医影在线
标题: CT14067:NO颅骨破坏,请会诊! [打印本页]
作者: zhw974247 时间: 2008-6-17 17:58
标题: CT14067:NO颅骨破坏,请会诊!
(结果公布:)http://www.radida.com/bbs/forum.php?mod=viewthread&tid=40852
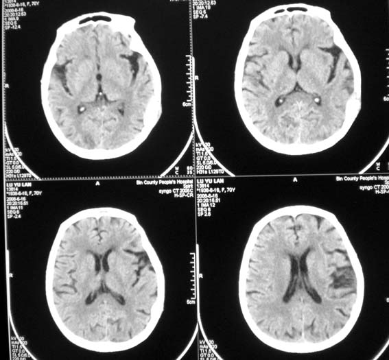
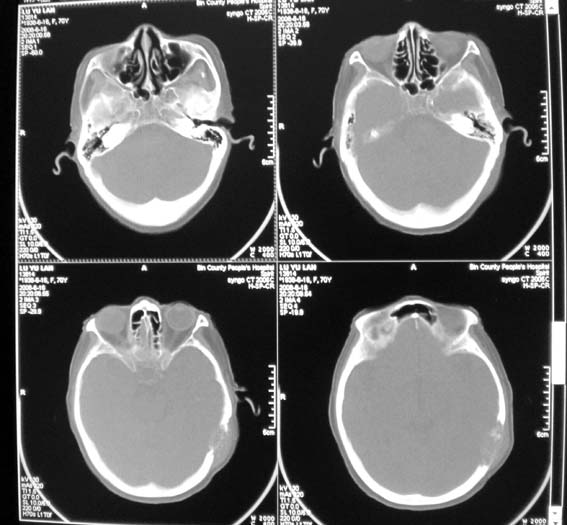
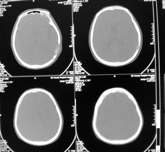
女,70岁,双肺结核,头痛,肿胀包块半年余,逐渐增大。







[本贴已被 jiajie 于 2008-6-19 19:39:03 修改过]
[本贴已被 翁志蓬 于 2008-7-2 23:33:01 修改过]
作者: 老单 时间: 2008-6-17 18:41
骨转移瘤
作者: haha215315 时间: 2008-6-17 18:59
如果双肺结核的诊断明确的话,颅骨的破坏改变首先考虑结核,可能已累及脑膜。
作者: 宇宙CT 时间: 2008-6-17 19:16
如果双肺结核的诊断明确的话,颅骨的破坏改变首先考虑结核,可能已累及脑膜。
作者: 深泽交通 时间: 2008-6-17 19:23
二楼三楼诊断有可能
作者: 子十 时间: 2008-6-17 19:24
标题: 回复:ct14067:颅骨破坏,请会诊!
以下是引用haha215315在2008-6-17 10:59:00的发言:[br]如果双肺结核的诊断明确的话,颅骨的破坏改变首先考虑结核,可能已累及脑膜。
作者: yangyudong333 时间: 2008-6-17 20:03
考虑转移可能性大
作者: 358450m 时间: 2008-6-17 20:08
如果双肺结核的诊断明确的话,颅骨的破坏改变首先考虑结核,可能已累及脑膜。
作者: xuhuihong 时间: 2008-6-17 20:38
溶骨性转移首先考虑,建议肺部穿刺活检肺结核伴肺癌进一步除外。
作者: pujunzhi 时间: 2008-6-17 20:51
颅骨转移瘤
作者: qc80012345 时间: 2008-6-17 21:21
结核大于转移瘤。
作者: 拾荒者 时间: 2008-6-17 21:51
溶骨性转移瘤可能;肺内再进一步查一下吧!
作者: dyqct 时间: 2008-6-18 00:09
标题: 回复:ct14067:颅骨破坏,请会诊!
以下是引用拾荒者在2008-6-17 13:51:00的发言:[br]溶骨性转移瘤可能;肺内再进一步查一下吧!
支持!
作者: shuqiang1 时间: 2008-6-18 00:14
支持转移瘤可能性大!
作者: 杀毒软件 时间: 2008-6-18 02:22
标题: 回复:ct14067:颅骨破坏,请会诊!
以下是引用haha215315在2008-6-17 10:59:00的发言:[br]如果双肺结核的诊断明确的话,颅骨的破坏改变首先考虑结核,可能已累及脑膜。
支持
作者: qiuleiyu 时间: 2008-6-18 04:24
转移瘤/骨结核/嗜酸性肉芽肿均有可能。
作者: xulianj 时间: 2008-6-18 05:15
考虑转移可能性大
作者: 李世军 时间: 2008-6-18 05:44
如果双肺结核的诊断明确的话,颅骨的破坏改变首先考虑结核,可能已累及脑膜。
作者: dsl555 时间: 2008-6-18 05:48
标题: 回复:ct14067:颅骨破坏,请会诊!
以下是引用xuhuihong在2008-6-17 12:38:00的发言:[br]溶骨性转移首先考虑,建议肺部穿刺活检肺结核伴肺癌进一步除外。
作者: livingod 时间: 2008-6-18 06:08
强化扫描。
作者: zsl6918 时间: 2008-6-18 06:12
颅骨转移瘤,建议上传肺窗!对阁下的结核诊断有疑问!
作者: 百年合好 时间: 2008-6-18 06:45
海绵状血管瘤(硬膜外)可能性大.
作者: 智慧眼 时间: 2008-6-18 21:05
老年性病人,颅骨破坏首先应考虑转移瘤,还应当与颅骨嗜酸性肉芽肿鉴别
作者: tao772 时间: 2008-6-18 23:46
颅骨结核少见,考虑溶骨性破坏为转移瘤可能性大。
作者: 随光逐影 时间: 2008-6-18 23:51
考虑颅骨转移瘤。
作者: 守望可可 时间: 2008-6-19 01:36
溶骨性破坏,未见明确死骨;病灶边缘不整,我考虑为颅骨转移瘤可能性大。建议仔细询问病史,积极寻找原发病灶。肺部如果扫描,最好请一并上传。
作者: 捻花指 时间: 2008-6-19 04:58
标题: 回复:ct14067:颅骨破坏,请会诊!
考虑转移瘤
作者: 拾荒者 时间: 2008-6-20 05:24
ct14067:颅骨破坏结果,转移瘤!
肝脏ct示肝癌,颅骨为转移所致!
谢谢!
作者: zhw974247 时间: 2008-6-25 14:22
肺部拍片,未见到,诊断意见双肺结核,后听说有结节影,已经转移。以后看片一定要亲自看片,不能盲目听信被人诊断,谢谢大家提醒!!!教训啊!!!
| 欢迎光临 医影在线 (http://bbs.radida.com/bbs/) |
Powered by Discuz! X3.2 |