医影在线

标题: MRI1657:M60Y.头部病例,请讨论 [打印本页]

作者: fxt2347    时间: 2008-6-12 02:23
标题: MRI1657:M60Y.头部病例,请讨论
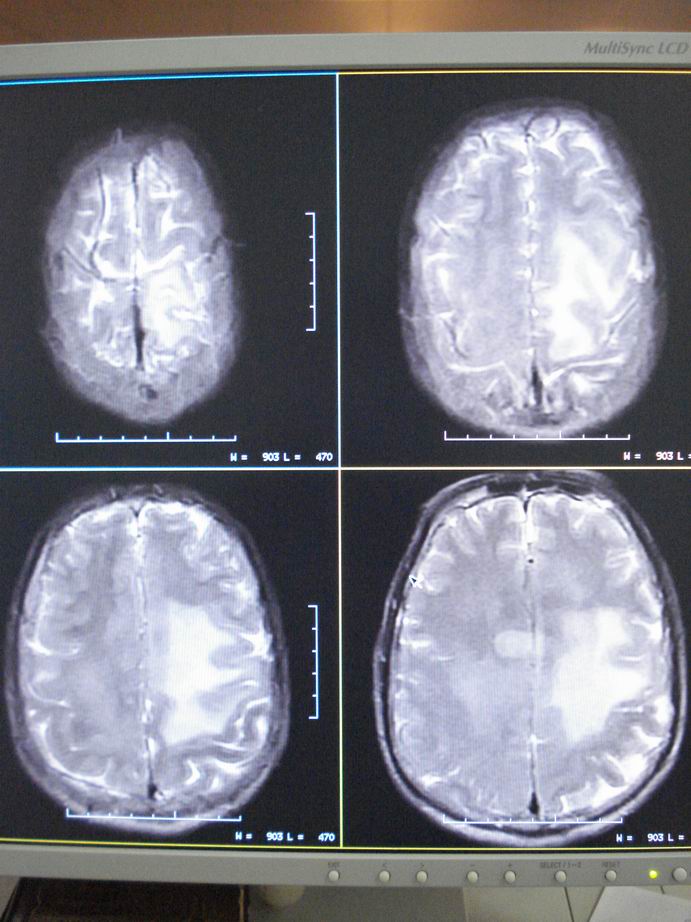
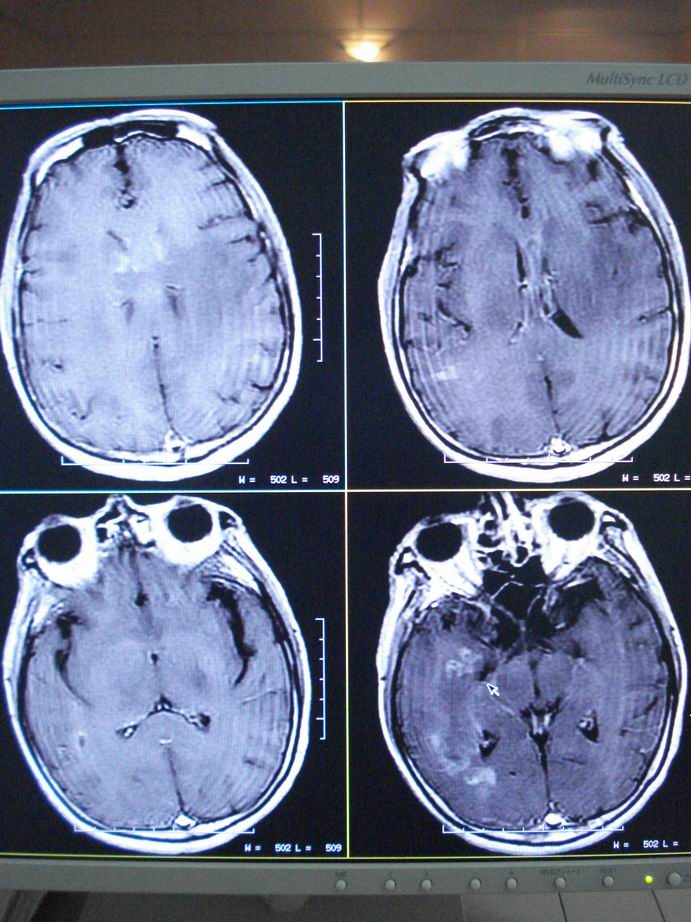
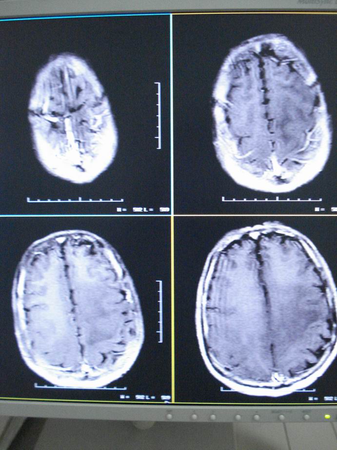
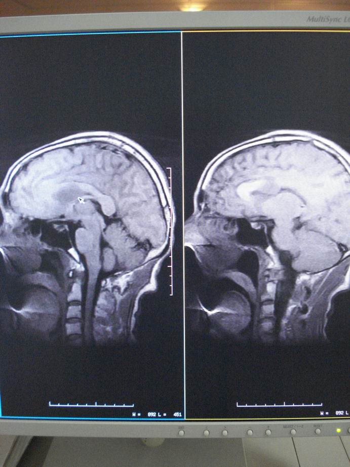
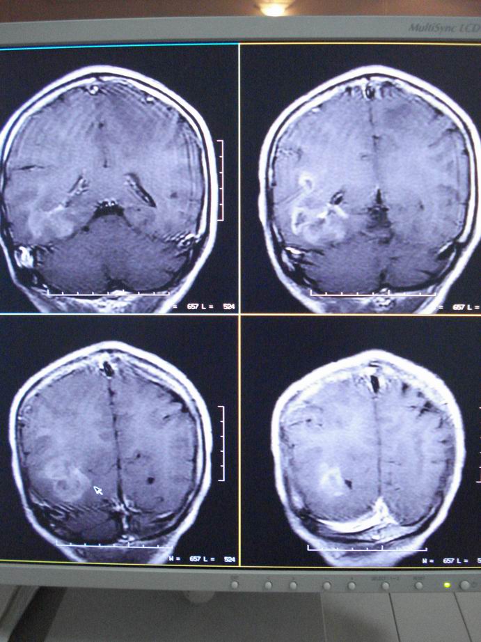
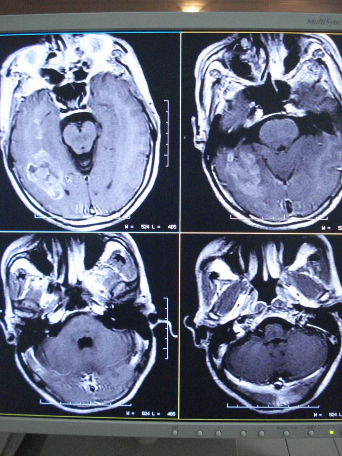
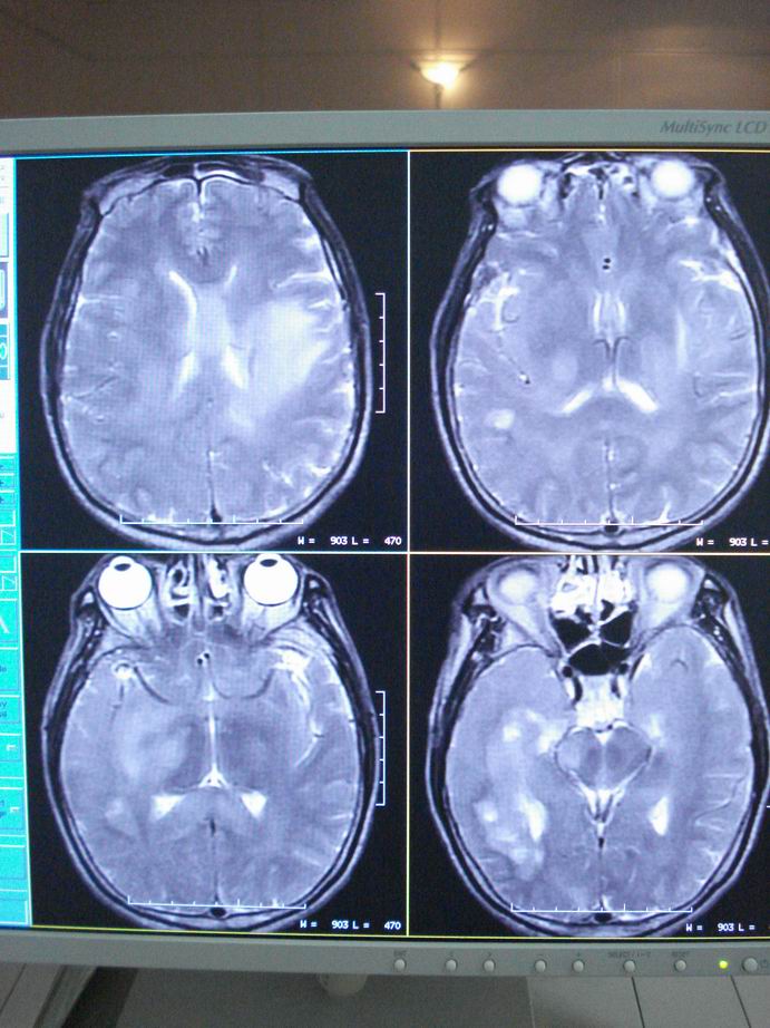
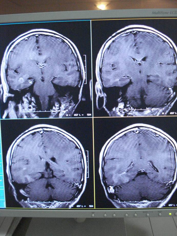
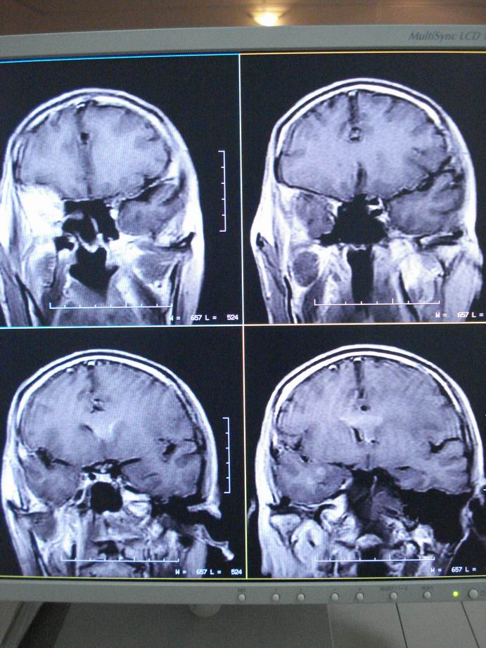
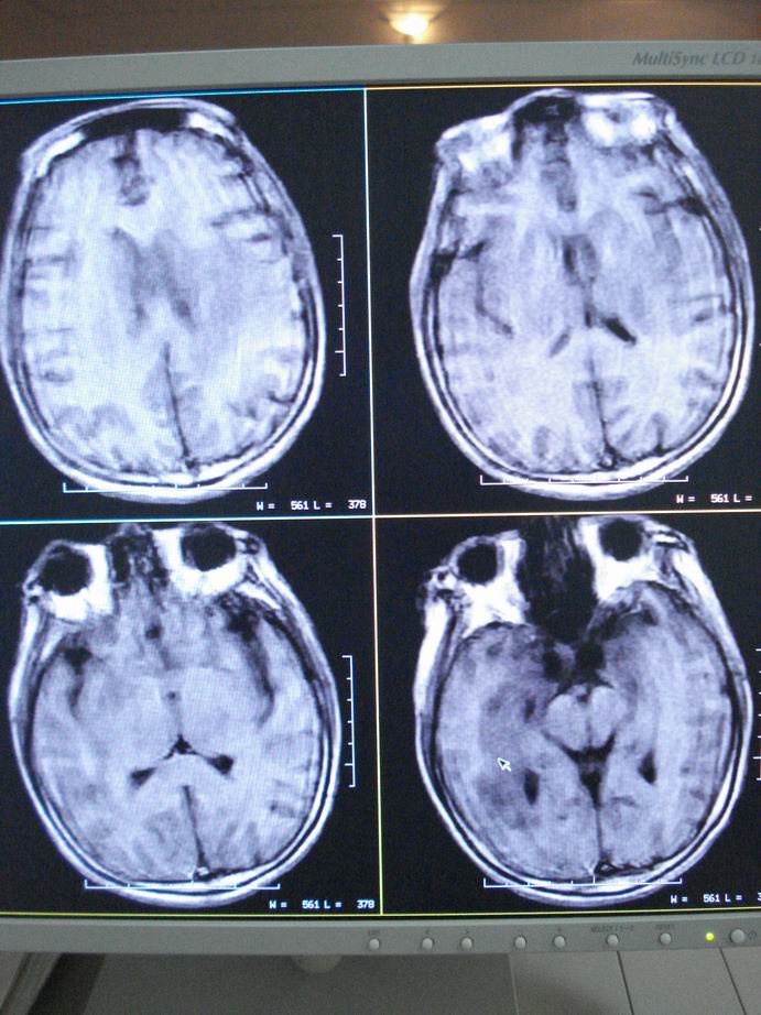
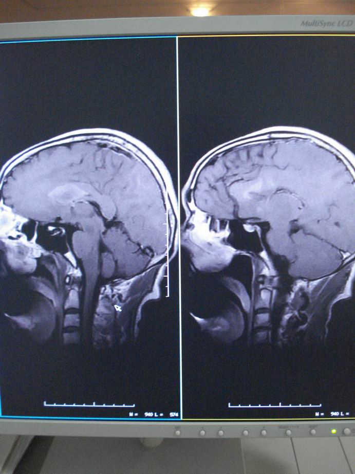
男60岁,左侧肢体乏力及精神异常10天,血压正常,血常规,肝肾功正常,腰穿无异常,请教颅内多发病灶,考虑什么?感染?肿瘤(转移性?)还是其它?                                       


















[本贴已被 jiajie 于 2008-6-11 23:38:55 修改过]

作者: 晓杰    时间: 2008-6-12 04:00
考虑为颅内多发转移瘤
作者: xulianj    时间: 2008-6-12 04:52
脑内多发性转移瘤。
作者: qiuleiyu    时间: 2008-6-12 04:56
淋巴瘤较转移瘤可能大。
作者: 郭凯    时间: 2008-6-12 06:37
支持转移~~~
作者: 358450m    时间: 2008-6-12 15:46
脑内多发性转移瘤。
作者: 卜一    时间: 2008-6-13 00:08
脑内多发性转移瘤。支持!
作者: jiangjing    时间: 2008-6-13 00:48
脑内多发性转移瘤。
作者: 江洋    时间: 2008-6-13 03:29
脑内多发性转移瘤。
作者: gaoshengjiang    时间: 2008-6-13 04:39
脑内多发性转移瘤。zhichi!
作者: zyx168    时间: 2008-6-13 17:46
脑内多发占位性病变,首先考虑感染性病变,其次是转移瘤。

  
   
.
作者: wjh1996    时间: 2008-6-13 17:50
结合病人高龄,考虑转移瘤
作者: 龙在野    时间: 2008-6-15 06:20
支持转移
作者: hqr123    时间: 2008-6-19 09:12
脑内多发性转移瘤




欢迎光临 医影在线 (http://bbs.radida.com/bbs/) Powered by Discuz! X3.2