医影在线

标题: X4404:男,65岁。体检 [打印本页]

作者: 07619    时间: 2008-6-16 21:04
标题: X4404:男,65岁。体检




[本贴已被 jiajie 于 2008-6-16 13:38:00 修改过]

作者: ZHANGZHONGSHOU    时间: 2008-6-16 21:14
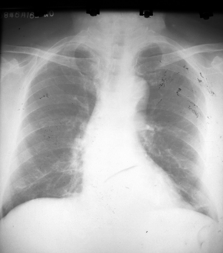
左下肺局限性纤维化,余未见明显异常。
作者: 358450m    时间: 2008-6-16 21:22
主a迂曲
作者: 李衡钧    时间: 2008-6-16 21:39
双肺纹理增强,左下肺横行致密条状影,考虑盘状不张。主动脉迂曲延长。
作者: dyqct    时间: 2008-6-16 22:52
考虑:1、主动脉硬化;
      2、左下肺纤维灶。
作者: liuyue    时间: 2008-6-16 23:21
左侧胸膜肥厚可能性大.
建议:ct扫描.除外其他病变之可能.
作者: 刘国良    时间: 2008-6-16 23:43
左下胸膜肥厚。建议:结合临床必要时ct扫描。
作者: lishibao    时间: 2008-6-16 23:53
左侧胸膜改变。建议:结合临床必要时ct扫描。
作者: zhangkening    时间: 2008-6-16 23:59
也就是主动脉迂曲吧,别的没有什么问题呀.
作者: zxczxc    时间: 2008-6-17 00:17
左下肺纤维化。
作者: 一颗苦根儿    时间: 2008-6-17 01:37
左肺纤维化可能性大
作者: 一颗苦根儿    时间: 2008-6-17 01:38
左肺纤维化可能性大
作者: 杀毒软件    时间: 2008-6-17 01:40
标题: 回复:x4404:男,65岁。体检
以下是引用李衡钧在2008-6-16 13:39:00的发言:[br]双肺纹理增强,左下肺横行致密条状影,考虑盘状不张。主动脉迂曲延长。[br]

支持[img][/img]
作者: yrjw    时间: 2008-6-17 03:49
考虑:1、主动脉硬化;
      2、左下肺纤维灶。
作者: 黑白光影    时间: 2008-6-17 04:32
1、两下肺野纤维病灶
2、主动脉弓粥样硬化
3、左侧胸壁胸膜增厚不排除(亦可能为体位关节所致)
作者: chenaide    时间: 2008-6-17 05:28
支持左下胸膜增厚。
作者: yangwq    时间: 2008-6-17 06:13
左肺中区云絮状密度稍高阴影 抗炎治疗 复查       片质差 静电反应
作者: hexue    时间: 2008-6-17 07:10
没有多大临床意义,健康体检有时就不报了
作者: hswey    时间: 2008-6-17 08:26
标题: 回复:x4404:男,65岁。体检
以下是引用zhangzhongshou在2008-6-16 13:14:00的发言:[br]左下肺局限性纤维化,余未见明显异常。

作者: jinguoji    时间: 2008-6-18 05:07
支持 双肺纹理增强,左下肺横行致密条状影,考虑盘状不张。主动脉迂曲延长。
作者: wy232326    时间: 2008-6-20 01:43
双肺纹理增强,左下肺横行致密条状影,考虑盘状不张。主动脉迂曲延长。支持
作者: shibing    时间: 2014-2-13 08:56
建议ct进一步检查。




欢迎光临 医影在线 (http://bbs.radida.com/bbs/) Powered by Discuz! X3.2