医影在线

标题: CT13993:胸部CT平扫加增强及左肱骨CT平扫,请会诊! [打印本页]

作者: 林建春d    时间: 2008-6-13 21:05
标题: CT13993:胸部CT平扫加增强及左肱骨CT平扫,请会诊!
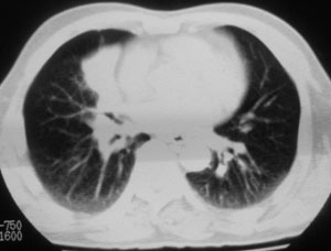
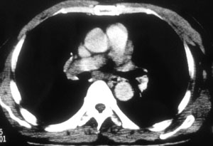
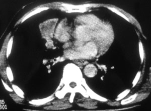
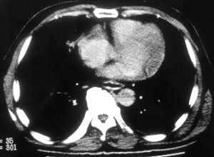
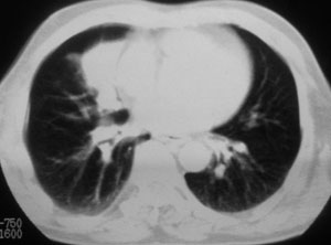
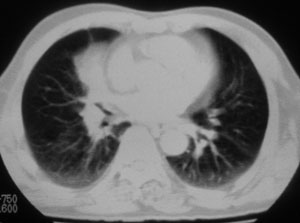
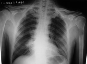
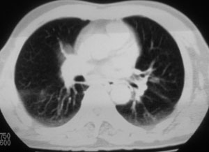
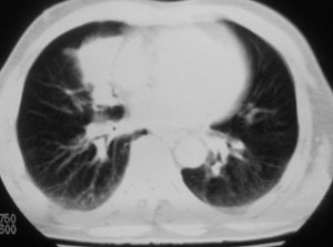
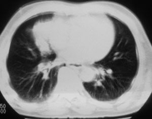
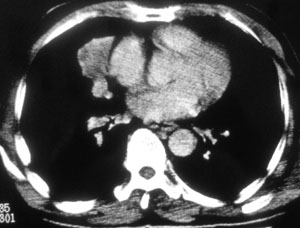
性别 男  62岁 因咳嗽及左肱骨剧烈痛疼数天来院检查。


































[本贴已被 翁志蓬 于 2008-6-13 23:47:15 修改过]

作者: hlbx126    时间: 2008-6-13 21:12
右中央型肺癌并肱骨转移。
作者: 358450m    时间: 2008-6-13 22:10
右中央型肺癌并肱骨转移。
作者: shuqiang1    时间: 2008-6-13 22:36
支持右肺癌并肱骨转移!
作者: 深泽交通    时间: 2008-6-13 23:03
标题: 回复:胸部ct平扫加增强及左肱骨ct平扫,请会诊!
以下是引用hlbx126在2008-6-13 13:12:00的发言:[br]右中央型肺癌并肱骨转移。

作者: LIAOQIANG    时间: 2008-6-13 23:32
考虑右肺中叶肺癌并左肱骨转移伴病理性骨折。
作者: 不学无术    时间: 2008-6-13 23:52
支持右肺中心型肺癌并肺内及左肱骨转移伴病理性骨折
作者: dyqct    时间: 2008-6-13 23:56
考虑右肺中叶肺癌并左肱骨转移伴病理性骨折。
作者: LIAIZHI    时间: 2008-6-14 00:22
标题: 回复:胸部ct平扫加增强及左肱骨ct平扫,请会诊!
以下是引用dyqct在2008-6-13 15:56:00的发言:[br]考虑右肺中叶肺癌并左肱骨转移伴病理性骨折。

作者: 卜一    时间: 2008-6-14 00:35
右中央型肺癌并肱骨转移。支持!
作者: 王2008    时间: 2008-6-14 01:17
支持右肺中心型肺癌并肺内及左肱骨转移伴病理性骨折。
作者: WZR    时间: 2008-6-14 01:39
支持右肺癌并肱骨转移!
作者: hjk    时间: 2008-6-14 01:58
支持
作者: 杀毒软件    时间: 2008-6-14 02:18
典型
作者: zhengfaming    时间: 2008-6-14 02:26
右侧中心型肺癌并左侧肱骨骨转移病理性骨折存在
作者: 随光逐影    时间: 2008-6-14 02:47
支持 右肺中叶肺癌并左肱骨转移伴病理性骨折。
作者: 光影★小胖    时间: 2008-6-14 03:59
支持 右肺中叶肺癌并左肱骨转移伴病理性骨折。
作者: zsl6918    时间: 2008-6-14 05:51
肺癌骨转移
作者: tao772    时间: 2008-6-14 05:59
右肺中心型肺癌伴左侧肱骨转移瘤。
作者: 拾荒者    时间: 2008-6-15 05:17
右肺中心型肺癌并中叶不张,左肱骨溶骨性转移并病理骨折。




欢迎光临 医影在线 (http://bbs.radida.com/bbs/) Powered by Discuz! X3.2