医影在线
标题: CT13946:F18Y,一个典型病例。 [打印本页]
作者: lczeng 时间: 2008-6-11 10:28
标题: CT13946:F18Y,一个典型病例。
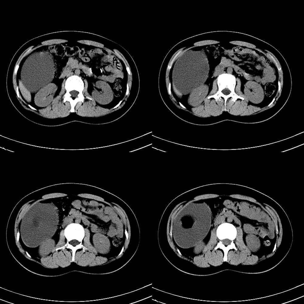
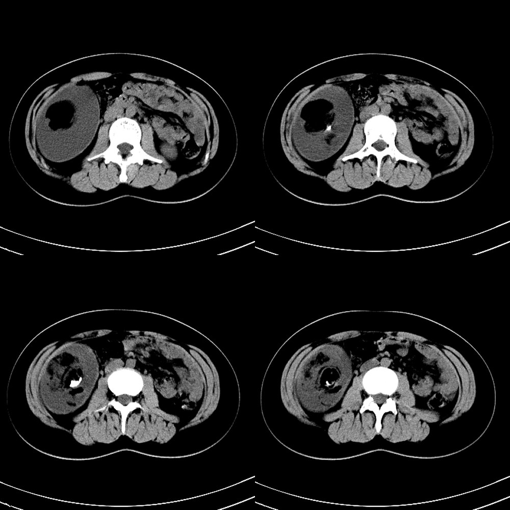
f18y,无意中发现。无症状。典型病例,但是肿瘤定位在哪里?注:中心低密度ct值为-118hu.






注:中心低密度ct值为-118hu.
[本贴已被 jiajie 于 2008-6-11 6:18:54 修改过]
作者: syfszcw 时间: 2008-6-11 10:30
腹腔畸胎瘤 多考虑来源于肠系膜
作者: yangyudong333 时间: 2008-6-11 13:21
支持楼上
作者: 大师xcb 时间: 2008-6-11 14:18
腹腔畸胎瘤
作者: 卜一 时间: 2008-6-11 14:48
腹腔畸胎瘤! 多考虑来源于肠系膜。支持!
作者: 抛砖引玉 时间: 2008-6-11 14:50
腹膜后不能除外.
作者: 358450m 时间: 2008-6-11 15:36
腹腔畸胎瘤 多考虑来源于肠系膜
作者: clj20 时间: 2008-6-11 16:23
腹腔畸胎瘤! 多考虑来源于肠系膜。支持!
作者: 王仕学 时间: 2008-6-11 16:30
腹腔畸胎瘤! 多考虑来源于肠系膜。支持!
作者: lirenxiong 时间: 2008-6-11 17:16
腹腔畸胎瘤 多考虑来源于肠系膜
作者: dyqct 时间: 2008-6-11 17:27
中腹部畸胎瘤以腹膜后多见。
作者: 深泽交通 时间: 2008-6-11 17:35
标题: 回复:ct13946:f18y,一个典型病例。
以下是引用大师xcb在2008-6-11 6:18:00的发言:[br]腹腔畸胎瘤
作者: qiushi 时间: 2008-6-11 17:50
腹腔畸胎瘤!支持!
作者: zsl6918 时间: 2008-6-11 17:57
腹膜后畸胎瘤
作者: zjzjr 时间: 2008-6-11 18:00
腹腔畸胎瘤! 多考虑来源于肠系膜。支持!
作者: 黑白光影 时间: 2008-6-11 18:03
腹腔畸胎瘤,支持。
作者: 代课学生 时间: 2008-6-11 18:30
是比较典型,考虑来自肠系膜。
作者: lyb999 时间: 2008-6-11 18:55
腹腔畸胎瘤。是不是来源于肠系膜,单从影像上不能确定。
作者: 宇宙CT 时间: 2008-6-11 19:26
腹腔畸胎瘤! 多考虑来源于肠系膜。支持!
作者: qian 时间: 2008-6-11 20:44
的确是很少见。
作者: fanjhua 时间: 2008-6-11 21:06
腹腔畸胎瘤 多考虑来源于肠系膜
作者: 学无崖 时间: 2008-6-11 21:06
腹腔畸胎瘤 多考虑来源于肠系膜
作者: ybing 时间: 2008-6-11 21:45
腹腔畸胎瘤 多考虑来源于肠系膜
作者: liuyue 时间: 2008-6-11 21:57
腹腔畸胎瘤! 多考虑来源于肠系膜。支持!
作者: huqi8888 时间: 2008-6-11 22:12
腹腔畸胎瘤; 多考虑来源于肠系膜。支持
作者: jinguoji 时间: 2008-6-11 22:20
标题: 回复
支持腹腔畸胎瘤! 多考虑来源于肠系膜。
[本贴已被 jinguoji 于 2008-6-11 14:20:39 修改过]
作者: 宝天曼 时间: 2008-6-11 22:21
腹腔畸胎瘤! 多考虑来源于肠系膜。支持
作者: 长城干红 时间: 2008-6-11 22:51
支持畸胎瘤,考虑来源于肠系膜。
作者: 玉真 时间: 2008-6-11 23:33
腹腔畸胎瘤 多考虑来源于肠系膜
作者: ljchenshiying 时间: 2008-6-11 23:37
腹腔畸胎瘤! 多考虑来源于肠系膜.
作者: tao772 时间: 2008-6-11 23:51
脐胎瘤肯定,考虑起源于肠系膜。
作者: 随光逐影 时间: 2008-6-11 23:54
右侧腹膜后畸胎瘤。
作者: HUSHENGQI 时间: 2008-6-12 00:59
右侧腹膜后畸胎瘤。
作者: ※学生※ 时间: 2008-6-12 02:03
支持楼上
作者: 杀毒软件 时间: 2008-6-12 02:49
腹膜后畸胎瘤
作者: xulianj 时间: 2008-6-12 04:10
腹腔畸胎瘤!
作者: 晓杰 时间: 2008-6-12 04:12
腹腔畸胎瘤! 多考虑来源于肠系膜。支持!
作者: shuqiang1 时间: 2008-6-12 04:18
典型畸胎瘤,考虑来源于右附件区。
作者: 拾荒者 时间: 2008-6-12 04:22
腹腔畸胎瘤。
| 欢迎光临 医影在线 (http://bbs.radida.com/bbs/) |
Powered by Discuz! X3.2 |