医影在线
标题: CT14032:M34Y,双侧骶髂关节 [打印本页]
作者: 815989 时间: 2008-6-15 03:47
标题: CT14032:M34Y,双侧骶髂关节
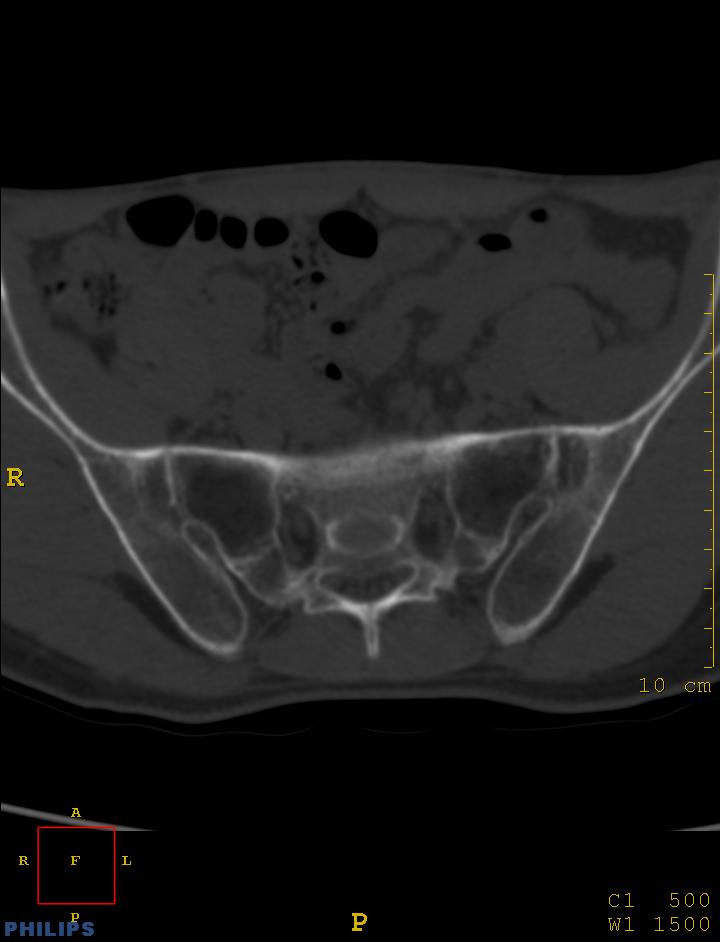
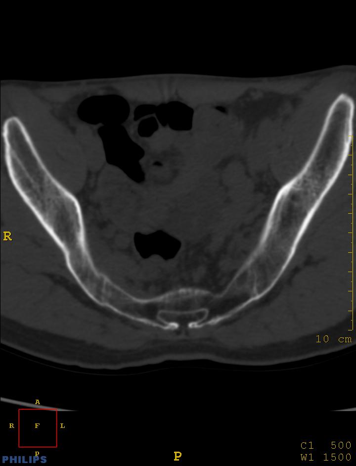
m,34岁,腰痛三年,腰椎活动度明显减低,x片示腰椎竹节样改变















[本贴已被 jiajie 于 2008-6-14 20:04:08 修改过]
作者: 王仕学 时间: 2008-6-15 04:02
结合病史考虑强直性脊椎炎。
作者: 深泽交通 时间: 2008-6-15 04:09
双侧骶髂关节面融合;强直脊柱炎
作者: gaoshengjiang 时间: 2008-6-15 04:20
支持强直性脊柱炎改变。
作者: shiqingfa 时间: 2008-6-15 04:30
双侧骶髂关节面融合;强直脊柱炎
作者: 王仕学 时间: 2008-6-15 04:59
标题: 回复:ct14032:m34y,双侧骶髂关节
以下是引用王仕学在2008-6-14 20:02:00的发言:[br]结合病史考虑强直性脊椎炎。
对不起,用五笔输入法,把“柱”字打成“椎”字,不好意思!
[本贴已被 王仕学 于 2008-6-14 21:42:45 修改过]
作者: 光影相伴 时间: 2008-6-15 05:01
强直性脊柱炎。
作者: 358450m 时间: 2008-6-15 05:36
结合病史考虑强直性脊椎炎。
作者: jinguoji 时间: 2008-6-15 05:49
支持强直性脊柱炎改变。
作者: dsl555 时间: 2008-6-15 05:51
标题: 回复:ct14032:m34y,双侧骶髂关节
以下是引用jinguoji在2008-6-14 21:49:00的发言:[br]支持强直性脊柱炎改变。
作者: 龙在野 时间: 2008-6-15 05:53
强直性脊柱炎
作者: zsl6918 时间: 2008-6-15 05:55
典型的强直性脊柱炎,平片即可明确
作者: jsgdoctor 时间: 2008-6-15 06:09
考虑强直性脊柱炎。
作者: wzr 时间: 2008-6-15 06:37
支持强直性脊柱炎改变。
作者: chenglinhunan 时间: 2008-6-15 06:39
支持强直性脊柱炎改变。
作者: 摘星空竹子 时间: 2008-6-15 07:03
支持强直性脊柱炎。
作者: yuhongjun 时间: 2008-6-15 14:09
支持强直性脊柱炎改变。
作者: dyqct 时间: 2008-6-15 18:36
支持重度强直性脊柱炎改变。
作者: 随光逐影 时间: 2008-6-16 01:21
符合强直性脊柱炎改变。
作者: hjk 时间: 2008-6-16 02:31
支持
作者: 形影不离 时间: 2008-6-16 02:34
支持强直性脊柱炎改变。
作者: zhengfaming 时间: 2008-6-16 02:35
还是比较符合强直性脊柱炎的表现
作者: 拾荒者 时间: 2008-6-16 03:34
双侧骶髂关节骨性融合,软骨下囊性变,结合脊柱竹节样改变,典型的强直性脊柱炎。
作者: zjzjr 时间: 2008-6-16 21:05
双侧骶髂关节面融合;强直脊柱炎
作者: qiuazhang 时间: 2012-11-12 22:02
[s:14]
作者: ct诊断高手 时间: 2012-11-12 22:16
双侧骶髂关节面融合;强直脊柱炎
| 欢迎光临 医影在线 (http://bbs.radida.com/bbs/) |
Powered by Discuz! X3.2 |