医影在线

标题: CT14030:M17Y,腮旁肿块。 [打印本页]

作者: lczeng    时间: 2008-6-15 02:02
标题: CT14030:M17Y,腮旁肿块。
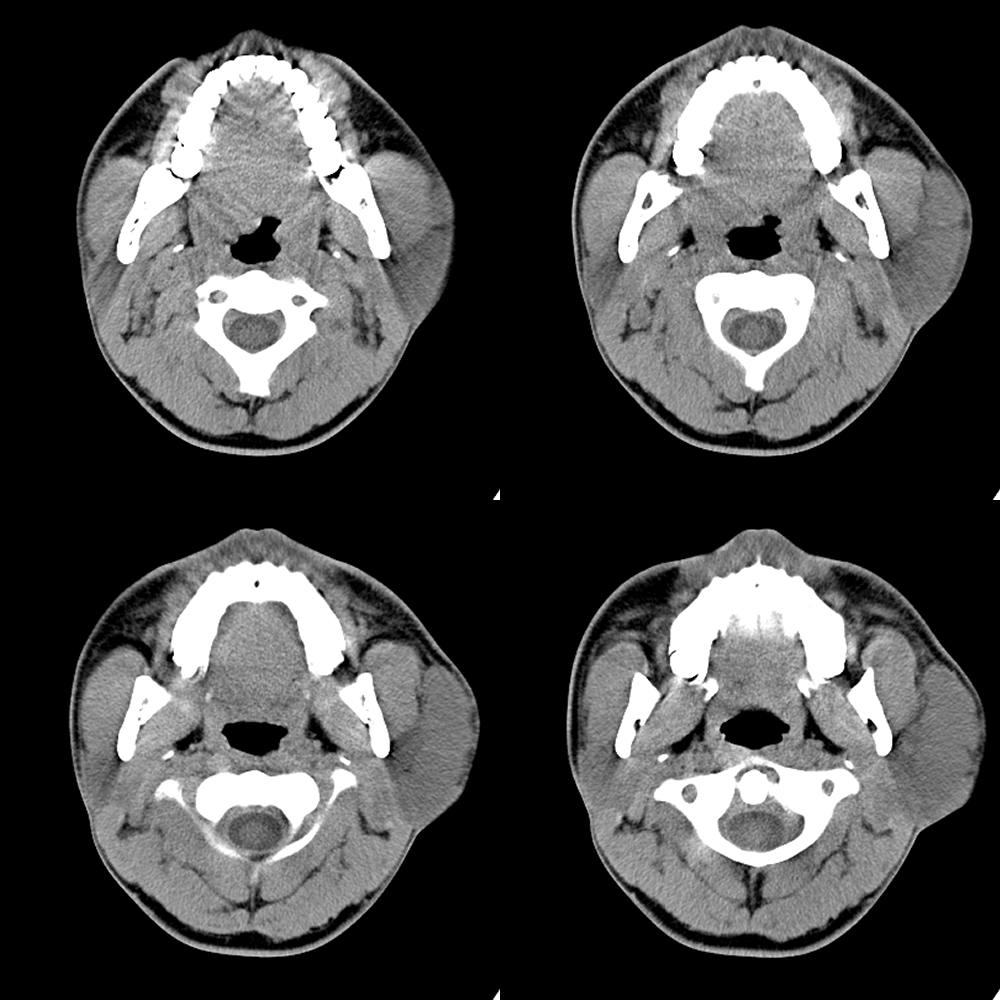
患者婴儿时期左腮旁有一1cm的隆起小包,缓慢张大,三岁时抽取为含气泡的黄色脓液,后治愈。今患者17岁时在一夜之间左腮旁隆起一较大、质软、无痛性肿块,在外院抽取600ml血性液体后包块仅轻度减小。经患者同意后手机拍照:





病灶ct值为52hu。

[本贴已被 jiajie 于 2008-6-14 20:01:49 修改过]

作者: 沉默是金    时间: 2008-6-15 02:20
左腮腺混合瘤?
作者: 杀毒软件    时间: 2008-6-15 02:23
结合病史考虑唾液腺混合瘤恶变可能
作者: hjk    时间: 2008-6-15 02:44
建议增强,除外脉管瘤
作者: 358450m    时间: 2008-6-15 02:44
左腮腺混合瘤
作者: xulianj    时间: 2008-6-15 02:51
建议增强
作者: jinguoji    时间: 2008-6-15 03:09
左腮腺混合瘤可能.
作者: lxq2000    时间: 2008-6-15 03:22
左腮腺混合瘤可能.
作者: 深泽交通    时间: 2008-6-15 03:57
左腮部皮下蚓块状等密度影,血管瘤破裂可能
作者: 王仕学    时间: 2008-6-15 04:09
急性起病,不支持左腮腺混合瘤,建议增强。
作者: qingjing    时间: 2008-6-15 04:17
左腮腺混合瘤,恶变
作者: shiqingfa    时间: 2008-6-15 04:35
左腮部皮下蚓块状等密度影,血管瘤破裂可
作者: 徐飞    时间: 2008-6-15 05:50
支持深泽交通医院
作者: 龙在野    时间: 2008-6-15 05:59
建议增强
作者: jsgdoctor    时间: 2008-6-15 06:00
我建议增强吧,现在不好说
作者: zsl6918    时间: 2008-6-15 06:03
慢性腮腺炎,近期突发增大,考虑为急性感染出血。
作者: whzht    时间: 2008-6-15 06:08
考虑血管瘤,建议增强。
作者: dyqct    时间: 2008-6-15 23:01
考虑左腮腺区血管畸形,建议增强扫描进一步检查。
作者: 随光逐影    时间: 2008-6-16 01:54
考虑血管瘤破裂可能;建议:行ct增强扫描或mri检查。
作者: 形影不离    时间: 2008-6-16 02:33
标题: 回复:ct14030:m17y,腮旁肿块。
以下是引用随光逐影在2008-6-15 17:54:00的发言:[br]考虑血管瘤破裂可能;建议:行ct增强扫描或mri检查。

作者: 拾荒者    时间: 2008-6-16 03:48
左侧腮部等低密度肿块影,结构较疏松,与咬肌分界清,皮下脂肪间隙清晰,考虑良性病变。建议增强扫描。
作者: zjzjr    时间: 2008-6-16 21:11
淋巴管瘤还是血管瘤,建议增强




欢迎光临 医影在线 (http://bbs.radida.com/bbs/) Powered by Discuz! X3.2