医影在线
标题: CT13956:请各位同仁,哥们帮会会诊, [打印本页]
作者: fyc 时间: 2008-6-12 03:07
标题: CT13956:请各位同仁,哥们帮会会诊,
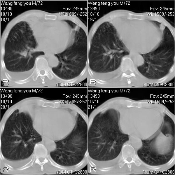
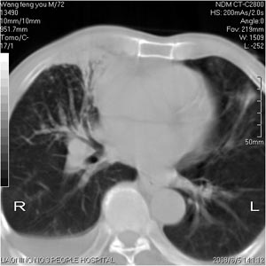
患者:男 72岁 右肩痛半年,近日来咳血,就诊.


















































发的太多了,麻烦大家耐心的看看,给个意见!谢谢了.
[本贴已被 翁志蓬 于 2008-6-11 22:42:11 修改过]
作者: 杀毒软件 时间: 2008-6-12 03:23
右肺中心型肺癌并上叶不张,右侧胸腔积液,做镜检吧.
作者: 大师xcb 时间: 2008-6-12 03:54
右肺中心型肺癌并上叶不张,右侧胸腔积液,做镜检!!!
作者: 深泽交通 时间: 2008-6-12 04:02
标题: 回复:请各位同仁,哥们帮会会诊,
以下是引用杀毒软件在2008-6-11 19:23:00的发言:[br]右肺中心型肺癌并上叶不张,右侧胸腔积液,做镜检吧.
作者: qjq1325 时间: 2008-6-12 04:22
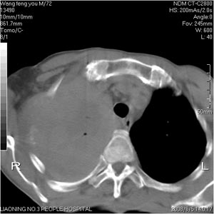
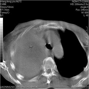
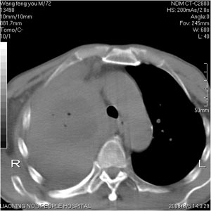
可能右肺癌可能性大,肋骨可能有破坏
作者: shuqiang1 时间: 2008-6-12 04:29
标题: 修改
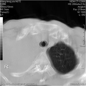
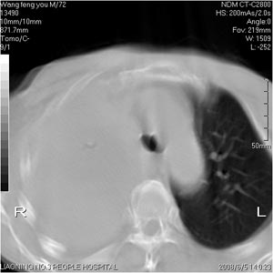
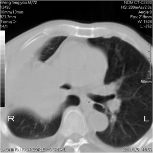
典型右中心型肺癌并右肺上叶不张,左肺转移,右胸腔积液。
[本贴已被 shuqiang1 于 2008-6-11 20:34:53 修改过]
作者: gaoshengjiang 时间: 2008-6-12 04:31
右侧肺癌并肋骨破坏,右侧胸腔积液。
作者: xulianj 时间: 2008-6-12 04:33
典型右中心型肺癌并右肺上叶不张,右侧胸腔积液。
作者: 晓杰 时间: 2008-6-12 04:36
典型右中心型肺癌并右肺上叶不张,右侧胸腔积液。
作者: dyqct 时间: 2008-6-12 04:39
考虑:右肺上叶中心型肺癌伴肺不张、肋骨转移、肩胛骨转移、右侧胸腔积液。
作者: 李衡钧 时间: 2008-6-12 04:40
右侧肺癌并肋骨破坏,右侧胸腔积液。
作者: 龙在野 时间: 2008-6-12 04:46
右肺中心性肺癌伴骨,上纵膈淋巴节,胸腔转移
作者: hlbx126 时间: 2008-6-12 04:48
右肺上叶全叶实变并不张,应为右上叶支气管阻塞所致。7、8层面好象是肋骨破坏。结合临床资料,考虑中央肺癌右上叶阻塞炎病及不张。左肺纤维化灶。右侧胸水。
抽胸水找癌细胞。
作者: 光影★小胖 时间: 2008-6-12 05:04
1.考虑:右肺上叶中央型肺癌并右肺上叶不张及右侧多发肋骨、上纵隔淋巴结及左肺转移。
2.右侧胸腔积液。
作者: 黑白光影 时间: 2008-6-12 05:09
右肺中心型肺癌并上叶不张,右侧胸腔积液,多发性胸廓骨转移。
作者: pujunzhi 时间: 2008-6-12 05:18
考虑右肺上叶中心型肺癌伴肺不张,肋骨转移,右侧胸腔积液。
作者: 同 时间: 2008-6-12 05:21
标题: 回复:请各位同仁,哥们帮会会诊,
以下是引用dyqct在2008-6-11 20:39:00的发言:[br]考虑:右肺上叶中心型肺癌伴肺不张、肋骨转移、肩胛骨转移、右侧胸腔积液。
作者: 随光逐影 时间: 2008-6-12 05:54
考虑 右肺上叶中心型肺癌伴肺不张,多发肋骨转移,胸骨上窝转移;右侧胸腔积液。
作者: zsl6918 时间: 2008-6-12 05:58
右侧肺上沟癌并肋骨转移,累及胸壁及胸膜。
作者: zjzjr 时间: 2008-6-12 06:13
标题: 回复:请各位同仁,哥们帮会会诊,
以下是引用dyqct在2008-6-11 20:39:00的发言:[br]考虑:右肺上叶中心型肺癌伴肺不张、肋骨转移、肩胛骨转移、右侧胸腔积液。
作者: weijing 时间: 2008-6-12 07:46
标题: 回复:ct13956:请各位同仁,哥们帮会会诊,
以下是引用dyqct在2008-6-11 20:39:00的发言:[br]考虑:右肺上叶中心型肺癌伴肺不张、肋骨转移、肩胛骨转移、右侧胸腔积液。
作者: yangwq 时间: 2008-6-12 07:57
右肺上叶中心型肺癌伴肺不张、肋骨、肩胛骨、锁骨上淋巴结、右侧胸膜多发转移。
作者: yangyudong333 时间: 2008-6-12 13:16
考虑:右肺上叶中心型肺癌伴肺不张、肋骨转移、肩胛骨转移、右侧胸腔积液。
作者: yuhongjun 时间: 2008-6-12 13:20
1.考虑:右肺上叶中央型肺癌并右肺上叶不张及右侧多发肋骨、上纵隔淋巴结及左肺转移。
2.右侧胸腔积液。
作者: 宝天曼 时间: 2008-6-12 14:33
典型右中心型肺癌并右肺上叶不张,左肺转移,右胸腔积液
作者: 358450m 时间: 2008-6-12 15:23
典型右中心型肺癌并右肺上叶不张,右侧胸腔积液。
作者: 卜一 时间: 2008-6-12 16:25
典型右中心型肺癌并右肺上叶不张,右侧胸腔积液。
作者: huqi8888 时间: 2008-6-12 16:38
考虑:右肺上叶中心型肺癌伴肺不张、肋骨转移、肩胛骨转移、右侧胸腔积液
作者: 快乐流星 时间: 2008-6-12 17:06
右肺中心型肺癌半肺不张,多发转移
作者: 拾荒者 时间: 2008-6-13 03:43
右肺中心型肺癌并上叶不张,右侧肋骨转移,胸腔积液。
作者: 光影★笑子 时间: 2008-6-13 04:44
标题: 回复:ct13956:请各位同仁,哥们帮会会诊,
1.右肺上叶中心型肺癌伴肺不张,侵犯邻近肋骨。
2.右侧胸腔积液。
| 欢迎光临 医影在线 (http://bbs.radida.com/bbs/) |
Powered by Discuz! X3.2 |