











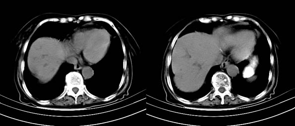
以下是引用杀毒软件在2008-6-12 19:13:00的发言:[br]肝脓肿,总胆管---十2指肠瘘
以下是引用358450m在2008-6-12 19:13:00的发言:[br]胆囊及其周围肝脏的脓肿引起胃肠道穿孔 并与肝脏形成瘘道 [br] [br]
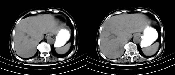
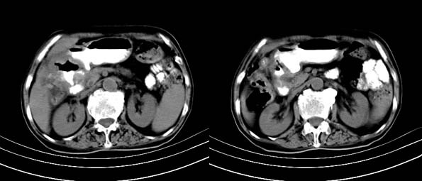
以下是引用bailaode在2008-6-12 22:10:00的发言:[br]资料中未提及患者有无急腹症体征,这个很重要。[br] ct表现:肝内境界模糊之低密度灶,内有含对比剂之液气平面.(提示肝内病灶与胃肠道沟通) [br] 1、根据“长城干红 ”所提供的资料“患者,女,74岁,黑便月余,消瘦,一般状况差,白细胞1万四千”,是否可认为是个慢性病程?那么我首先考虑:十二指肠结核,十二指肠--胆管瘘,继发胆道逆行感染肝脓肿形成。[br] 2、如有急腹症体征则考虑:十二指肠溃疡穿孔?十二指肠占位伴穿孔?
以下是引用zjzjr在2008-6-13 8:41:00的发言:[br]支持十二指肠溃疡或憩室空孔所致
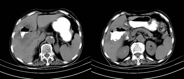
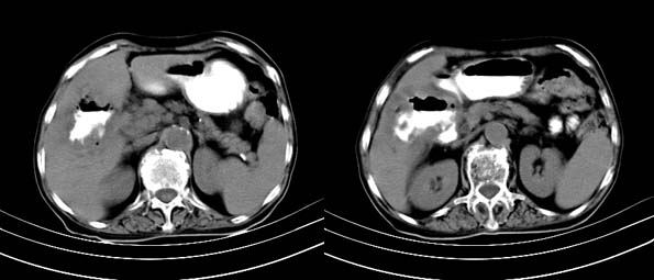
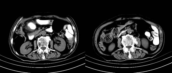
以下是引用拾荒者在2008-6-13 22:13:00的发言:[br]病灶与升结肠、肝脏及十二指肠关系密切,且结肠降段见造影剂影,支持结肠与十二指肠瘘形成,原因及原发病在哪不好定,不过,虽说有风险,但还是应该手术治疗,单纯抗感染估计不行。
| 欢迎光临 医影在线 (http://bbs.radida.com/bbs/) | Powered by Discuz! X3.2 |