



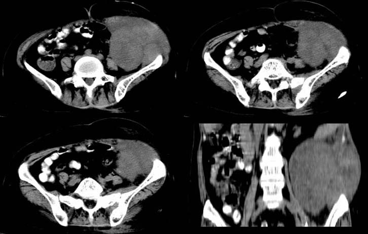
以下是引用gaoshengjiang在2008-6-12 20:23:00的发言:[br]考虑来源腹壁肌肉的纤维肉瘤可能。
以下是引用312nanyang在2008-6-12 21:39:00的发言:[br]考虑为来源于腹壁的肿瘤,恶性可能性大。左侧输尿管上段积水
以下是引用312nanyang在2008-6-12 21:39:00的发言:[br]考虑为来源于腹壁的肿瘤,恶性可能性大。左侧输尿管上段积水
以下是引用gaoshengjiang在2008-6-12 20:23:00的发言:[br]考虑来源腹壁肌肉的纤维肉瘤可能。
以下是引用zsl6918在2008-6-12 20:32:00的发言:[br]符合来源于腹壁的恶性肿瘤。
以下是引用qian在2008-6-12 20:27:00的发言:[br]肿块的最大直径位于左侧腹壁,肿块内的密度不均匀,与腹腔内的脏器的界限清楚,考虑为恶性病变,纤维肉瘤可能大。
| 欢迎光临 医影在线 (http://bbs.radida.com/bbs/) | Powered by Discuz! X3.2 |