医影在线
标题: CT13949:F75Y,罕见 [打印本页]
作者: liuzheng_9326 时间: 2008-6-11 18:32
标题: CT13949:F75Y,罕见
手术取出物http://www.radida.com/bbs/forum.php?mod=viewthread&tid=40683
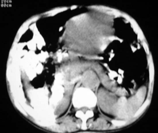
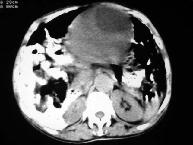
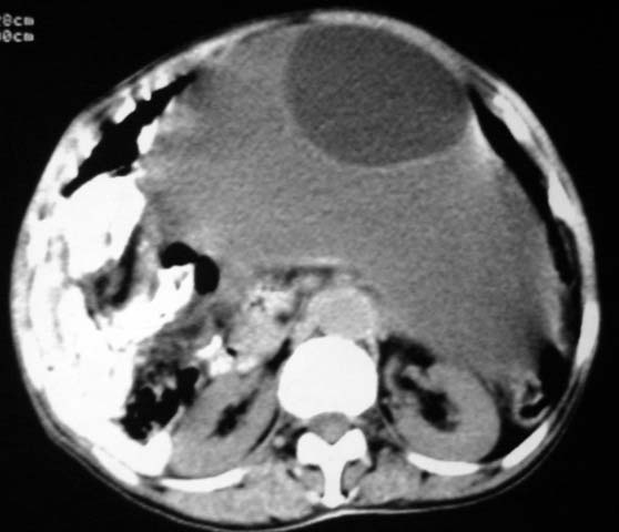
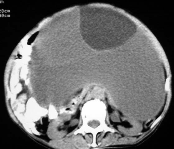
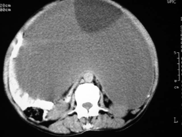
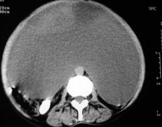
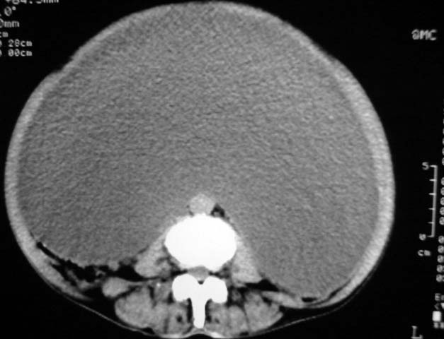
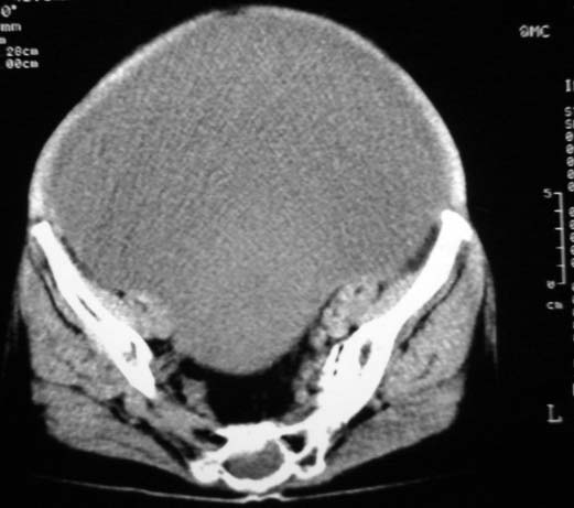
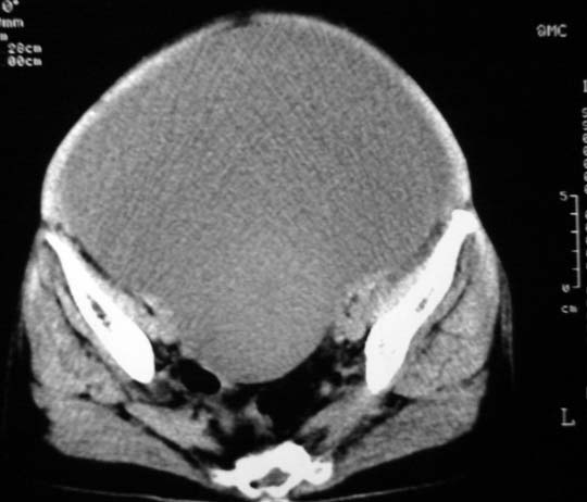
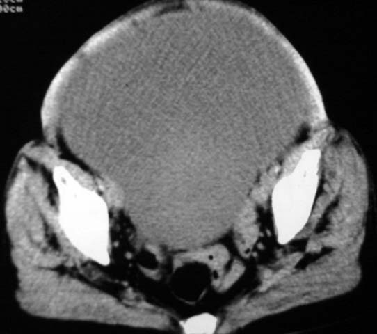
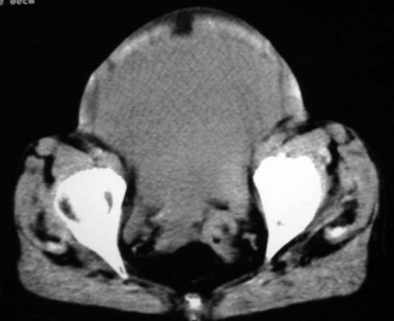
女,75岁,腹部胀大半年余,无其他症状。




















[本贴已被 jiajie 于 2008-6-11 12:52:47 修改过]
[本贴已被 liuzheng_9326 于 2008-6-16 18:01:10 修改过]
作者: zsl6918 时间: 2008-6-11 18:34
考虑来源与卵巢的巨大囊腺瘤或囊肿。
作者: 代课学生 时间: 2008-6-11 18:36
支持
作者: lyb999 时间: 2008-6-11 18:36
ct值各是多少?考虑卵巢囊肿或囊腺瘤。
作者: 黑白光影 时间: 2008-6-11 18:37
真是腹大如牛,考虑卵巢巨大囊腺瘤或囊肿。
作者: qiushi 时间: 2008-6-11 18:42
考虑囊肿或囊腺瘤。
作者: 52yingxiang 时间: 2008-6-11 18:42
和我遇见的一个病例相识(v0431),病史 ct表现都像近,考虑卵巢巨大囊腺瘤或囊肿。
作者: 358450m 时间: 2008-6-11 19:17
考虑卵巢巨大囊腺瘤或囊肿
作者: lirenxiong 时间: 2008-6-11 19:24
考虑卵巢巨大囊腺瘤或囊肿,
作者: 王仕学 时间: 2008-6-11 19:25
1、考虑卵巢巨大囊腺瘤或囊肿。2、子宫肌瘤不除外。
作者: 宇宙CT 时间: 2008-6-11 19:30
考虑卵巢巨大囊腺瘤或囊肿。
作者: wxq2008 时间: 2008-6-11 19:36
考虑卵巢巨大囊腺瘤或囊肿
作者: 深泽交通 时间: 2008-6-11 19:40
标题: 回复:罕见
以下是引用zsl6918在2008-6-11 10:34:00的发言:[br]考虑来源与卵巢的巨大囊腺瘤或囊肿。
作者: yangyudong333 时间: 2008-6-11 20:31
考虑囊肿或囊腺瘤。
作者: qian 时间: 2008-6-11 20:38
考虑卵巢巨大囊腺瘤或囊肿,长了这么大,怎么不到早医院去看?
作者: 37度 时间: 2008-6-11 20:45
标题: 回复:罕见
以下是引用深泽交通医院在2008-6-11 11:40:00的发言:[br][quote]以下是引用zsl6918在2008-6-11 10:34:00的发言:[br]考虑来源与卵巢的巨大囊腺瘤或囊肿。
[br][/quote]
作者: fanjhua 时间: 2008-6-11 21:02
考虑卵巢巨大囊腺瘤或囊肿.
作者: haha215315 时间: 2008-6-11 21:43
考虑来源与卵巢的巨大囊腺瘤或囊肿。
作者: liuyue 时间: 2008-6-11 21:54
考虑卵巢巨大囊腺瘤可能性大.
作者: huqi8888 时间: 2008-6-11 22:06
考虑卵巢巨大囊腺瘤可能性大
作者: 宝天曼 时间: 2008-6-11 22:23
考虑卵巢巨大囊腺瘤或囊肿。
作者: jinguoji 时间: 2008-6-11 22:29
考虑卵巢巨大囊腺瘤或囊肿。
作者: 文莱 时间: 2008-6-11 22:54
考虑卵巢囊腺瘤
作者: ljchenshiying 时间: 2008-6-11 22:56
考虑卵巢巨大囊腺瘤或囊肿。
作者: 长城干红 时间: 2008-6-11 22:57
见过,考虑卵巢巨大囊肿或囊腺瘤。
作者: 玉真 时间: 2008-6-11 23:16
考虑卵巢巨大囊腺瘤或囊肿
作者: 卜一 时间: 2008-6-11 23:19
支持考虑:卵巢巨大囊腺瘤或囊肿!
作者: 沉默是金 时间: 2008-6-11 23:30
标题: 回复:ct13949:f75y,罕见
以下是引用zsl6918在2008-6-11 10:34:00的发言:[br]考虑来源与卵巢的巨大囊腺瘤或囊肿。
作者: 随光逐影 时间: 2008-6-11 23:39
卵巢巨大囊腺瘤可能。
作者: zjzjr 时间: 2008-6-11 23:54
支持来源于卵巢囊腺瘤.
作者: dyqct 时间: 2008-6-12 00:27
考虑来源与卵巢的巨大囊腺瘤或囊肿。支持!
作者: HUSHENGQI 时间: 2008-6-12 01:03
考虑卵巢巨大囊腺瘤或囊肿。
作者: 杀毒软件 时间: 2008-6-12 02:15
标题: 回复:ct13949:f75y,罕见
以下是引用王仕学在2008-6-11 11:25:00的发言:[br]1、考虑卵巢巨大囊腺瘤或囊肿。2、子宫肌瘤不除外。
作者: 拾荒者 时间: 2008-6-12 03:11
考虑来源于卵巢的巨大囊腺瘤;如果是单纯囊肿不知其前部的更低密度区怎么解释?
作者: xulianj 时间: 2008-6-12 04:17
考虑卵巢巨大囊腺瘤或囊肿。
作者: shuqiang1 时间: 2008-6-12 04:24
考虑来源卵巢巨大黏液性囊腺瘤。
作者: hongtao 时间: 2008-6-12 04:33
考虑卵巢巨大囊腺瘤或囊肿
作者: qiuleiyu 时间: 2008-6-12 05:36
标题: 回复:ct13949:f75y,罕见
以下是引用拾荒者在2008-6-11 19:11:00的发言:[br]考虑来源于卵巢的巨大囊腺瘤;如果是单纯囊肿不知其前部的更低密度区怎么解释?
作者: yuhongjun 时间: 2008-6-12 13:30
考虑卵巢巨大囊腺瘤或囊肿
作者: liuzheng_9326 时间: 2008-6-17 02:03
手术结果http://www.radida.com/radinet/read.php?tid=40683
| 欢迎光临 医影在线 (http://bbs.radida.com/bbs/) |
Powered by Discuz! X3.2 |