医影在线
标题: PED0834B:(续)少见的好东西,吐血奉献,要求加精。 [打印本页]
作者: 子十 时间: 2008-6-12 19:04
标题: PED0834B:(续)少见的好东西,吐血奉献,要求加精。
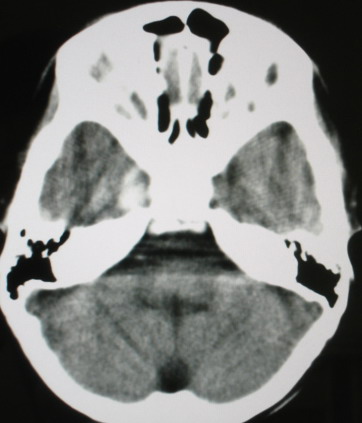
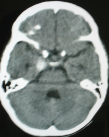
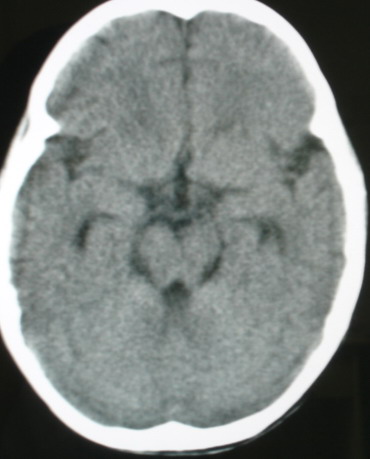
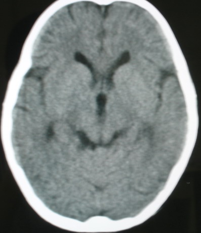
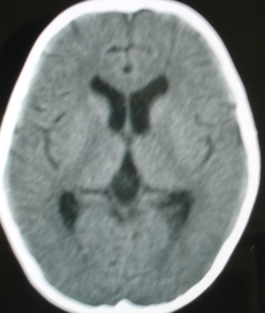
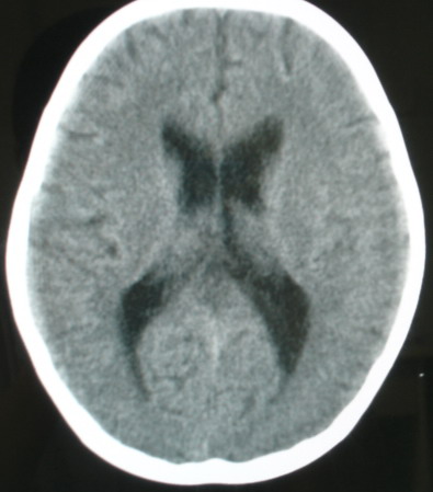
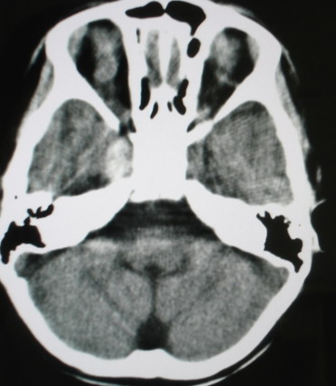
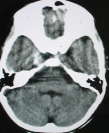
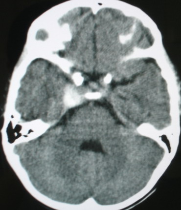
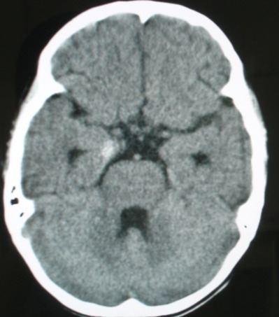
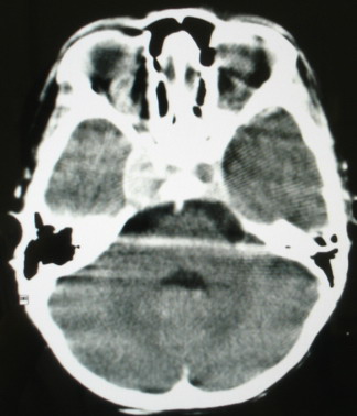
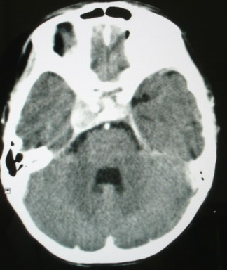
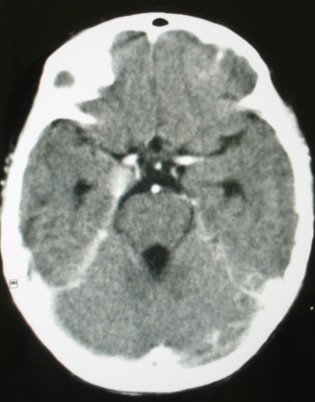
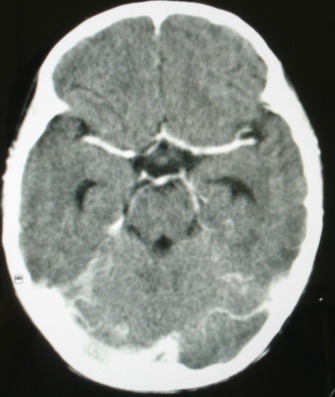
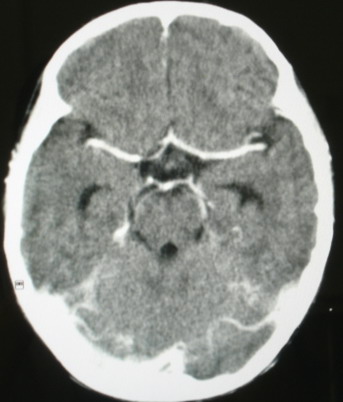
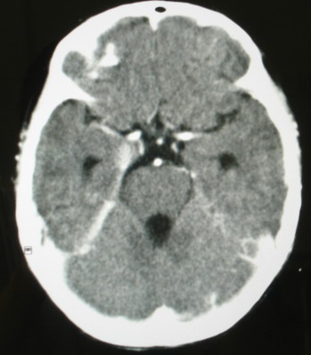
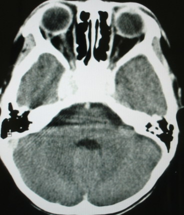
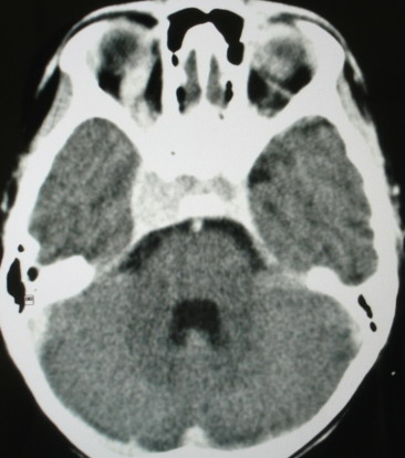
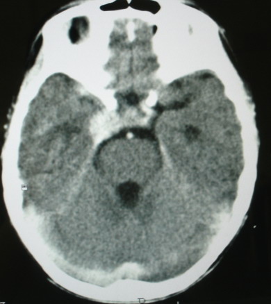
m/8y/,右侧眼睑下垂数日,发育良好,无外伤史,无头痛、恶心、呕吐,学习成绩良好。
ct意见:1、颅内血管畸形。2、右侧海绵窦血管瘤(颈内动脉海绵窦段动脉瘤)。3、脑萎缩。4、建议mr或dsa.
平扫片(骨窗未见异常)










增强片











[本贴已被 jiajie 于 2008-6-12 13:00:12 修改过]
作者: 卜一 时间: 2008-6-12 19:19
支持:颅内血管畸形伴右侧海绵窦血管瘤(颈内动脉海绵窦段动脉瘤)。
作者: 深泽交通 时间: 2008-6-12 19:34
支持海绵窦段动脉瘤;脑萎缩征
作者: zsl6918 时间: 2008-6-12 19:38
建议mri检查
作者: 37度 时间: 2008-6-12 19:50
标题: 回复:少见的好东西,吐血奉献,要求加精。
以下是引用卜一在2008-6-12 11:19:00的发言:[br]支持:颅内血管畸形伴右侧海绵窦血管瘤(颈内动脉海绵窦段动脉瘤)。
作者: 358450m 时间: 2008-6-12 20:02
支持:颅内血管畸形伴右侧海绵窦血管瘤(颈内动脉海绵窦段动脉瘤)。
作者: zjzjr 时间: 2008-6-12 20:56
考虑右侧海绵窦瘘,
作者: jiangjing 时间: 2008-6-13 00:23
右侧海绵窦血管瘤
作者: 沉默是金 时间: 2008-6-13 01:38
标题: 回复:ped0834b:(续)少见的好东西,吐血奉献,要求加精。
以下是引用深泽交通医院在2008-6-12 11:34:00的发言:[br]支持海绵窦段动脉瘤;脑萎缩征
作者: 杀毒软件 时间: 2008-6-13 02:46
支持
作者: 同 时间: 2008-6-13 03:54
右侧海绵窦血管瘤.
作者: lizhjie 时间: 2008-6-13 13:21
标题: kkkkkkkk
海绵窦瘘.注意眶内静脉有扩张.
[本贴已被 lizhjie 于 2008-6-14 4:55:19 修改过]
作者: LIAOQIANG 时间: 2008-6-13 18:48
右侧海绵窦血管瘤伴右侧海绵窦漏形成(由于右眼上静脉较左侧增粗。故考虑)。
作者: 随光逐影 时间: 2008-6-14 03:23
支持 右侧颈内动脉海绵窦瘘.注意眶内静脉有扩张.
作者: 312nanyang 时间: 2008-6-14 19:56
标题: 回复:ped0834b:(续)少见的好东西,吐血奉献,要求加精。
以下是引用liaoqiang在2008-6-13 10:48:00的发言:[br]右侧海绵窦血管瘤伴右侧海绵窦漏形成(由于右眼上静脉较左侧增粗。故考虑)。
作者: 王仕学 时间: 2008-6-15 05:24
右侧海绵窦血管瘤
作者: hexue 时间: 2008-6-16 07:33
标题: 回复:ped0834b:(续)少见的好东西,吐血奉献,要求加精。
右侧海绵窦血管瘤.
作者: dyqct 时间: 2008-6-16 18:15
标题: 回复:ped0834b:(续)少见的好东西,吐血奉献,要求加精。
以下是引用liaoqiang在2008-6-13 10:48:00的发言:[br]右侧海绵窦血管瘤伴右侧海绵窦漏形成(由于右眼上静脉较左侧增粗。故考虑)。
支持!
作者: jiangjing 时间: 2008-6-16 23:51
血管病变请作mri检查
作者: 蓝星 时间: 2008-6-17 06:35
支持海绵窦段动脉瘤;脑萎缩征
作者: yangyudong333 时间: 2008-6-17 20:26
支持 右侧颈内动脉海绵窦瘘.注意眶内静脉有扩张.
作者: wymnet 时间: 2008-6-18 03:25
支持 右侧颈内动脉海绵窦瘘.
建议mri
作者: 358450m 时间: 2008-7-4 09:51
标题: 回复:ped0834b:(续)少见的好东西,吐血奉献,要求加精。
以下是引用深泽交通医院在2008-6-12 11:34:00的发言:[br]支持海绵窦段动脉瘤;脑萎缩征
| 欢迎光临 医影在线 (http://bbs.radida.com/bbs/) |
Powered by Discuz! X3.2 |