医影在线

标题: CT14028:M59Y,这两例两下肺病变相同吗? [打印本页]

作者: 52yingxiang    时间: 2008-6-15 00:39
标题: CT14028:M59Y,这两例两下肺病变相同吗?
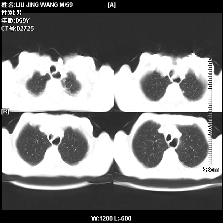
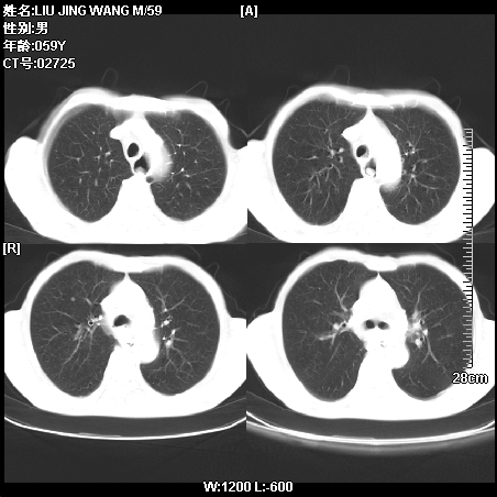
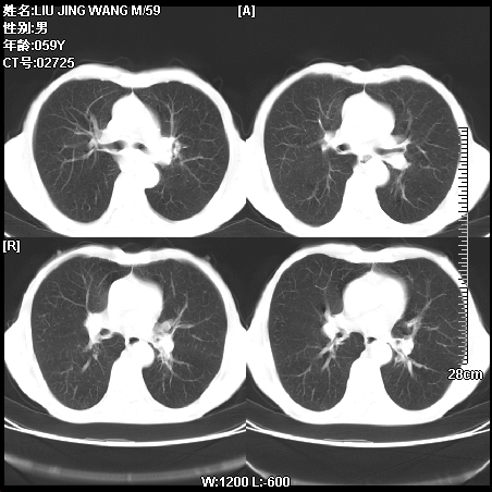
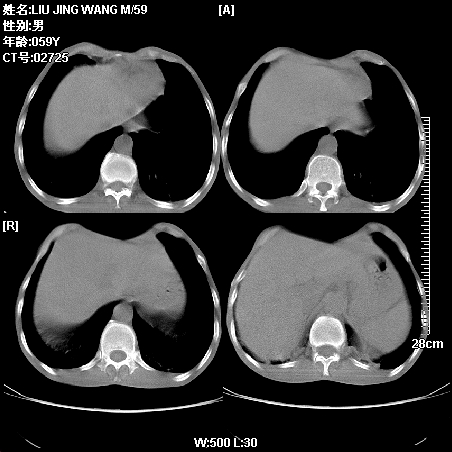
肿瘤科住院病人,都有食管癌史,都有放化疗治疗,两下肺病变是转移灶?还是其他原因造成?请老师指点
病例一 现呼吸困难,经抢救多次,咳嗽咳痰,发现食管癌2个多月












病例二 食管癌4个月,咳嗽咳痰,呼吸困难











[本贴已被 jiajie 于 2008-6-14 19:59:42 修改过]

作者: 子十    时间: 2008-6-15 01:10
duo kao lv wei gan ran.
作者: LIAIZHI    时间: 2008-6-15 01:29
考虑放射性肺炎可能性大.
作者: 358450m    时间: 2008-6-15 01:40
考虑放射性肺炎
作者: ydx_74    时间: 2008-6-15 01:44
放射性肺炎
作者: 同    时间: 2008-6-15 01:50
考虑放射肺炎可能性大.
作者: 卜一    时间: 2008-6-15 01:57
放射性肺炎!
作者: 杀毒软件    时间: 2008-6-15 02:06
支持考虑放射肺炎可能性大
作者: 深泽交通    时间: 2008-6-15 02:07
放射肺炎考虑;肺底阴影不能除外气---食管瘘
作者: xulianj    时间: 2008-6-15 02:20
考虑肺炎
作者: maqingya    时间: 2008-6-15 02:36
放射性肺炎
作者: huqi8888    时间: 2008-6-15 02:36
考虑肺炎
作者: hjk    时间: 2008-6-15 03:04
符合放射性肺炎
作者: 当当涛涛    时间: 2008-6-15 03:10
支持以上意见,放射性肺炎
作者: qingjing    时间: 2008-6-15 04:29
第一个病例我感觉不是转移,第二个是个放射性肺炎;但两个都有纵隔淋巴结肿大,以第二个为主;请楼主参考
作者: 玉真    时间: 2008-6-15 04:36
符合放射性肺炎
作者: shiqingfa    时间: 2008-6-15 04:44
符合放射性肺炎,第一例不除外坠积效应
作者: jinguoji    时间: 2008-6-15 05:38
支持考虑放射肺炎可能性大。
作者: zsl6918    时间: 2008-6-15 06:06
多应该考虑机遇性感染
作者: dsl555    时间: 2008-6-15 06:11
支持考虑放射肺炎可能性大
作者: dyqct    时间: 2008-6-15 23:08
支持考虑放射肺炎可能性大。
作者: 拾荒者    时间: 2008-6-16 04:05
考虑放射性肺炎。
作者: wqs571018    时间: 2008-6-16 04:37
支持考虑放射性肺炎可能,例一考虑癌复发。
作者: zjzjr    时间: 2008-6-16 21:15
支持考虑放射肺炎可能性大。




欢迎光临 医影在线 (http://bbs.radida.com/bbs/) Powered by Discuz! X3.2