医影在线

标题: CT13930:M,33岁,腹胀、腹痛10天余。 [打印本页]

作者: ydx_74    时间: 2008-6-11 02:20
标题: CT13930:M,33岁,腹胀、腹痛10天余。
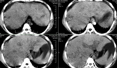
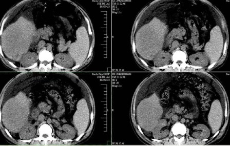
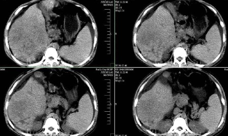
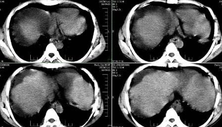
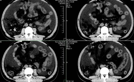
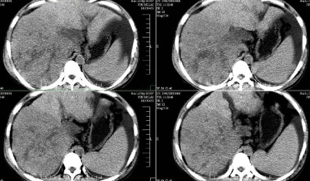
右上腹压痛,肝大,质硬。腹水征。ct:肝右叶(后段)低密度影,性质待定。








[本贴已被 jiajie 于 2008-6-10 21:22:39 修改过]

作者: 312nanyang    时间: 2008-6-11 02:22
肝右叶肝癌,左叶肝内转移可能,肝硬化
作者: 形影不离    时间: 2008-6-11 02:22
增强吧!
作者: liangshusheng    时间: 2008-6-11 02:34
考虑肝硬化、肝癌。建议增强
作者: 杀毒软件    时间: 2008-6-11 02:41
支持考虑肝硬化、肝癌?建议增强
作者: gaoshengjiang    时间: 2008-6-11 02:42
肝硬化、腹水,肝右叶低密度首先考虑肝癌可能,左叶低密度不除外转移可能。建议增强检查。
作者: 子十    时间: 2008-6-11 03:32
标题: 回复:m,33岁,腹胀、腹痛10天余。
以下是引用gaoshengjiang在2008-6-10 18:42:00的发言:[br]肝硬化、腹水,肝右叶低密度首先考虑肝癌可能,左叶低密度不除外转移可能。建议增强检查。

作者: zhengfaming    时间: 2008-6-11 03:34
肝硬化、腹水,肝右叶低密度首先考虑肝癌可能,左叶低密度不除外转移可能。建议增强检查。
作者: xulianj    时间: 2008-6-11 04:21
肝硬化、腹水,肝右叶低密度首先考虑肝癌。建议增强!
作者: 随光逐影    时间: 2008-6-11 07:21
1)肝癌可能;建议:行ct增强扫描检查。2)肝硬化,腹水。
作者: yangyudong333    时间: 2008-6-11 14:26
考虑肝硬化、肝癌。建议增强
作者: 358450m    时间: 2008-6-11 15:46
肝右叶肝癌,左叶肝内转移可能,肝硬化
作者: zjzjr    时间: 2008-6-11 17:35
1)肝癌可能;建议:行ct增强扫描检查。2)肝硬化,腹水。
作者: dyqct    时间: 2008-6-11 18:25
标题: 回复:ct13930:m,33岁,腹胀、腹痛10天余。
以下是引用gaoshengjiang在2008-6-10 18:42:00的发言:[br]肝硬化、腹水,肝右叶低密度首先考虑肝癌可能,左叶低密度不除外转移可能。建议增强检查。

支持!
作者: 黑白光影    时间: 2008-6-11 18:27
1)肝癌可能;建议:行ct增强扫描检查。2)肝硬化,腹水。
作者: jinguoji    时间: 2008-6-11 21:48
肝硬化、腹水,肝右叶低密度首先考虑肝癌可能,左叶低密度不除外转移可能。建议增强检查。
作者: 岚儿    时间: 2008-6-11 21:56
肝硬化、腹水,  
肝癌可能建议:行ct增强扫描检查 !
作者: 拾荒者    时间: 2008-6-12 04:28
肝硬化、大量腹水,肝右叶巨大肿块,境界欠清,中间见不规则低密度坏死区,考虑肝癌应该问题不大,至于肝左叶低密度灶是否转移应该意义不是很大了,慎重起见还是建议增强扫描。
作者: zsl6918    时间: 2008-6-12 06:17
建议强化




欢迎光临 医影在线 (http://bbs.radida.com/bbs/) Powered by Discuz! X3.2