

















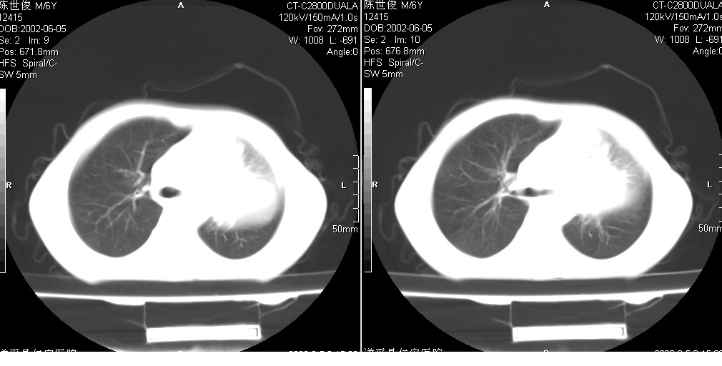
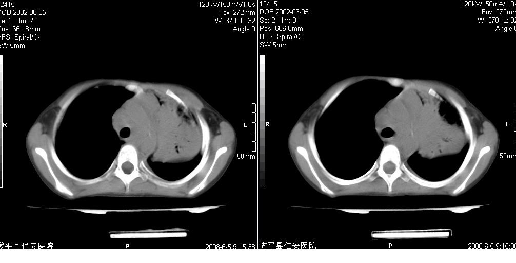
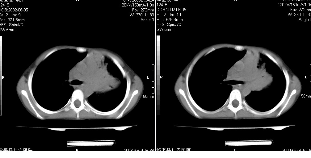
以下是引用xxhwh在2008-6-10 18:40:00的发言:[br]男,6岁,无规则发热一月余,体温在37.8——39度之间。一月前拍胸片示左上肺密度增高影,进行抗炎治疗8天,复查胸片未明显吸收。又改变抗菌素继续治疗半月,照胸片示病灶吸收不明显,行ct检查[br]征象:左上肺前段呈密实影,内可见支气管气像,远侧见絮状模糊影,中上纵隔左移。[br]意见:左上肺前段膨胀不全及感染,考虑为支气管异物或支气管内膜结核所致,[br]建议追问有无异物吸入史,行痰检及ppd检查
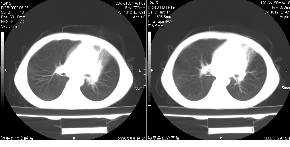
以下是引用xxhwh在2008-6-10 18:40:00的发言:[br]男,6岁,无规则发热一月余,体温在37.8——39度之间。一月前拍胸片示左上肺密度增高影,进行抗炎治疗8天,复查胸片未明显吸收。又改变抗菌素继续治疗半月,照胸片示病灶吸收不明显,行ct检查[br]征象:左上肺前段呈密实影,内可见支气管气像,远侧见絮状模糊影,中上纵隔左移。[br]意见:左上肺前段膨胀不全及感染,考虑为支气管异物或支气管内膜结核所致,[br]建议追问有无异物吸入史,行痰检及ppd检查
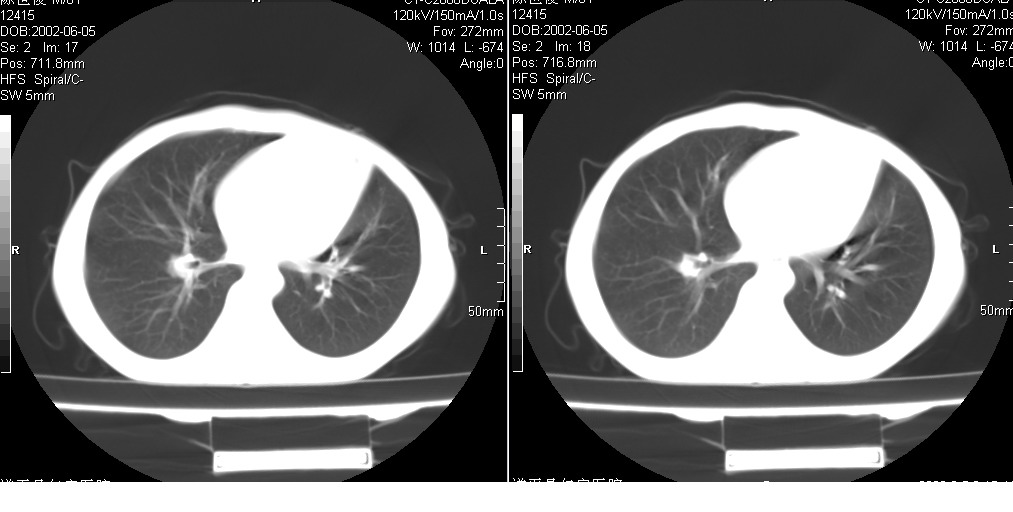
以下是引用xxhwh在2008-6-10 18:40:00的发言:[br]男,6岁,无规则发热一月余,体温在37.8——39度之间。一月前拍胸片示左上肺密度增高影,进行抗炎治疗8天,复查胸片未明显吸收。又改变抗菌素继续治疗半月,照胸片示病灶吸收不明显,行ct检查[br]征象:左上肺前段呈密实影,内可见支气管气像,远侧见絮状模糊影,中上纵隔左移。[br]意见:左上肺前段膨胀不全及感染,考虑为支气管异物或支气管内膜结核所致,[br]建议追问有无异物吸入史,行痰检及ppd检查
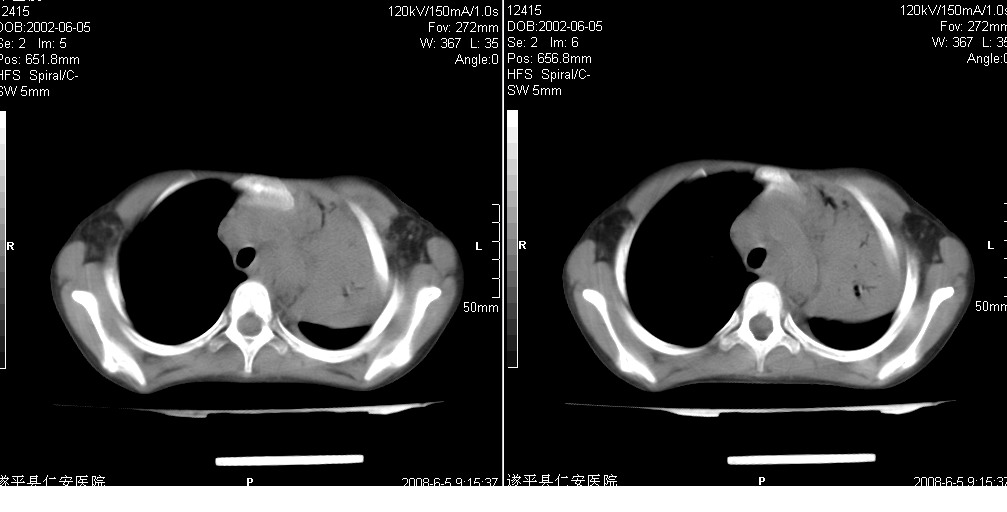
以下是引用xxhwh在2008-6-10 18:40:00的发言:[br]男,6岁,无规则发热一月余,体温在37.8——39度之间。一月前拍胸片示左上肺密度增高影,进行抗炎治疗8天,复查胸片未明显吸收。又改变抗菌素继续治疗半月,照胸片示病灶吸收不明显,行ct检查[br]征象:左上肺前段呈密实影,内可见支气管气像,远侧见絮状模糊影,中上纵隔左移。[br]意见:左上肺前段膨胀不全及感染,考虑为支气管异物或支气管内膜结核所致,[br]建议追问有无异物吸入史,行痰检及ppd检查
| 欢迎光临 医影在线 (http://bbs.radida.com/bbs/) | Powered by Discuz! X3.2 |