






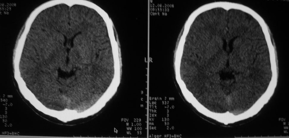
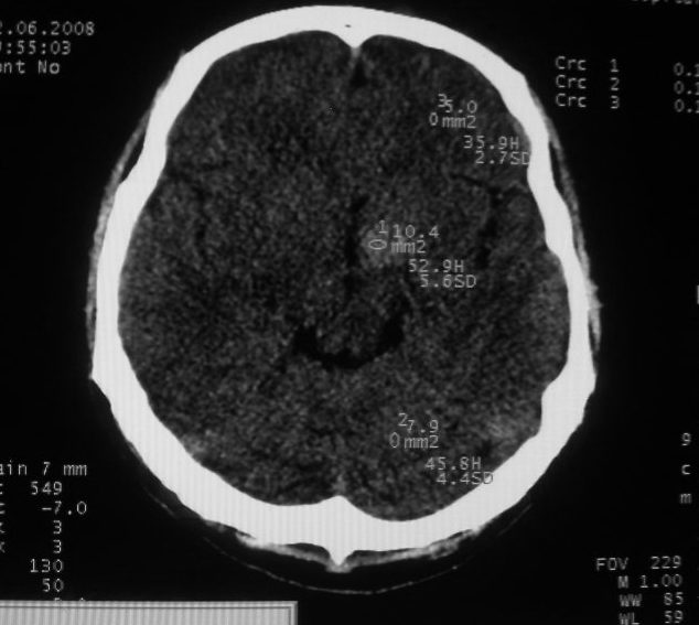
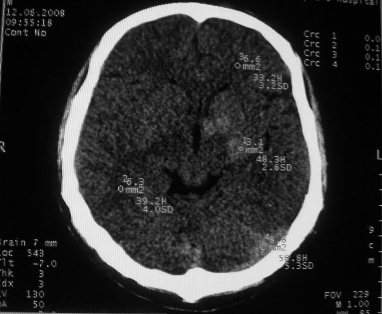
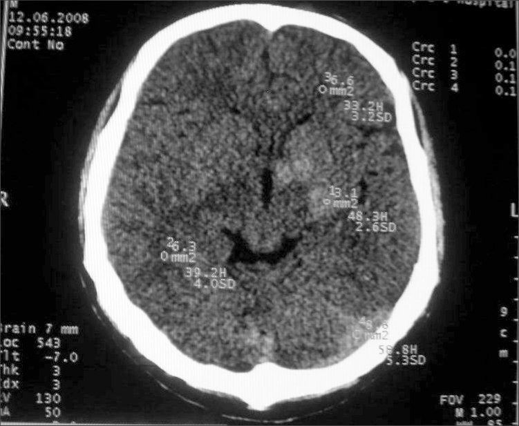
以下是引用守望可可西里在2008-6-13 1:25:00的发言:[br][br] 1.双侧大脑中动脉高密度踌型样接近于全程显示,部分大脑前动脉、基底动脉也呈高密度改变。[br] 2.右侧基底节多发类圆形ct值接近于出血的高密度,边缘模糊。双侧小脑幕及直窦、上矢状窦增宽、模糊。左侧横窦和乙状窦区密度增高、呈云雾状,内缘模糊。[br] 如果这样的表现发生在一个老年人脑部,我们首先会想到是高血压、动脉粥样硬化,就可以很容易得出结论。但这发生在一个20岁年青人的身上,且病程长达半年、临床症状不怎么重,这就比较蹊跷且应该引起高度重视了。[br] 我认为此病人应该是一个血液病患者--双侧大脑中动脉、部分大脑前动脉及基底动脉的高密度改变,只是一个假象:即相对于ct值偏低,只有35的脑灰质而言的相对高密度。而那么多出血改变,则是真正的病变表现。[br] 建议临床进一步进行其他相关的血液、骨髓检查,肝、脾也应该好好检查,应有明显的肿大。

以下是引用zwz在2008-6-13 9:13:00的发言:[br]考虑血管畸形可能,建议增强
以下是引用zjzjr在2008-6-13 8:59:00的发言:[br]考虑血管瘤可能性大,建议增强.
| 欢迎光临 医影在线 (http://bbs.radida.com/bbs/) | Powered by Discuz! X3.2 |