



















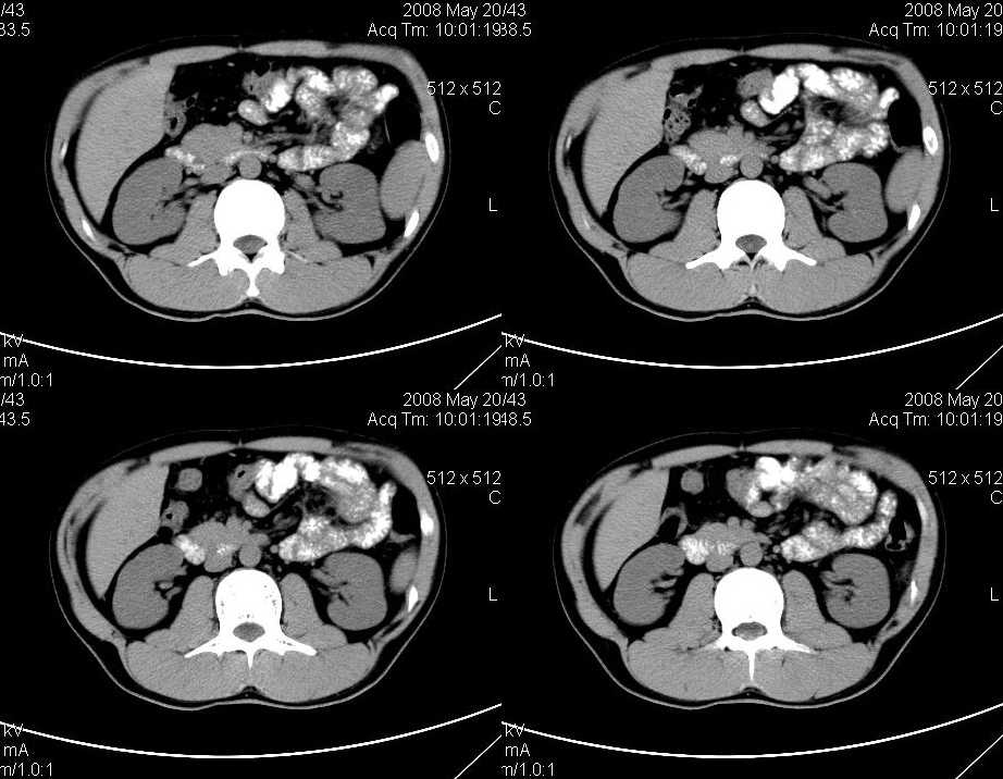
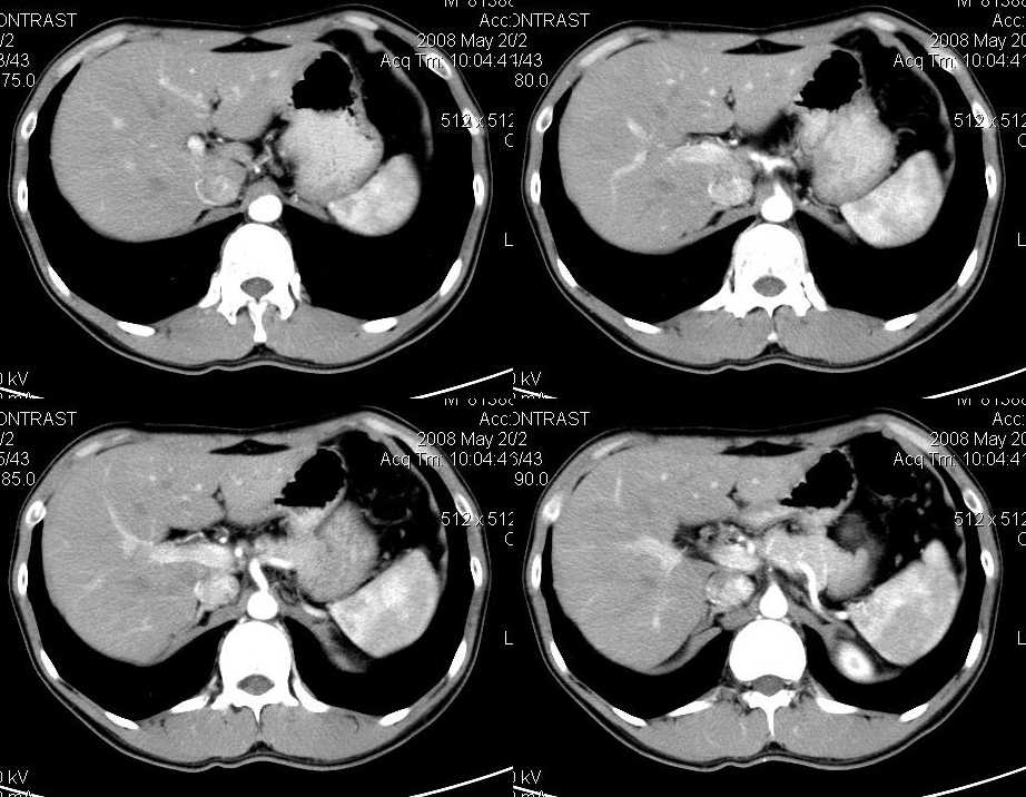
以下是引用liuyue在2008-6-7 15:28:00的发言:[br]典型的:肾癌。[br]动脉期强化明显,而静脉期密度明显降低,呈低密度。
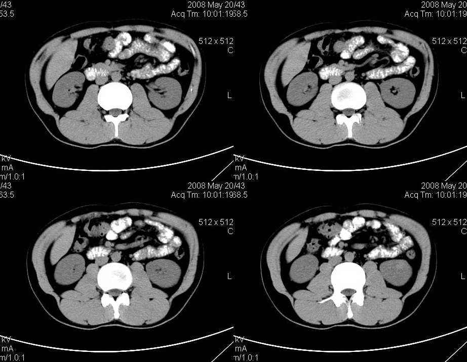
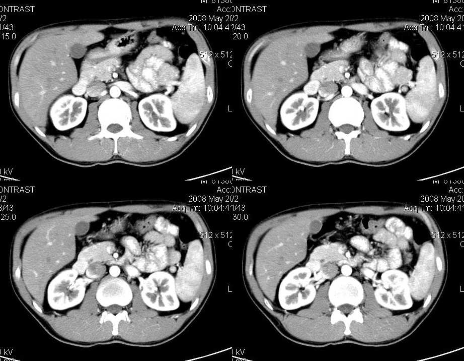
以下是引用liuyue在2008-6-7 15:28:00的发言:[br]典型的:肾癌。[br]动脉期强化明显,而静脉期密度明显降低,呈低密度。
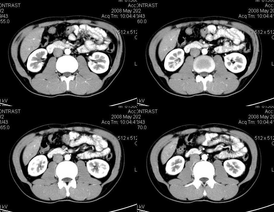
以下是引用liuyue在2008-6-7 15:28:00的发言:[br]典型的:肾癌。[br]动脉期强化明显,而静脉期密度明显降低,呈低密度。
| 欢迎光临 医影在线 (http://bbs.radida.com/bbs/) | Powered by Discuz! X3.2 |