医影在线

标题: CT14004:腹部CT [打印本页]

作者: wxq2008    时间: 2008-6-14 02:49
标题: CT14004:腹部CT
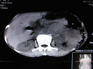
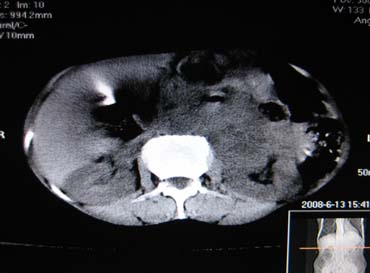
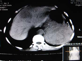
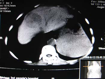
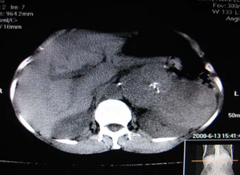
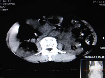
女,65岁,左上腹痛。














[本贴已被 翁志蓬 于 2008-6-13 23:35:36 修改过]

作者: 朱亮    时间: 2008-6-14 03:09
肝脏占位  脾脏及胰腺病变   请提供病史
作者: 37度    时间: 2008-6-14 03:13
肝脾胃左肾胰都显示不正常啊
作者: 358450m    时间: 2008-6-14 03:15
肝脏占位  脾脏及胰腺病变   请提供病史
作者: 杀毒软件    时间: 2008-6-14 03:24
mri检查吧
作者: 长城干红    时间: 2008-6-14 03:46
病史不详,肝、脾、胰都有占位,谁是原发?
作者: 光影★小胖    时间: 2008-6-14 04:22
淋巴瘤及肝癌(转移瘤?)可不可以不用一元论解释呢。
作者: gaoshengjiang    时间: 2008-6-14 04:37
肝脏占位  脾脏及胰腺病变,期待结果。
作者: 同    时间: 2008-6-14 04:59
肝脏 脾脏 胰腺都有病变.
作者: dyqct    时间: 2008-6-14 05:03
建议增强扫描进一步检查。
作者: huqi8888    时间: 2008-6-14 05:05
建议增强扫描进一步检查或mri检查。
作者: lxc2325    时间: 2008-6-14 05:07
肝脏占位  脾脏及胰腺病变
是不是淋巴瘤
作者: huenhao    时间: 2008-6-14 05:08
增强或mri检查
作者: lrj    时间: 2008-6-14 05:24
胰腺癌伴脾脏侵犯并肝内转移可能性大  建议增强扫描  否则没有确凿的依据
作者: zsl6918    时间: 2008-6-14 05:27
资料质量不能明确诊断
作者: jsgdoctor    时间: 2008-6-14 06:04
考虑姨尾癌,腹膜后转移\\肝转移
作者: tianxuwei    时间: 2008-6-14 06:14
没有病史,没有强化,那就只有猜了,我看病灶很像肝、脾及腹腔多发脓肿,这只是我的意见,
作者: 影像孺子牛    时间: 2008-6-14 07:11
增强后再下结论。
作者: 宇宙CT    时间: 2008-6-14 07:28
建议增强扫描进一步检查。
作者: zjzjr    时间: 2008-6-14 17:09
图像欠清,病灶与胃脾胰肾上腺关系显示欠清,建议增强,肝脏考虑转移瘤.
作者: xulianj    时间: 2008-6-14 20:08
肝、脾、胰都有占位,建议增强。
作者: qc80012345    时间: 2008-6-14 21:45
建议增强。
作者: pujunzhi    时间: 2008-6-14 22:59
建议增强扫描进一步检查。
作者: 拾荒者    时间: 2008-6-15 06:15
多脏器占位,腹膜后淋巴结增大,淋巴瘤?建议增强扫描
作者: jinguoji    时间: 2008-6-15 07:09
建议增强扫描进一步检查。




欢迎光临 医影在线 (http://bbs.radida.com/bbs/) Powered by Discuz! X3.2