医影在线

标题: CT13990:女性56岁 盆腔包块 [打印本页]

作者: yuefengshen    时间: 2008-6-13 07:20
标题: CT13990:女性56岁 盆腔包块
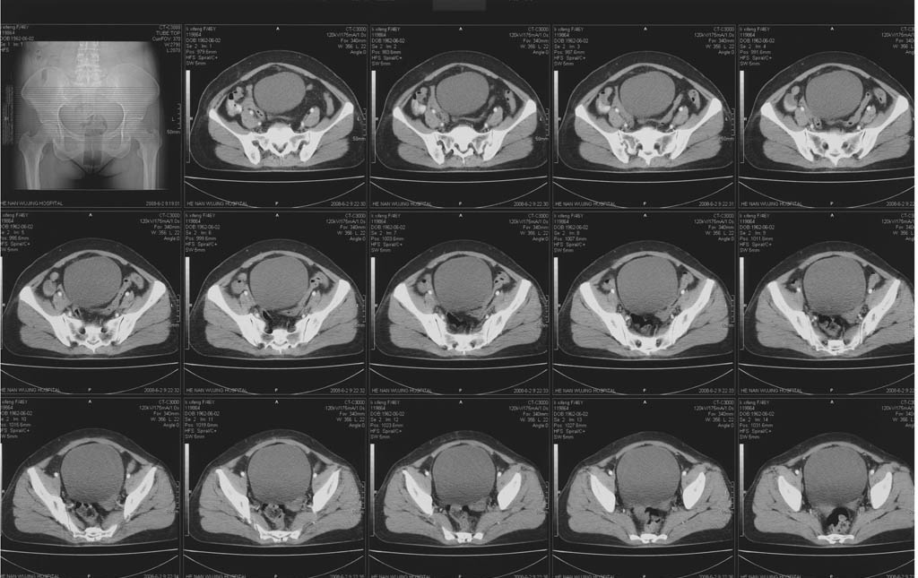
5年前子宫肌瘤 子宫切除,2年前整个下腹痛2周余病因不名,2008年5月底再次左下腹痛行ct,6月2日ct增强,请指教







[本贴已被 jiajie 于 2008-6-13 6:09:34 修改过]

作者: 守望可可    时间: 2008-6-13 09:46
  不知道子宫切除术式是怎么样的?我看宫颈是健全的,子宫体下部部分残留,应该属于次全切吧?
  我考虑是位于残留子宫体部的左侧又重新复发了一个肌瘤,中间似有坏死,b超或者彩超进一步检查吧!
作者: lizhjie    时间: 2008-6-13 13:10
肠管吧?
作者: 358450m    时间: 2008-6-13 15:19
不知道子宫切除术式是怎么样的?我看宫颈是健全的,子宫体下部部分残留,应该属于次全切吧?
  我考虑是位于残留子宫体部的左侧又重新复发了一个肌瘤,中间似有坏死,b超或者彩超进一步检查吧!
作者: 狙击手    时间: 2008-6-13 16:47
增强看未见明显异常,楼主所指考虑是肠管影。
作者: zjzjr    时间: 2008-6-13 16:56
结肠影.
作者: xulianj    时间: 2008-6-13 17:14
肠管影可能大
作者: 子十    时间: 2008-6-13 17:32
标题: 回复:ct13990:女性56岁 盆腔包块
以下是引用xulianj在2008-6-13 9:14:00的发言:[br]肠管影可能大

作者: qiu999    时间: 2008-6-13 18:17
肠管的断端还是宫颈后的残留?建议还是ct增强或彩超进一步检查.
作者: 深泽交通    时间: 2008-6-13 18:52
标题: 回复:ct13990:女性56岁 盆腔包块
以下是引用狙击手在2008-6-13 8:47:00的发言:[br]增强看未见明显异常,楼主所指考虑是肠管影。

作者: 宇宙CT    时间: 2008-6-13 19:41
增强看未见明显异常,楼主所指考虑是肠管影
作者: zsl6918    时间: 2008-6-13 19:43
未见明显异常,建议妇科检查,帮助明确
作者: qiuleiyu    时间: 2008-6-13 19:45
请详问病史,不除外左侧附件区占位。
作者: jiangjing    时间: 2008-6-13 19:48
增强看未见明显异常
作者: yangyudong333    时间: 2008-6-13 20:03
肠管影可能大
作者: dr.yang    时间: 2008-6-13 23:30
次全切除!子宫肌瘤复发。
作者: dyqct    时间: 2008-6-14 00:16
可能为肠管影,建议肠道准备后增强进一步检查。
作者: 杀毒软件    时间: 2008-6-14 02:17
增强看
作者: yuefengshen    时间: 2008-6-14 05:39
后面的图像就是增强的啊,包块下部还有细小的钙化点
作者: 守望可可    时间: 2008-6-14 07:58
标题: 回复:ct13990:女性56岁 盆腔包块

作者: 拾荒者    时间: 2008-6-15 05:02
是肠管影还是残留子宫子宫肌瘤复发可充分肠道准备后复查鉴别,也可结合b超检查。




欢迎光临 医影在线 (http://bbs.radida.com/bbs/) Powered by Discuz! X3.2