医影在线

标题: CT13943:上腹部CT [打印本页]

作者: 韦伟    时间: 2008-6-11 07:03
标题: CT13943:上腹部CT
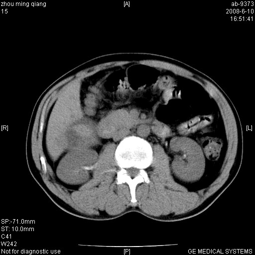
男,49岁.上腹部疼痛、乏力。乙肝表面抗原阳性,afp阳性。
































[本贴已被 翁志蓬 于 2008-6-11 0:53:47 修改过]

作者: yangyudong333    时间: 2008-6-11 13:59
考虑肝癌可能性大
作者: 358450m    时间: 2008-6-11 15:31
考虑肝癌可能性大
作者: 王仕学    时间: 2008-6-11 16:38
结合乙肝表面抗原阳性,afp阳性。 考虑肝癌。
作者: lirenxiong    时间: 2008-6-11 17:08
考虑肝癌可能性大
作者: dyqct    时间: 2008-6-11 17:18
考虑肝右叶巨块型肝癌伴静脉瘤栓形成。
作者: 卜一    时间: 2008-6-11 17:34
考虑:肝右叶巨块型肝癌。支持!
作者: zjzjr    时间: 2008-6-11 17:54
标题: 回复:ct13943:上腹部ct
以下是引用dyqct在2008-6-11 9:18:00的发言:[br]考虑肝右叶巨块型肝癌伴静脉瘤栓形成。

作者: zsl6918    时间: 2008-6-11 17:56
结合临床符合原发性肝癌并出血
作者: 黑白光影    时间: 2008-6-11 17:59
肝右叶巨块型肝癌。支持!
作者: 深泽交通    时间: 2008-6-11 18:22
灶区见粗大强化动脉影,afp阳性,考虑肝癌;;双肾盂铸形高密度影是什麽???
作者: 宇宙CT    时间: 2008-6-11 19:10
灶区见粗大强化动脉影,afp阳性,考虑肝癌;;双肾盂铸形高密度影是结石
作者: huqi8888    时间: 2008-6-11 19:20
肝右叶巨块型肝癌。支持///
作者: jinguoji    时间: 2008-6-11 22:16
考虑肝右叶巨块型肝癌伴静脉瘤栓形成。
作者: 随光逐影    时间: 2008-6-12 01:08
肝右叶肝癌(部分外生)并出血。
作者: 杀毒软件    时间: 2008-6-12 02:44
考虑:肝右叶巨块型肝癌。支持!
作者: xulianj    时间: 2008-6-12 04:02
考虑:肝右叶巨块型肝癌。支持!
作者: 拾荒者    时间: 2008-6-12 05:04
支持肝右叶肝癌并灶内出血,但对于有战友考虑的双肾内高密度影应该是皮试造影剂浓聚所致,而不是结石影;否则增强时静脉期肾盂内高密度造影剂应该有充缺才是。
作者: 光影★小胖    时间: 2008-6-12 05:44
标题: 回复:ct13943:上腹部ct
以下是引用拾荒者在2008-6-11 21:04:00的发言:[br]支持肝右叶肝癌并灶内出血,但对于有战友考虑的双肾内高密度影应该是皮试造影剂浓聚所致,而不是结石影;否则增强时静脉期肾盂内高密度造影剂应该有充缺才是。

支持!




欢迎光临 医影在线 (http://bbs.radida.com/bbs/) Powered by Discuz! X3.2