














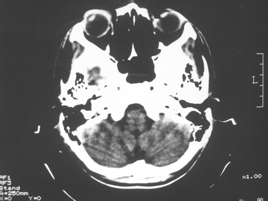
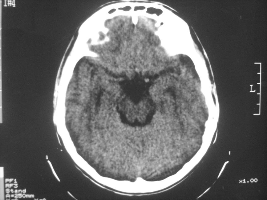
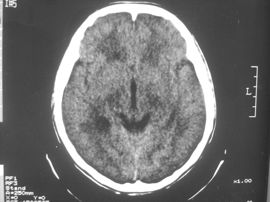
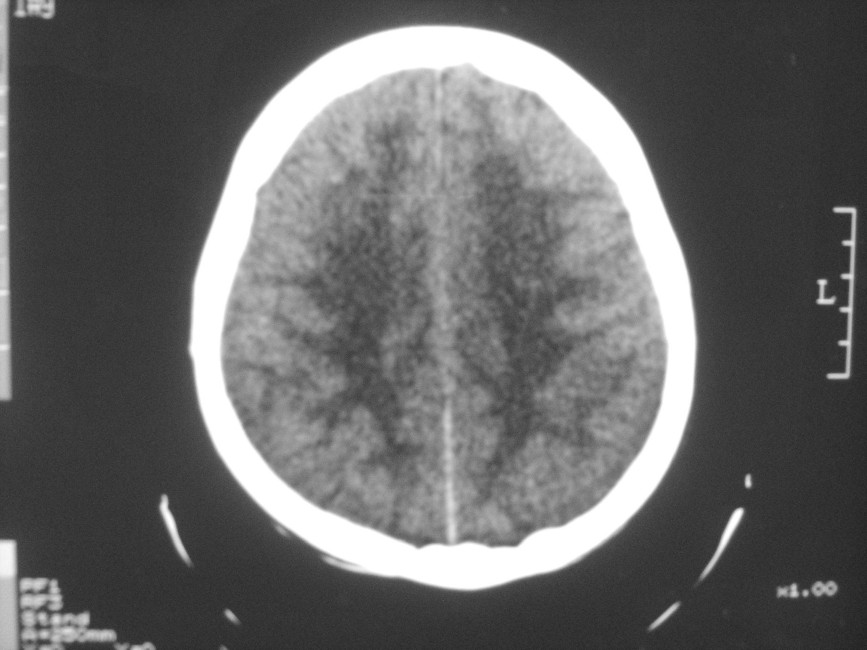
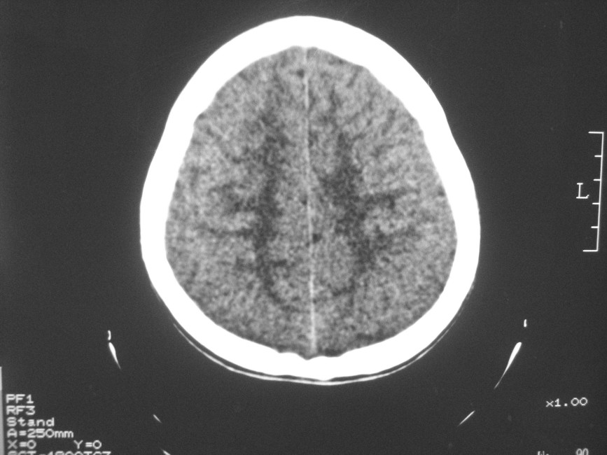
以下是引用zzyy在2008-6-16 10:13:00的发言:[br]两侧脑白质呈对称性密度减低,病儿有发热及脑膜刺激征。考虑急性病毒性脑炎。
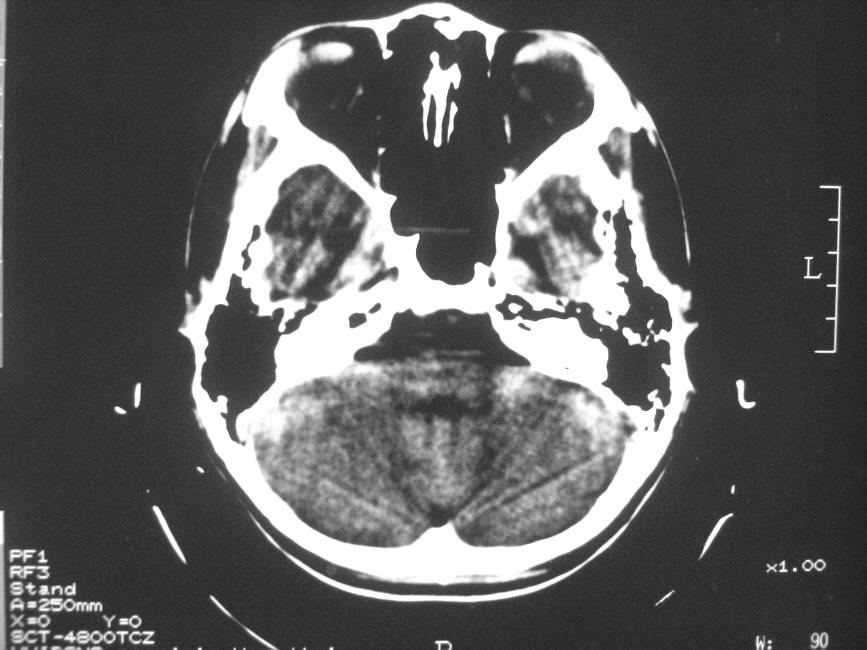
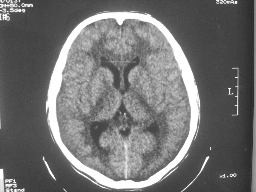
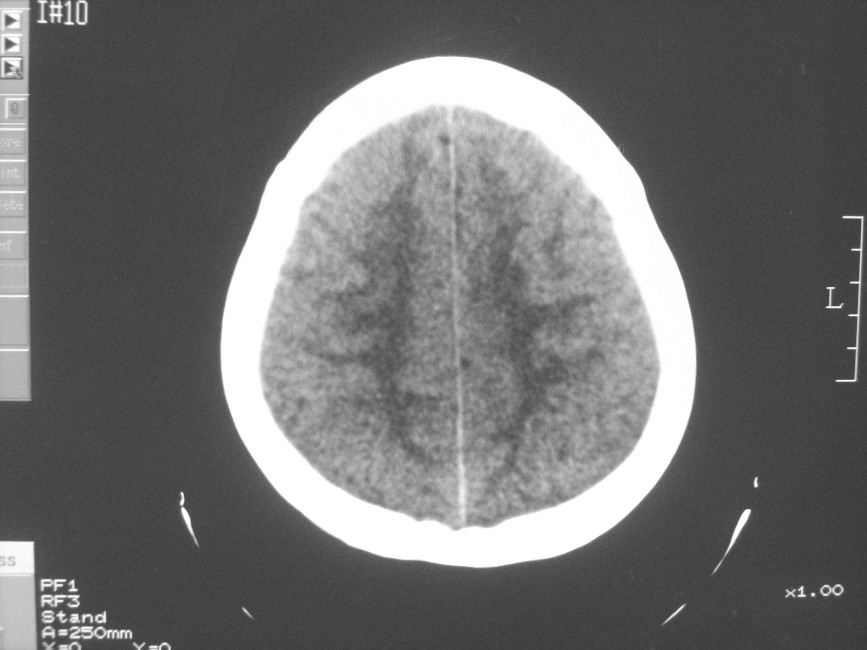
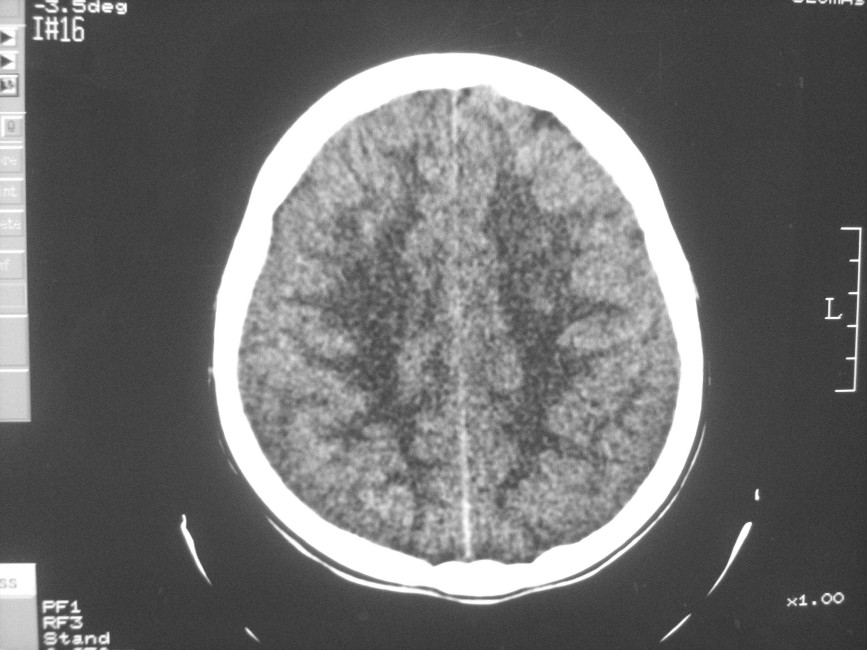
以下是引用zzyy在2008-6-16 10:13:00的发言:[br]两侧脑白质呈对称性密度减低,病儿有发热及脑膜刺激征。考虑急性病毒性脑炎。
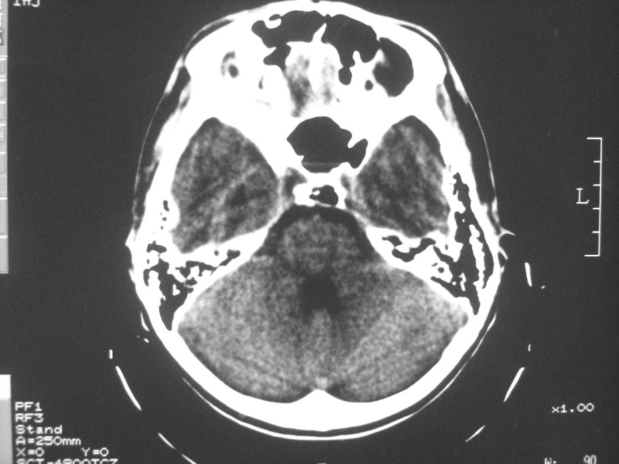
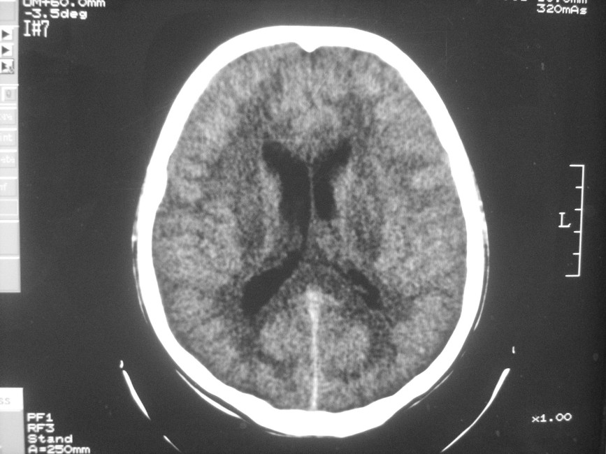
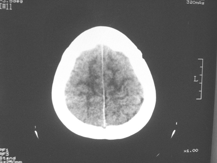
以下是引用zzyy在2008-6-16 10:13:00的发言:[br]两侧脑白质呈对称性密度减低,病儿有发热及脑膜刺激征。考虑急性病毒性脑炎。
| 欢迎光临 医影在线 (http://bbs.radida.com/bbs/) | Powered by Discuz! X3.2 |