



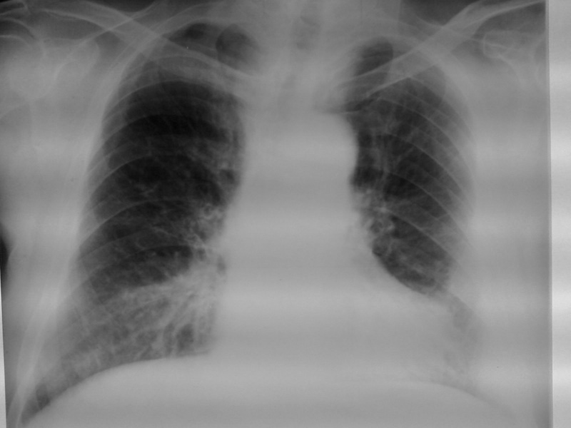
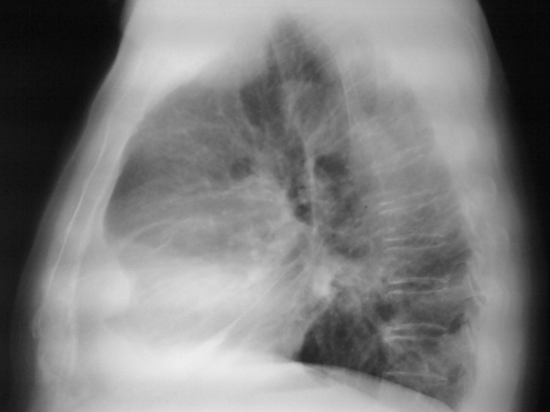
以下是引用李衡钧在2008-6-16 16:46:00的发言:[br]心尖较为陡直,首先考虑冠心病。进一步检查除外室壁瘤。[br]不太像包裹积液和心包囊肿。因为其边缘不是明显锐利清晰。
以下是引用zhangkai在2008-6-16 15:12:00的发言:[br]左下侧胸壁包裹性积液?[br]心脏改变建议结合透视、临床听诊、超声检查排除室壁瘤可能。
以下是引用李衡钧在2008-6-16 16:46:00的发言:[br]心尖较为陡直,首先考虑冠心病。进一步检查除外室壁瘤。[br]不太像包裹积液和心包囊肿。因为其边缘不是明显锐利清晰。
| 欢迎光临 医影在线 (http://bbs.radida.com/bbs/) | Powered by Discuz! X3.2 |