医影在线

标题: CT13909:F39Y,头痛1年 [打印本页]

作者: 刘阿赵    时间: 2008-6-9 20:13
标题: CT13909:F39Y,头痛1年












[本贴已被 jiajie 于 2008-6-10 9:23:55 修改过]

作者: aa13877358820    时间: 2008-6-9 20:59
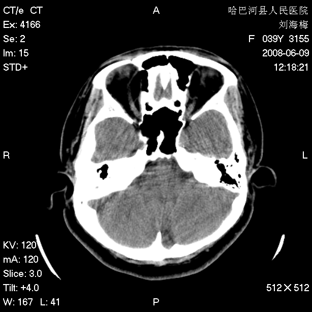
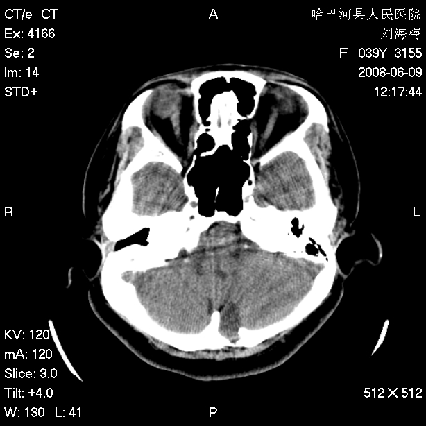
蛛网膜颗粒压迹
作者: lczeng    时间: 2008-6-9 21:01
支持蛛网膜颗粒压迹
作者: qiu999    时间: 2008-6-9 21:05
第 1 楼

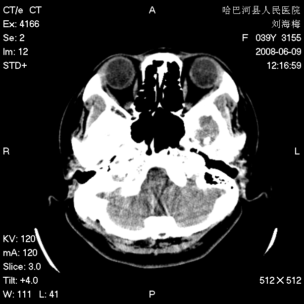
头痛1年
   








考虑神经性瘤可能性大
作者: ZHANGZHONGSHOU    时间: 2008-6-9 21:20
枕骨蛛网膜颗粒压迹。
作者: yangyudong333    时间: 2008-6-9 21:58
枕骨蛛网膜颗粒压迹。
作者: liuqiang    时间: 2008-6-9 22:01
嗜酸性肉芽肿?骨髓瘤?不像蛛网膜颗粒压迹,太大了,并且有占位效应。
作者: pujunzhi    时间: 2008-6-9 22:15
枕骨胆脂瘤
作者: 李衡钧    时间: 2008-6-9 22:15
首先考虑枕骨蛛网膜颗粒压迹。
作者: 战辉    时间: 2008-6-9 22:48
支持--枕骨蛛网膜颗粒压迹诊断
作者: 深泽交通    时间: 2008-6-9 23:07
考虑非骨化纤维瘤
作者: dyqct    时间: 2008-6-9 23:43
支持枕骨蛛网膜颗粒压迹。头痛与此无关。
作者: 姜晓辉    时间: 2008-6-10 00:12
1.应该考虑表皮样囊肿
2.右中耳乳突应薄扫!
作者: 明天会更好    时间: 2008-6-10 00:29
嗜酸性肉芽肿?骨髓瘤?不像蛛网膜颗粒压迹,太大了,并且有占位效应
作者: hexue    时间: 2008-6-10 00:53
标题: 回复:头痛1年
枕骨蛛网膜颗粒压迹。
作者: 同    时间: 2008-6-10 01:20
考虑枕骨蛛网膜粒压迹.
作者: 宇宙CT    时间: 2008-6-10 01:25
支持枕骨蛛网膜颗粒压迹。头痛与此无关。
作者: 358450m    时间: 2008-6-10 01:29
枕骨蛛网膜颗粒压迹。
作者: zsl6918    时间: 2008-6-10 01:56
标题: 回复:头痛1年
以下是引用lczeng在2008-6-9 13:01:00的发言:[br]支持蛛网膜颗粒压迹

作者: 杀毒软件    时间: 2008-6-10 02:24
支持蛛网膜颗粒压迹,右中耳乳突应薄扫!
作者: 光影相伴    时间: 2008-6-10 02:29
嗜酸性肉芽肿?
作者: 西瓜太凉20    时间: 2008-6-10 02:35
考虑嗜酸性肉芽肿
作者: xulianj    时间: 2008-6-10 03:04
枕骨蛛网膜颗粒压迹
作者: gaoshengjiang    时间: 2008-6-10 03:24
支持枕骨胆脂瘤可能性最大。右侧乳突部密度增高,建议薄扫。
作者: 正峰    时间: 2008-6-10 03:34
嗜酸性肉芽肿可能性大
作者: zwz    时间: 2008-6-10 04:25
枕骨皮样囊肿。
也称囊性畸胎瘤,含有中外胚层组织成分,囊壁厚,内含大量油脂、表皮、真皮及其中毛囊、皮脂腺汗腺等,常与皮肤之间有一窦道相连,也可闭合成纤维条索等。
作者: wzr    时间: 2008-6-10 05:09
正常变异或枕骨蛛网膜颗粒压迹。
作者: jsgdoctor    时间: 2008-6-10 05:45
蛛网膜颗粒压迹
作者: 随光逐影    时间: 2008-6-10 15:47
枕部皮样囊肿可能。
作者: 余辉    时间: 2008-6-10 16:23
支持--枕骨蛛网膜颗粒压迹诊断
作者: zjzjr    时间: 2008-6-10 20:44
首先考虑枕骨蛛网膜颗粒压迹。
作者: 拾荒者    时间: 2008-6-11 03:25
蛛网膜颗粒压迹。
作者: jinguoji    时间: 2008-6-12 19:26
支持枕骨蛛网膜颗粒压迹。




欢迎光临 医影在线 (http://bbs.radida.com/bbs/) Powered by Discuz! X3.2