医影在线
标题: CT13937:M,42A.腰疼一周。 [打印本页]
作者: ydx_74 时间: 2008-6-11 02:51
标题: CT13937:M,42A.腰疼一周。
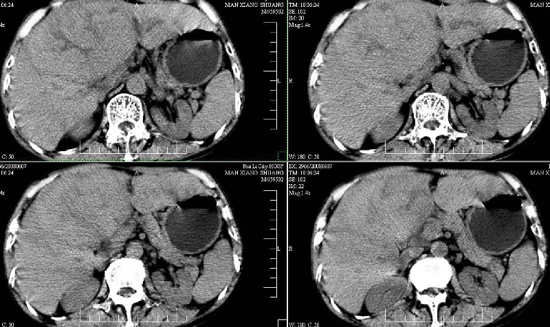
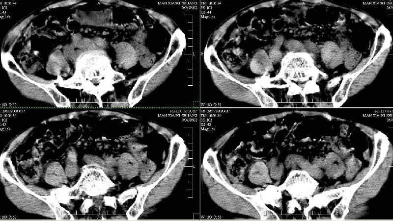
ct(椎间盘扫描):椎间盘炎,建议dr。

dr:l4骨质破坏,转移可能。

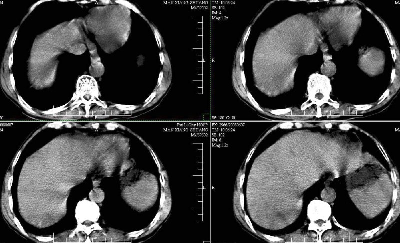
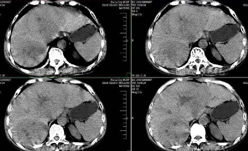
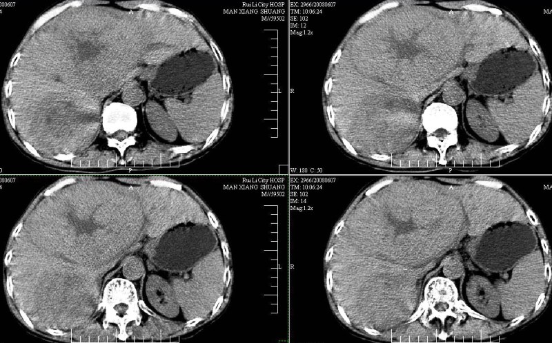
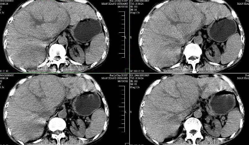
胸部摄片未见异常。临床医生体检发现上腹部饱满。














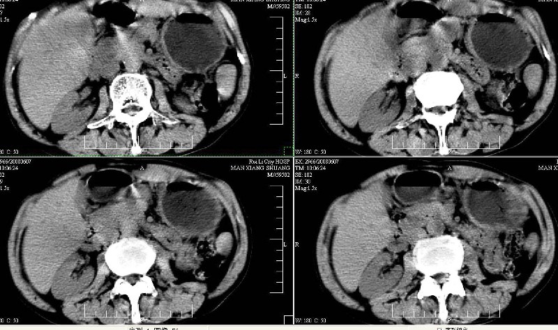
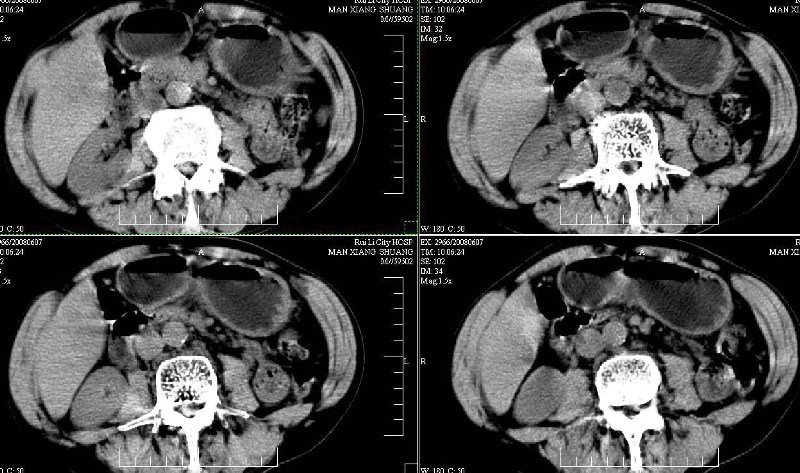
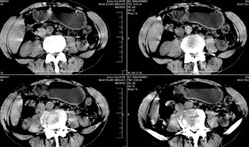
ct:肝癌腰椎转移。临床医生:肝脏、骨转移,肿瘤来自?前列腺?!
[本贴已被 jiajie 于 2008-6-10 21:45:24 修改过]
作者: liangshusheng 时间: 2008-6-11 02:59
支持肝癌腰椎骨转移
作者: 子十 时间: 2008-6-11 03:05
标题: 肝癌
肝癌
腰椎间盘膨出+突出,椎体考虑为转移、退变。
[本贴已被 子十 于 2008-6-10 19:24:45 修改过]
作者: 杀毒软件 时间: 2008-6-11 03:13
支持肝癌腰椎骨转移
作者: 尚峰 时间: 2008-6-11 03:16
支持临床意见。
作者: zhengfaming 时间: 2008-6-11 03:17
还是支持肝癌腰椎转移
作者: 形影不离 时间: 2008-6-11 03:33
支持肝癌腰椎转移。
作者: jiangjing 时间: 2008-6-11 04:13
支持肝癌腰椎转移
作者: zzh1105 时间: 2008-6-11 04:20
1、肝癌。
2腰椎转移。
作者: 同 时间: 2008-6-11 04:36
考虑肝癌腰椎转移.
作者: xulianj 时间: 2008-6-11 04:45
支持肝癌腰椎转移
作者: jiahui7z 时间: 2008-6-11 04:46
腰椎转移性肝癌.
作者: 长城干红 时间: 2008-6-11 04:47
支持肝癌骨转移,这样的病例见的多了,心里真的很不好受。
作者: 卜一 时间: 2008-6-11 04:57
支持:肝癌腰椎骨转移!
作者: jsgdoctor 时间: 2008-6-11 05:29
考虑肝癌腰椎骨转移
作者: yangyudong333 时间: 2008-6-11 14:11
支持肝癌腰椎转移。
作者: 358450m 时间: 2008-6-11 16:01
支持肝癌腰椎骨转移
作者: zjzjr 时间: 2008-6-11 17:19
支持肝癌腰椎转移
作者: dyqct 时间: 2008-6-11 17:36
支持肝癌腰椎转移。
作者: zsl6918 时间: 2008-6-11 18:20
建议强化观察肝内病灶特点,考虑肝癌骨转移。
作者: 黑白光影 时间: 2008-6-11 18:24
支持肝癌腰椎转移。
作者: jinguoji 时间: 2008-6-11 22:02
支持肝癌腰椎骨转移.
作者: ljchenshiying 时间: 2008-6-11 23:11
考虑肝癌腰椎转移.
作者: tao772 时间: 2008-6-12 00:35
支持肝癌伴椎体转移瘤。腹膜后建议ct增强,好象有增大的淋巴结。
作者: 随光逐影 时间: 2008-6-12 01:23
支持 肝癌腰椎骨转移。
作者: 拾荒者 时间: 2008-6-12 05:33
支持肝癌腰椎骨转移,病人才42岁,还没完成“任务”呢!
作者: hlbx126 时间: 2008-6-12 05:53
1、支持肝癌肝内及腰椎转移。
2、肝脏内好象有多个病灶,建议增强检查。
3、前列腺好象还可以,不过图像看得不太清。
作者: 啦地 时间: 2008-6-12 06:27
支持肝癌腰椎转移。但有个问题:第一次听说 椎间盘炎这个概念,那位老师能解答,谢谢!
| 欢迎光临 医影在线 (http://bbs.radida.com/bbs/) |
Powered by Discuz! X3.2 |