医影在线

标题: CT13889:M72,颈部疼痛两年,近来加重。 [打印本页]

作者: XIANXIANZHONGYI    时间: 2008-6-7 20:08
标题: CT13889:M72,颈部疼痛两年,近来加重。












[本贴已被 jiajie 于 2008-6-7 13:39:27 修改过]

作者: wzr    时间: 2008-6-7 20:19
老龄首先考虑转移瘤,不除外嗜酸性肉芽肿
作者: qingjing    时间: 2008-6-7 20:38
转移瘤
作者: XIANXIANZHONGYI    时间: 2008-6-7 20:53
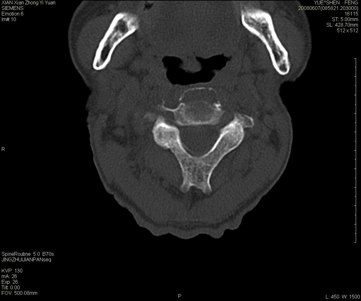
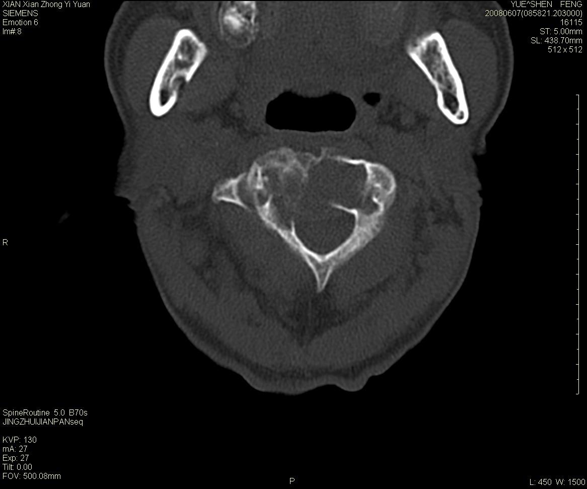
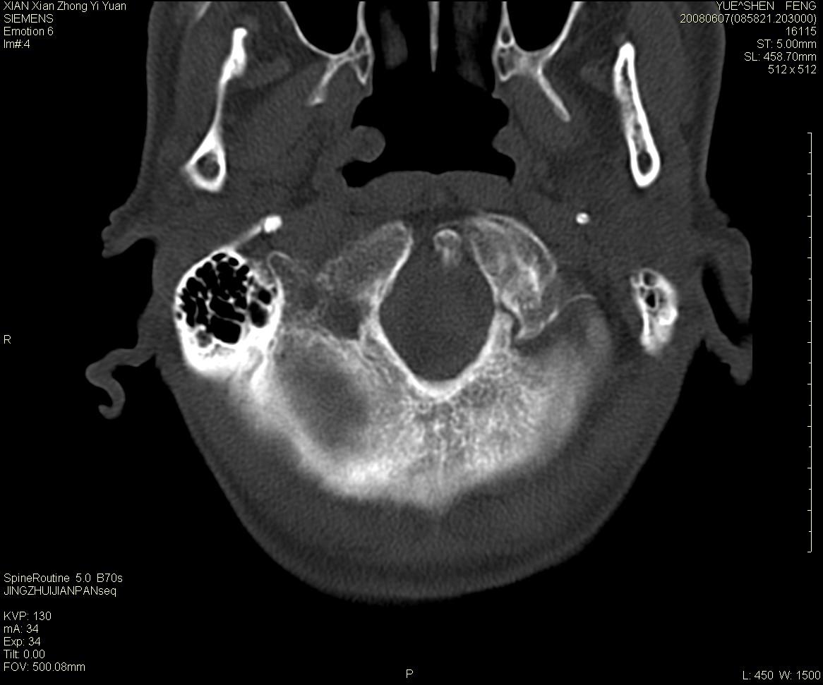
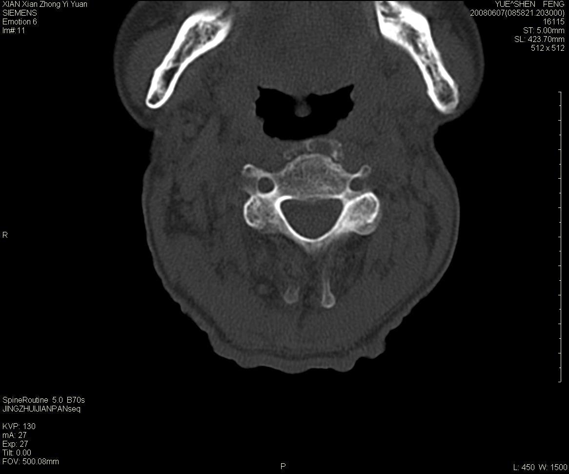
不像转移瘤吧,病灶局限c2椎体,病灶内骨质受压吸收,椎体周围软组织间隙正常,本人认为是良性骨瘤,考虑纤维或软骨性。
作者: ZHANGZHONGSHOU    时间: 2008-6-7 20:55
标题: 回复:m72,颈部疼痛两年,近来加重。
以下是引用wzr在2008-6-7 12:19:00的发言:[br]老龄首先考虑转移瘤,不除外嗜酸性肉芽肿

作者: liuyue    时间: 2008-6-7 21:45
以下是引用wzr在2008-6-7 12:19:00的发言:
老龄首先考虑转移瘤,不除外嗜酸性肉芽肿。
支持。
作者: 欧阳双全    时间: 2008-6-7 22:56
转移
作者: 深泽交通    时间: 2008-6-7 23:14
标题: 回复:ct13889:m72,颈部疼痛两年,近来加重。
以下是引用qingjing在2008-6-7 12:38:00的发言:[br]转移瘤

作者: xulianj    时间: 2008-6-7 23:25
考虑转移瘤,不除外嗜酸性肉芽肿。
作者: ydx_74    时间: 2008-6-8 00:52
转移瘤可能大
作者: hjk    时间: 2008-6-8 00:58
动脉瘤样骨囊肿可能
作者: pujunzhi    时间: 2008-6-8 01:08
骨巨细胞瘤恶变
作者: 阿康2008    时间: 2008-6-8 01:15
首先应该考虑转移。
作者: zjzjr    时间: 2008-6-8 01:35
支持动脉瘤样骨囊肿可能性大.
作者: wymnet    时间: 2008-6-8 01:42
以下是引用wzr在2008-6-7 12:19:00的发言:
老龄首先考虑转移瘤,不除外嗜酸性肉芽肿。
支持。
作者: yangyudong333    时间: 2008-6-8 01:53
转移瘤可能大
作者: 沉默是金    时间: 2008-6-8 02:56
考虑动脉瘤样骨囊肿
作者: dsl555    时间: 2008-6-8 02:58
转移瘤
作者: 72xiang.zi    时间: 2008-6-8 05:47
转移瘤可能大
作者: 光影★笑子    时间: 2008-6-8 05:52
骨巨细胞瘤,不排除恶变。
作者: 杀毒软件    时间: 2008-6-8 06:56
支持动脉瘤样骨囊肿可能性大
作者: qc80012345    时间: 2008-6-8 16:10
支持;转移瘤,不除外嗜酸性肉芽肿。
作者: zsl6918    时间: 2008-6-8 18:02
转移到此处少见,还是先考虑动脉瘤样骨囊肿或嗜酸性肉芽肿可能性大。
作者: wansheng    时间: 2008-6-8 20:01
考虑转移瘤,不除外嗜酸性肉芽肿。
作者: 358450m    时间: 2008-6-8 21:01
转移瘤
作者: dyqct    时间: 2008-6-9 04:17
支持第二枢椎动脉瘤样骨囊肿或骨巨细胞瘤可能性大.
作者: 拾荒者    时间: 2008-6-9 05:05
枢椎囊状膨胀性改变,边缘锐利,周围无软组织肿块,考虑骨巨细胞瘤可能。转移瘤破坏膨胀性改变较轻。
作者: XIANXIANZHONGYI    时间: 2008-6-9 18:06
考虑浆细胞瘤

依据:

1 老年男性,颈部疼痛两年余。

2 ct:枢椎椎体显示膨胀性溶骨性骨质破坏,受损区域较大,边界清晰,其中似可见有小囊状结构,并残存有少量的骨小梁。病变与正常骨组织之间有一狭窄的分界区。受损部位部分边缘显示轻度骨质硬化。病灶突破骨皮质并在椎管形成软组织肿块影。

浆细胞瘤发病率很高,比骨肉瘤的发病率高。好发于男性,男女比例为1.5∶1。好发于成年人或老年人,通常在40~50岁以后发病,少见于30岁以前,不见青春期以前。

浆细胞瘤是起源于骨髓的全身性肿瘤,迟早要累及全身的大多数骨骼,特别是于成人期有红骨髓的部位。这些区域是躯干部位的海绵状骨、颅骨和长骨的干骺端,尤其是髋关节和肩关节周围的海绵状骨。

浆细胞瘤的骨骼播散不是同时发生的,也不是一致的。在浆细胞瘤的某个阶段,一些骨骼容易受侵犯,而另一些则不,或其病灶只能在显微镜下看到。

发病初期为单一病灶局限于单一骨段的浆细胞瘤并不罕见,这种浆细胞瘤即是单发性浆细胞,虽然单一病灶可保持数年,但持续性单一病灶的单发性浆细胞少见,几乎都会有骨骼播散,并导致死亡。单发性浆细胞瘤最常见的发生部位为脊柱(一个或两个椎体),其次为躯干骨及股骨近端。

首发症状是模糊的或定位不清,可持续数周或数月,包括轻度骨疼痛、体质虚弱、体重下降或轻度贫血。患者常诉下背部疼痛,并可扩展到胸部。脊柱的疼痛常因运动而加重,椎旁肌肉可挛缩,叩击棘突可诱发疼痛。一些下腰痛的病例,多发性骨髓瘤的肿瘤组织可压迫神经根,引发坐骨神经或足的放射性疼痛。在轻度创伤或无明显诱因的情况下,脊柱疼痛可变得非常剧烈,这是病理性椎体骨折的征象。椎体受到广泛侵犯时,可由于渐进性的或突然的脊髓压迫发生结束瘫,伴或不伴椎体压缩骨折。

影像学检查:骨骼x线表现为单一部位的溶骨性改变,受损区域较大,边界清晰,其中可见有小囊状结构,少数可残存有少量的骨小梁。病变与正常骨组织之间有一狭窄的分界区。部分患者可见到病理性骨折,少数表现为受损部位的骨质硬化。ct和磁共振(mri)检查可以更加清晰地显示病损范围和性质以及周围软组织情况,并可能发现x线未显示的病灶以及更准确地判断骨髓是否受累。骨孤立性浆细胞瘤的ct和mri表现为扩张性溶骨性改变,骨质的破坏区完全被软组织肿块所代替,骨质膨胀,边界清晰,常突破骨皮质并在附近形成软组织肿块影。脊柱受累还可深入到锥管压迫神经束或神经根。
鉴别诊断:

1 巨细胞瘤:多见于20-40岁患者,膝关节好发,病变膨胀显著,与骨长轴相垂直。

2 动脉瘤样骨囊肿:多见于青少年,病变膨胀显著,ct可能发现病灶内液液平面。

3 转移瘤:有原发灶,病史短,进展快,与本例不同。

呵呵 摘自某网站大侠发言 供大家参考
作者: 刘阿赵    时间: 2008-6-9 18:59
这位置,你说危险不,不太好啊




欢迎光临 医影在线 (http://bbs.radida.com/bbs/) Powered by Discuz! X3.2