医影在线
标题: PED0834:M8Y,考虑右侧海绵窦血管瘤 [打印本页]
作者: 子十 时间: 2008-6-10 20:15
标题: PED0834:M8Y,考虑右侧海绵窦血管瘤
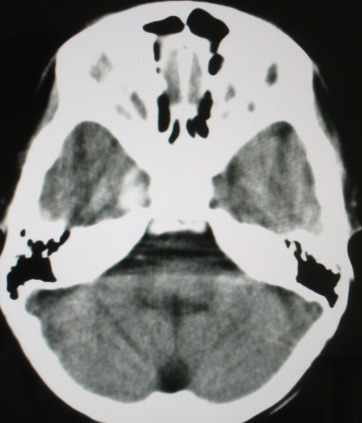
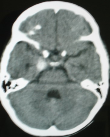
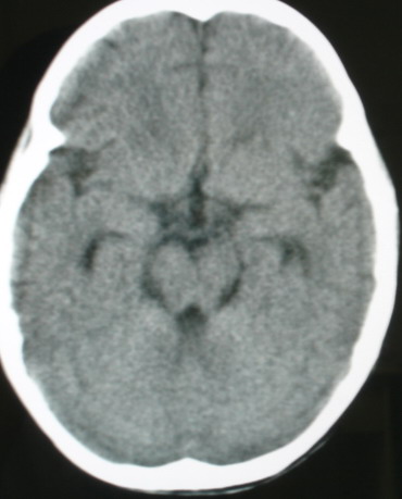
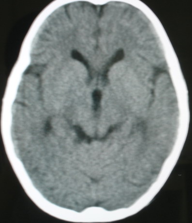
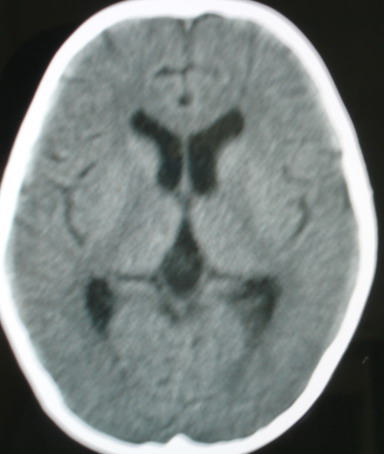
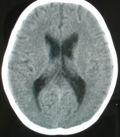
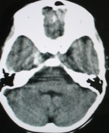
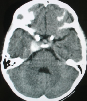
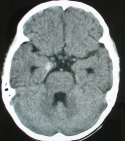
m/8y,右侧眼睑下垂数天,头昏,无呕吐、无外伤史。无搏动性突眼。病人明天来增强。










[本贴已被 子十 于 2008-6-10 12:18:03 修改过]
[本贴已被 jiajie 于 2008-6-10 12:54:00 修改过]
作者: 形影不离 时间: 2008-6-10 20:19
考虑颈内动脉海绵窦段动脉瘤,建议mri检查。
作者: zsl6918 时间: 2008-6-10 20:22
如此年龄,如此之大的血管瘤实属不多见.还是强化后看看再说吧
作者: 子十 时间: 2008-6-10 20:24
标题: 回复:考虑右侧海绵窦血管瘤
以下是引用形影不离在2008-6-10 12:19:00的发言:[br]考虑颈内动脉海绵窦段动脉瘤,建议mri检查。
我有同感,至此。
作者: 358450m 时间: 2008-6-10 20:53
考虑颈内动脉海绵窦段动脉瘤,建议mri检查。
作者: jiangjing 时间: 2008-6-11 00:29
支持楼主
作者: 杀毒软件 时间: 2008-6-11 02:51
支持楼主
作者: 同 时间: 2008-6-11 04:43
考虑 颈内动脉海绵窦段动脉瘤.
作者: 长城干红 时间: 2008-6-11 04:54
考虑海绵窦血管瘤,做mri效果比较好。
作者: LIAIZHI 时间: 2008-6-11 05:26
考虑血管瘤.
作者: 随光逐影 时间: 2008-6-11 06:38
标题: 回复:ped0834:m8y,考虑右侧海绵窦血管瘤
以下是引用形影不离在2008-6-10 12:19:00的发言:[br]考虑颈内动脉海绵窦段动脉瘤,建议mri检查。
作者: 代课学生 时间: 2008-6-11 17:16
建议mr检查
作者: yangyudong333 时间: 2008-6-11 20:44
考虑颈内动脉海绵窦段动脉瘤,建议mri检查。
作者: 玉真 时间: 2008-6-11 23:53
以下是引用形影不离在2008-6-10 12:19:00的发言:
考虑颈内动脉海绵窦段动脉瘤,建议mri检查。
作者: 王仕学 时间: 2008-6-12 05:34
考虑颈内动脉海绵窦段动脉瘤,建议mri检查。
作者: jinguoji 时间: 2008-6-12 06:30
考虑颈内动脉海绵窦段动脉瘤。
作者: wangjj555 时间: 2008-6-16 16:54
考虑海绵窦血管瘤,做mri效果比较好
作者: dyqct 时间: 2008-6-16 18:07
不除外右侧海绵窦脑膜瘤,建议增强进一步检查。
作者: 蓝星 时间: 2008-6-17 06:45
考虑海绵窦血管瘤,建议mri进一步检查效果。
作者: 358450m 时间: 2008-7-4 09:44
标题: 回复:ped0834:m8y,考虑右侧海绵窦血管瘤
以下是引用形影不离在2008-6-10 12:19:00的发言:[br]考虑颈内动脉海绵窦段动脉瘤,建议mri检查。
| 欢迎光临 医影在线 (http://bbs.radida.com/bbs/) |
Powered by Discuz! X3.2 |