



























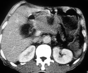
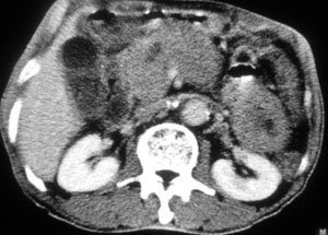
以下是引用liaoqiang在2008-6-13 15:20:00的发言:[br]1胰头区域肿块,胰管和胆管轻度扩张。肿块包绕肠系膜上静脉。考虑胰头癌可能性大。2胃底部壁增厚。
以下是引用liaizhi在2008-6-13 16:15:00的发言:[br]考虑胰头癌可能性大(胰头增大,胆囊增大,胰尾部及胆总管扩张.)胃大弯部胃壁增厚.胃占位?
以下是引用liaoqiang在2008-6-13 15:20:00的发言:[br]1胰头区域肿块,胰管和胆管轻度扩张。肿块包绕肠系膜上静脉。考虑胰头癌可能性大。2胃底部壁增厚。
以下是引用liaoqiang在2008-6-13 15:20:00的发言:[br]1胰头区域肿块,胰管和胆管轻度扩张。肿块包绕肠系膜上静脉。考虑胰头癌可能性大。2胃底部壁增厚。
| 欢迎光临 医影在线 (http://bbs.radida.com/bbs/) | Powered by Discuz! X3.2 |