




以下是引用358450m在2008-6-14 22:21:00的发言:[br]左侧外侧裂池密度增高,考虑出血。
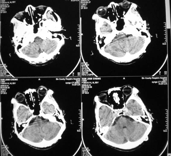
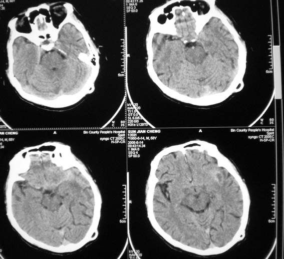
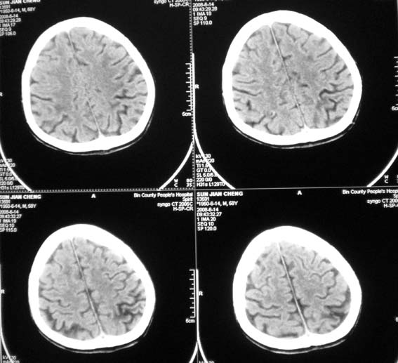
以下是引用王仕学在2008-6-14 22:17:00的发言:[br]左侧外侧裂池密度增高,考虑出血。
以下是引用深泽交通医院在2008-6-14 22:42:00的发言:[br][quote]以下是引用王仕学在2008-6-14 22:17:00的发言:[br]左侧外侧裂池密度增高,考虑出血。
以下是引用王仕学在2008-6-14 22:17:00的发言:[br]左侧外侧裂池密度增高,考虑出血。
以下是引用王仕学在2008-6-14 22:17:00的发言:[br]左侧外侧裂池密度增高,考虑出血。
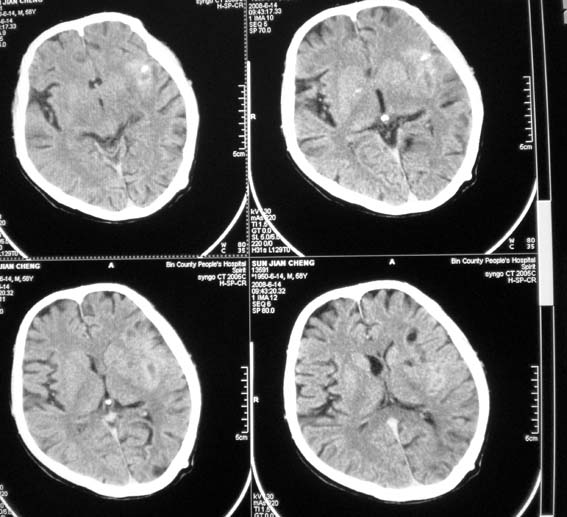
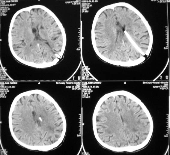
以下是引用随光逐影在2008-6-15 17:27:00的发言:[br]1)脑积水引流术后导管留置。2)蛛网膜下腔出血。3)左侧基底节区及左侧额叶多发脑腔隙灶。4)脑萎缩。
以下是引用dyqct在2008-6-15 10:32:00的发言:[br]支持:1、左侧外侧裂池密度增高,考虑出血。[br] 2、左侧基底节区脑软化灶。
| 欢迎光临 医影在线 (http://bbs.radida.com/bbs/) | Powered by Discuz! X3.2 |