医影在线

标题: CT14033:F54Y,来源哪? 外伤发现,自述既往无不适。 [打印本页]

作者: 37度    时间: 2008-6-15 03:55
标题: CT14033:F54Y,来源哪? 外伤发现,自述既往无不适。












[本贴已被 jiajie 于 2008-6-14 20:05:17 修改过]

作者: 王仕学    时间: 2008-6-15 04:01
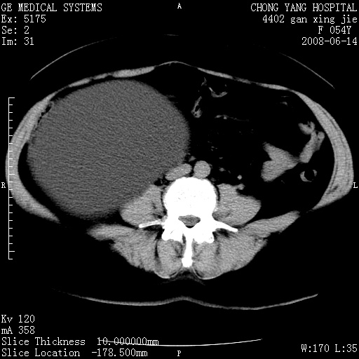
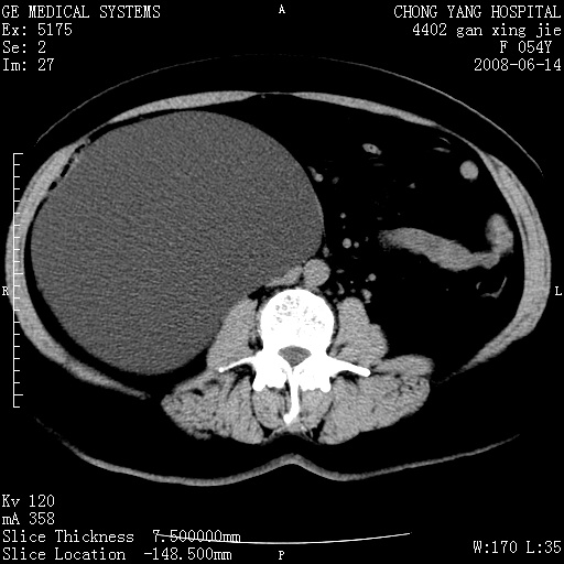
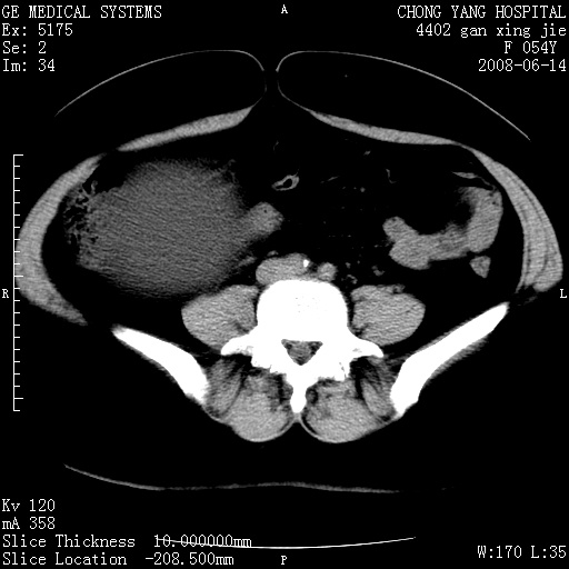
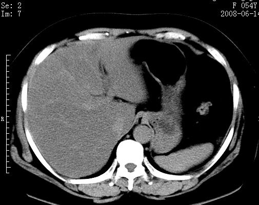
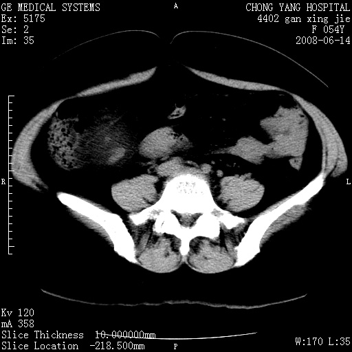
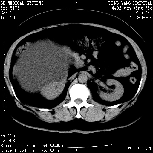
1、脂肪肝。2、腹腔囊性占位,首考虑来源于右肾下极,其次考虑来源于肠系膜。
作者: 深泽交通    时间: 2008-6-15 04:05
考虑肠系膜囊肿,脂肪肝
作者: hejie    时间: 2008-6-15 04:09
肠囊肿可能性大,与十二直肠水平部呈喇叭口,来源于十二直肠,不排除胰头假囊肿.
作者: gaoshengjiang    时间: 2008-6-15 04:16
1、脂肪肝。2、腹腔囊性占位,首考虑肠源性囊肿或中肾管囊肿。
作者: shiqingfa    时间: 2008-6-15 04:28
1、脂肪肝。2、腹腔囊性占位,首考虑肠源性囊肿或中肾管囊肿。  
  
支持
作者: 江洋    时间: 2008-6-15 04:34
脂肪肝,来源于腹膜后囊肿可能性大。
作者: 玉真    时间: 2008-6-15 04:54
1、脂肪肝。2、腹腔囊性占位,首考虑肠源性囊肿或中肾管囊肿。
作者: 光影相伴    时间: 2008-6-15 04:56
支持:首考虑来源于右肾下极。
作者: qian    时间: 2008-6-15 05:20
腹腔内囊肿。
作者: zsl6918    时间: 2008-6-15 05:31
脂肪肝,巨大肾囊肿
作者: 358450m    时间: 2008-6-15 05:38
考虑肠系膜囊肿,脂肪肝
作者: jinguoji    时间: 2008-6-15 05:56
支持考虑肠系膜囊肿,脂肪肝.
作者: jsgdoctor    时间: 2008-6-15 06:15
考虑肠系膜囊肿
作者: wzr    时间: 2008-6-15 06:35
1、脂肪肝。2、腹腔囊性占位,考虑来源肾下极,再做个mpr,有很大的帮助.最好进一步ce
作者: chenglinhunan    时间: 2008-6-15 06:36
支持肾囊肿
作者: dyqct    时间: 2008-6-15 18:35
考虑:1、中度脂肪肝。
过    2、腹膜后囊性占位,首考虑肾外生性囊肿或中肾管囊肿。
作者: 随光逐影    时间: 2008-6-16 01:19
1)脂肪肝。2)右肾下极巨大囊肿。
作者: cjy040707    时间: 2008-6-16 02:23
标题: 回复:ct14033:f54y,来源哪? 外伤发现,自述既往无不适。
以下是引用王仕学在2008-6-14 20:01:00的发言:[br]1、脂肪肝。2、腹腔囊性占位,首考虑来源于右肾下极,其次考虑来源于肠系膜。

作者: hjk    时间: 2008-6-16 02:29
肠系膜囊肿可能
作者: 形影不离    时间: 2008-6-16 02:37
右肾下极巨大囊肿可能性大。
作者: zhengfaming    时间: 2008-6-16 02:37
腹腔巨大囊性占位,以肠系膜囊肿可能性大
作者: 拾荒者    时间: 2008-6-16 03:25
右中下腹部囊性肿块,与右肾下极关系密切,考虑右肾下极巨大外生性囊肿;脂肪肝。
作者: zjzjr    时间: 2008-6-16 21:04
脂肪肝,肾囊肿,不除外肠系膜囊肿.




欢迎光临 医影在线 (http://bbs.radida.com/bbs/) Powered by Discuz! X3.2