医影在线

标题: CT14027:男性病人 71岁 咳嗽咳痰数周. [打印本页]

作者: syfszcw    时间: 2008-6-15 00:37
标题: CT14027:男性病人 71岁 咳嗽咳痰数周.
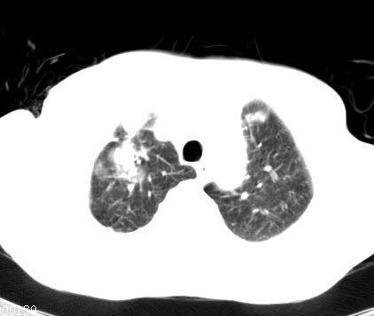
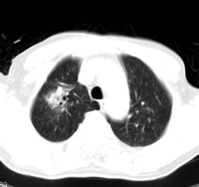
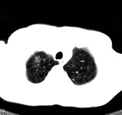
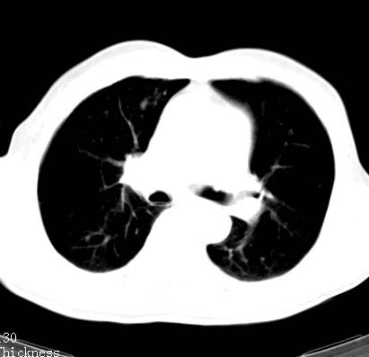
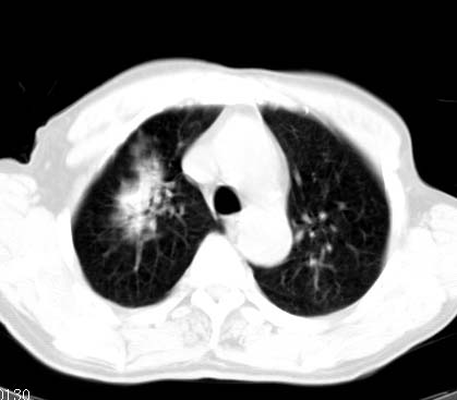
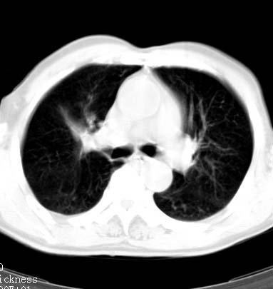
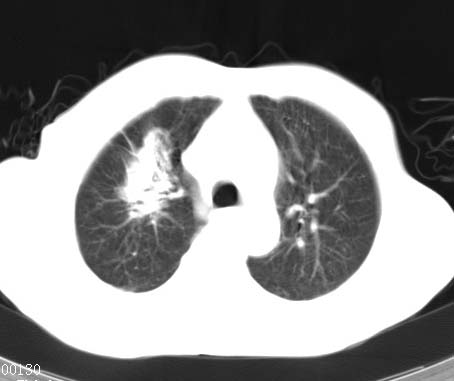
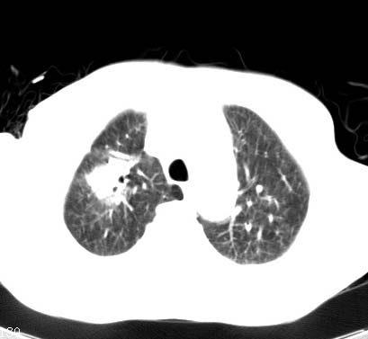
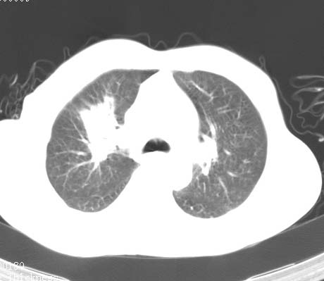
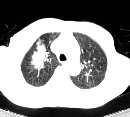
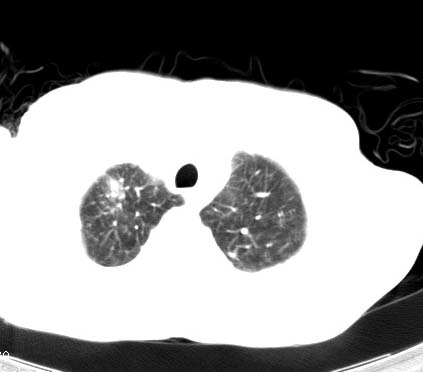
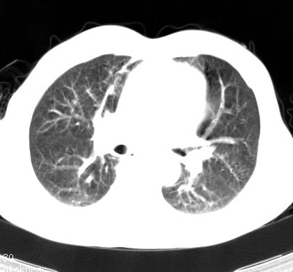
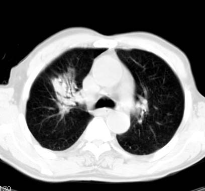
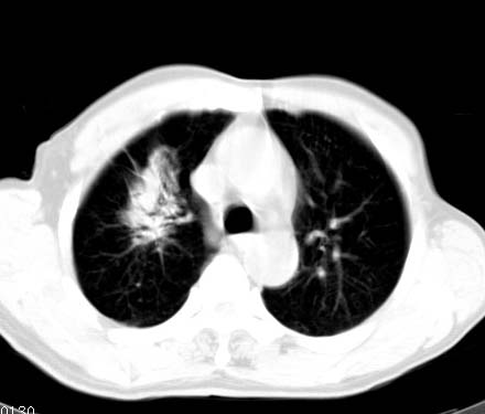
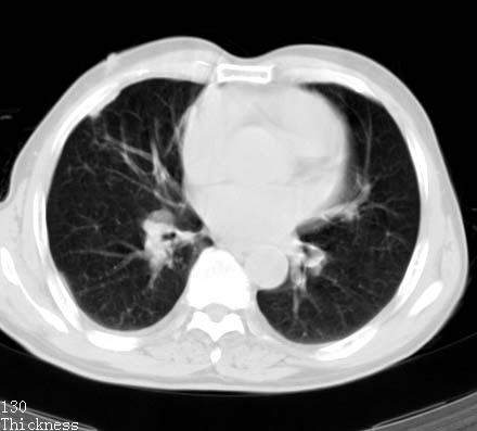
男性病人 71岁 咳嗽咳痰数周.诊断结核应该有保障吧!





















[本贴已被 jiajie 于 2008-6-14 16:38:15 修改过]

作者: 深泽交通    时间: 2008-6-15 00:41
支持tb
作者: 子十    时间: 2008-6-15 01:05
标题: 回复:ct14027:男性病人 71岁 咳嗽咳痰数周.
以下是引用深泽交通医院在2008-6-14 16:41:00的发言:[br]支持tb

bu chu wai qi ta
作者: 朱亮    时间: 2008-6-15 01:27
诊断结核应该没有问题
作者: LIAIZHI    时间: 2008-6-15 01:33
支持楼主.
作者: ydx_74    时间: 2008-6-15 01:42
支持tb诊断。还是带点尾巴啊,70多岁老人!
作者: 同    时间: 2008-6-15 01:48
支持楼主诊断意见.
作者: 卜一    时间: 2008-6-15 01:58
支持楼主!
作者: xulianj    时间: 2008-6-15 02:08
支持楼主!
作者: 杀毒软件    时间: 2008-6-15 02:09
支持楼主
作者: jsgdoctor    时间: 2008-6-15 04:27
结核是要考虑,但肺癌也不能排除.
作者: qingjing    时间: 2008-6-15 04:34
右上肺结核,请结合痰检除外活动期;右上叶支气管官腔狭窄建议支气管镜或抗僗后随诊除外堵塞性改变。
作者: shiqingfa    时间: 2008-6-15 04:45
支持楼主.
作者: 王仕学    时间: 2008-6-15 05:03
支持楼主!
作者: jinguoji    时间: 2008-6-15 05:35
支持楼主意见。
作者: lxq2000    时间: 2008-6-15 05:39
支持楼主!
作者: zsl6918    时间: 2008-6-15 05:43
高度怀疑肺癌,强烈要求纤支镜检查。
作者: dyqct    时间: 2008-6-15 23:10
支持双上肺继发性肺结核。
作者: 拾荒者    时间: 2008-6-16 03:59
首先考虑结核。
作者: zjzjr    时间: 2008-6-16 21:17
支持双上肺继发性肺结核。
作者: yangwq    时间: 2008-6-16 22:04
tb应无悬念




欢迎光临 医影在线 (http://bbs.radida.com/bbs/) Powered by Discuz! X3.2