










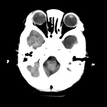
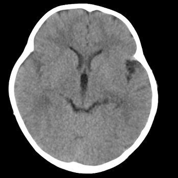
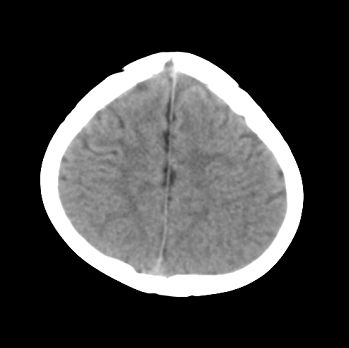
以下是引用jiangjing在2008-6-9 8:33:00的发言:[br]病灶周围见脑组织包绕,上部可见等或稍高密度壁环绕,壁且见小点钙化-----考虑皮样囊肿或表皮样囊肿可能
以下是引用jiangjing在2008-6-9 8:33:00的发言:[br]病灶周围见脑组织包绕,上部可见等或稍高密度壁环绕,壁且见小点钙化-----考虑皮样囊肿或表皮样囊肿可能
以下是引用jiangjing在2008-6-9 8:33:00的发言:[br]病灶周围见脑组织包绕,上部可见等或稍高密度壁环绕,壁且见小点钙化-----考虑皮样囊肿或表皮样囊肿可能
以下是引用jiangjing在2008-6-9 8:33:00的发言:[br]病灶周围见脑组织包绕,上部可见等或稍高密度壁环绕,壁且见小点钙化-----考虑皮样囊肿或表皮样囊肿可能
以下是引用jiangjing在2008-6-9 8:33:00的发言:[br]病灶周围见脑组织包绕,上部可见等或稍高密度壁环绕,壁且见小点钙化-----考虑皮样囊肿或表皮样囊肿可能
以下是引用jiangjing在2008-6-9 8:33:00的发言:[br]病灶周围见脑组织包绕,上部可见等或稍高密度壁环绕,壁且见小点钙化-----考虑皮样囊肿或表皮样囊肿可能
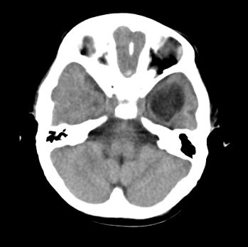
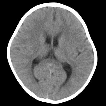
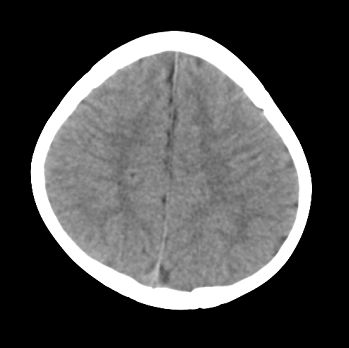
以下是引用22222222在2008-6-9 21:03:00的发言:[br]病灶周围见脑组织包绕,上部可见等或稍高密度壁环绕,壁且见小点钙化-----考虑皮样囊肿或表皮样囊肿可能,但侧脑室颞角内病灶不排除.
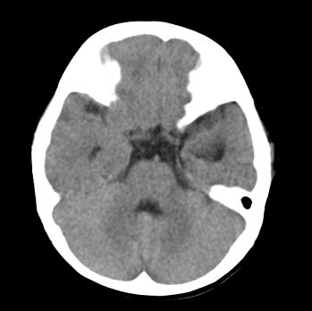
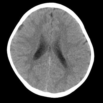
以下是引用jiangjing在2008-6-9 8:33:00的发言:[br]病灶周围见脑组织包绕,上部可见等或稍高密度壁环绕,壁且见小点钙化-----考虑皮样囊肿或表皮样囊肿可能
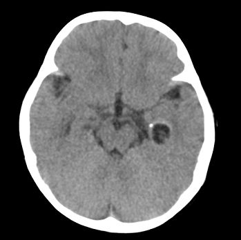
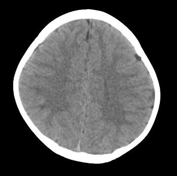
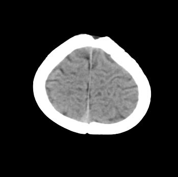
以下是引用fgp198在2008-6-9 12:16:00的发言:[br]病灶周围见脑组织包绕,上部可见等或稍高密度壁环绕,壁且见小点钙化-----考虑皮样囊肿或表皮样囊肿可能
| 欢迎光临 医影在线 (http://bbs.radida.com/bbs/) | Powered by Discuz! X3.2 |