医影在线
标题: CT13941:M79Y,肝脏复杂病例,欢迎讨论! [打印本页]
作者: 悟空 时间: 2008-6-11 05:05
标题: CT13941:M79Y,肝脏复杂病例,欢迎讨论!
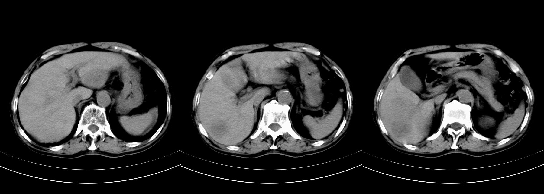
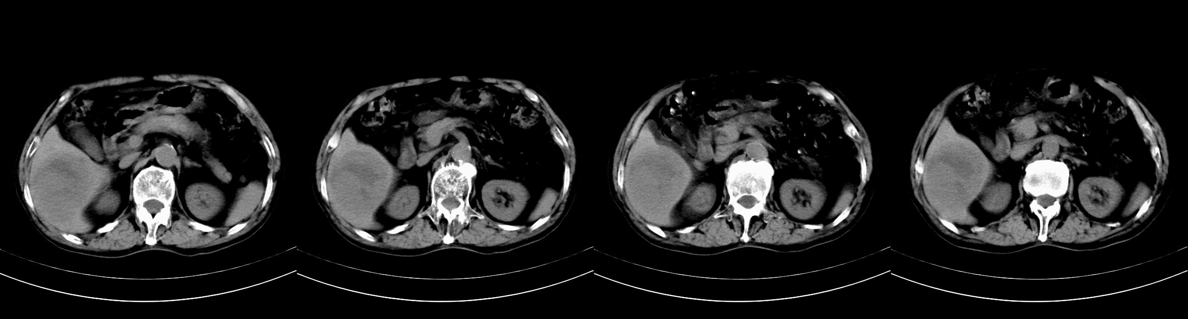
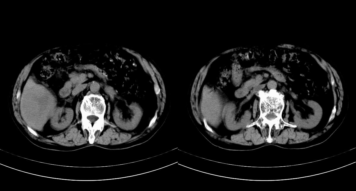
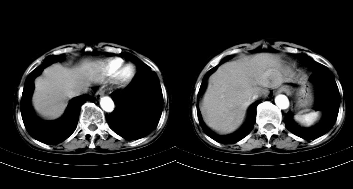
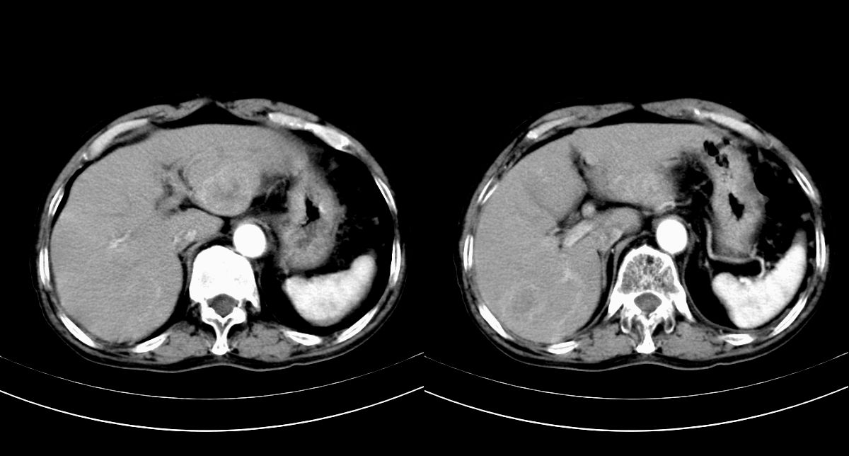
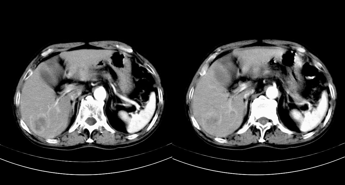
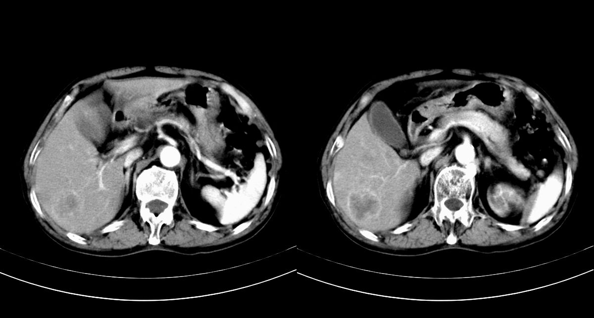
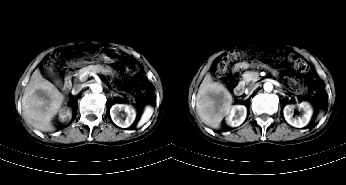
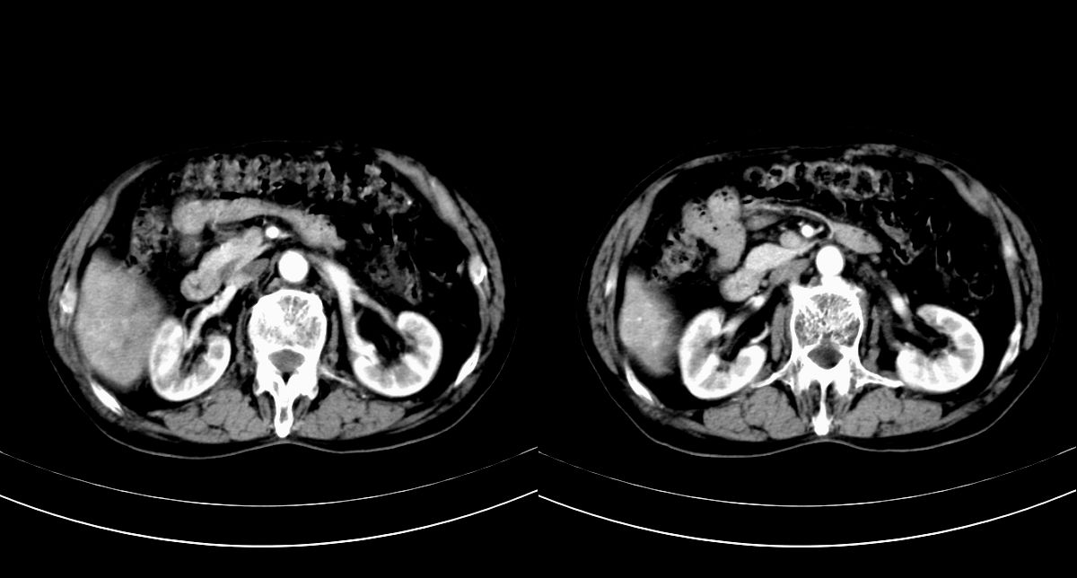
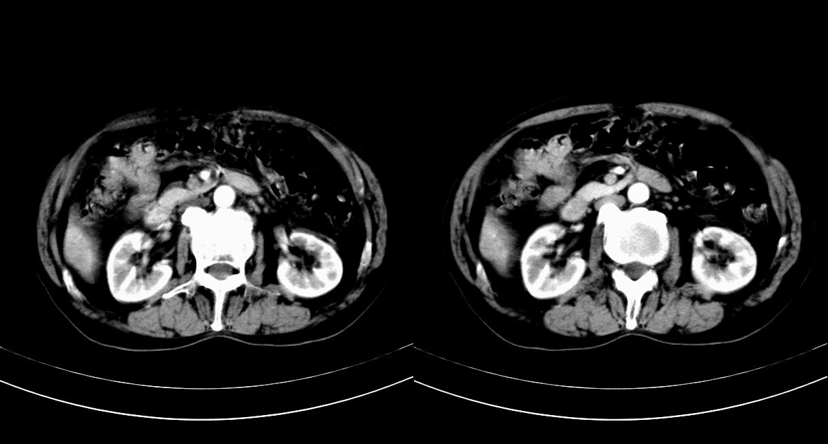
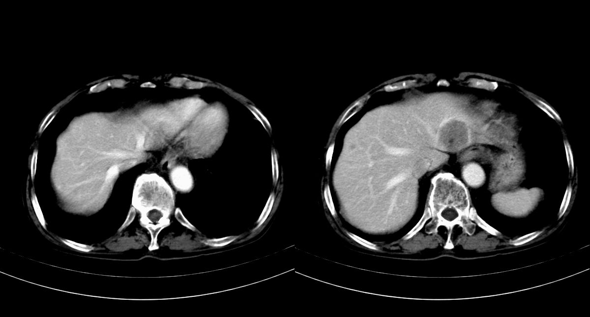
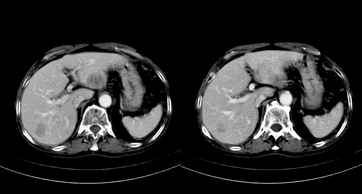
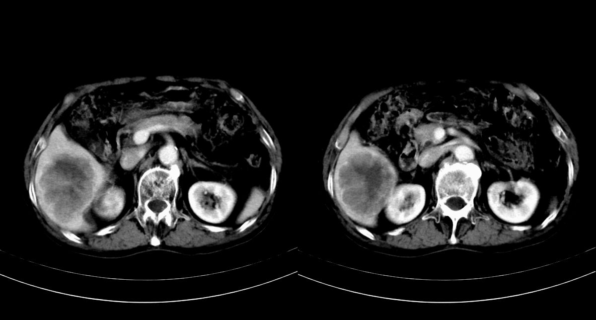
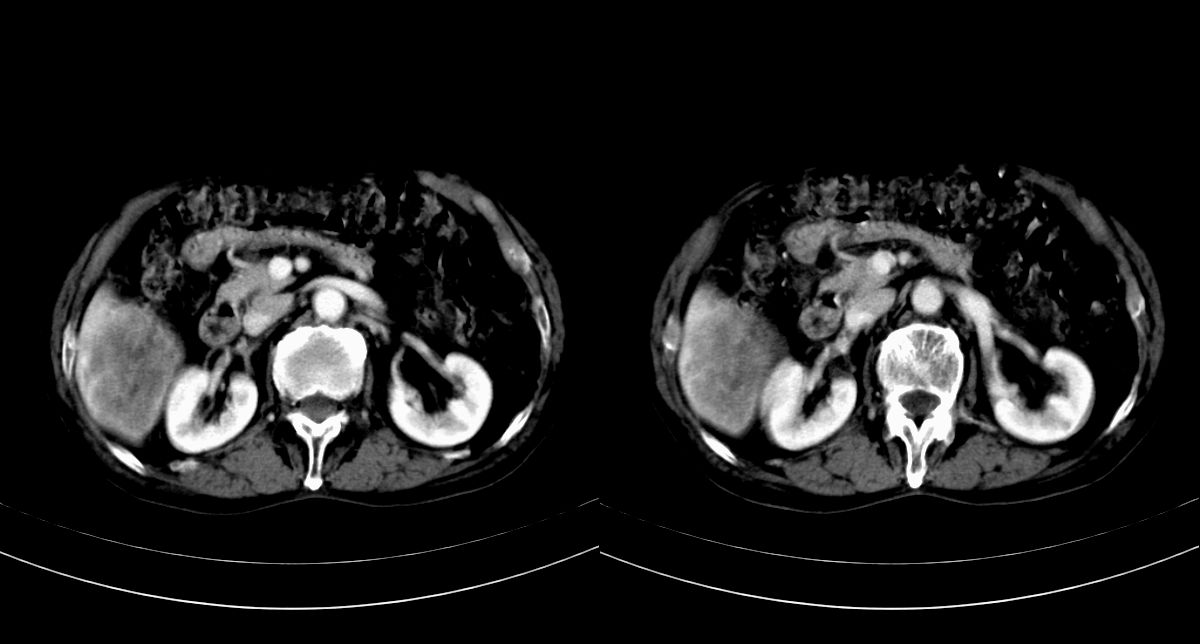
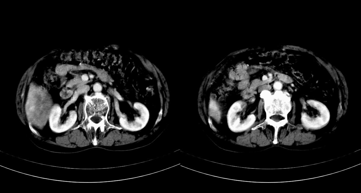
男,79y,无不适。体检发现肝脏占位。


















[本贴已被 jiajie 于 2008-6-10 22:08:49 修改过]
作者: gaoshengjiang 时间: 2008-6-11 05:15
首先考虑肝癌可能。
作者: 形影不离 时间: 2008-6-11 05:33
肝癌.
作者: lihongwei 时间: 2008-6-11 05:40
肝癌
作者: 曼一拍 时间: 2008-6-11 05:41
少了延迟期
肝内多发低密度结节,增强动脉期明显强化,门脉期逐渐下降,内有液化坏死区。
诊断:
肝细胞癌(结节型)
鉴别:肝转移癌。
作者: 江边学者 时间: 2008-6-11 05:49
肝癌可能?建议做病检及查afp.
作者: chenglinhunan 时间: 2008-6-11 05:59
肝癌
作者: 长城干红 时间: 2008-6-11 06:06
标题: 回复:肝脏复杂病例,欢迎讨论!
以下是引用曼一拍在2008-6-10 21:41:00的发言:[br]少了延迟期[br]肝内多发低密度结节,增强动脉期明显强化,门脉期逐渐下降,内有液化坏死区。[br]诊断:[br]肝细胞癌(结节型)[br]鉴别:肝转移癌。
作者: jsgdoctor 时间: 2008-6-11 06:21
考虑多发性原发性肝癌.
作者: 岚儿 时间: 2008-6-11 06:31
标题: 回复:ct13941:m79y,肝脏复杂病例,欢迎讨论!
肝内多发低密度结节灶,增强动脉期明显不规则环状强化,;门脉期逐渐下降,肿瘤壁厚薄不一,内有坏死液化区。
诊断:肝转移癌可能
鉴别:1原发性肝癌(强化方式符合,建议查afp)
2肝脓肿(无临床病史支持)
[本贴已被 岚儿 于 2008-6-10 22:38:28 修改过]
作者: 沙漠骆驼 时间: 2008-6-11 06:57
支持: 肝癌,,,/
作者: 随光逐影 时间: 2008-6-11 07:15
考虑为肝癌可能性大;肝转移瘤不排除。
作者: pujunzhi 时间: 2008-6-11 07:55
肝癌
作者: yangyudong333 时间: 2008-6-11 14:02
考虑为肝癌可能性大
作者: 抛砖引玉 时间: 2008-6-11 15:12
多发性肝癌可能性大
作者: 358450m 时间: 2008-6-11 15:27
首先考虑肝癌可能。
作者: 王仕学 时间: 2008-6-11 16:42
首先考虑肝癌可能。
作者: dyqct 时间: 2008-6-11 17:13
支持多发结节巨块型肝癌,建议查afp。
作者: 卜一 时间: 2008-6-11 17:38
支持: 肝癌!!!
作者: zjzjr 时间: 2008-6-11 17:46
巨块型肝癌伴肝内转移.
作者: zsl6918 时间: 2008-6-11 18:03
肝内转移瘤,查原发灶吧。
作者: 黑白光影 时间: 2008-6-11 18:07
考虑为肝癌。
作者: 深泽交通 时间: 2008-6-11 18:48
标题: 回复:ct13941:m79y,肝脏复杂病例,欢迎讨论!
以下是引用gaoshengjiang在2008-6-10 21:15:00的发言:[br]首先考虑肝癌可能。
作者: realzyc 时间: 2008-6-11 18:54
肝内多发低密度结节灶,增强动脉期明显不规则环状强化,;门脉期逐渐下降,肿瘤壁厚薄不一,内有坏死液化区。
诊断:典型的肝转移癌
作者: jinguoji 时间: 2008-6-11 22:12
支持多发结节巨块型肝癌。
作者: huqi8888 时间: 2008-6-11 22:19
肝转移癌可能性大。
作者: tao772 时间: 2008-6-12 01:16
建议afp及癌胚抗原检查。
作者: 百年合好 时间: 2008-6-12 01:46
肝细胞ca!
作者: 杀毒软件 时间: 2008-6-12 02:48
考虑为肝癌可能性大;肝转移瘤不排除
作者: xulianj 时间: 2008-6-12 04:08
考虑多发性型肝癌.
作者: 拾荒者 时间: 2008-6-12 05:50
肝癌并肝内转移。
作者: 光影★小胖 时间: 2008-6-12 06:17
肝癌肝内转移可能性大。
| 欢迎光临 医影在线 (http://bbs.radida.com/bbs/) |
Powered by Discuz! X3.2 |