered by Discuz! X3.2 |