医影在线

标题: PED0847:M,9Y。先天性透明隔移位?脑积水? [打印本页]

作者: 光影★笑子    时间: 2008-6-20 06:28
标题: PED0847:M,9Y。先天性透明隔移位?脑积水?
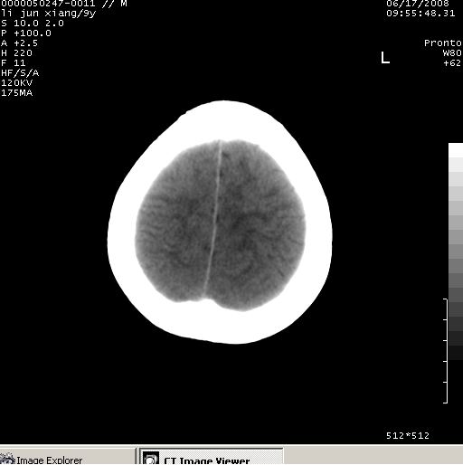
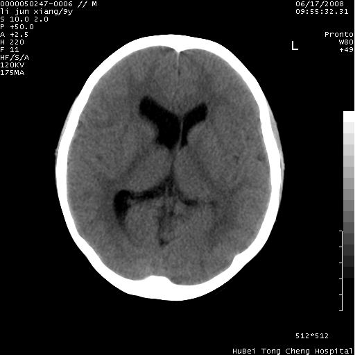
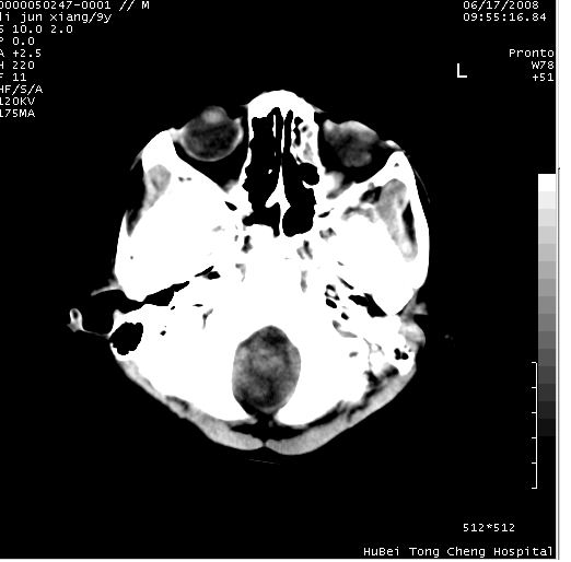
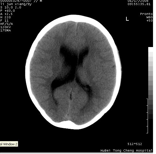
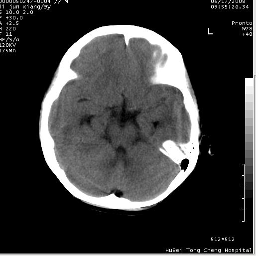
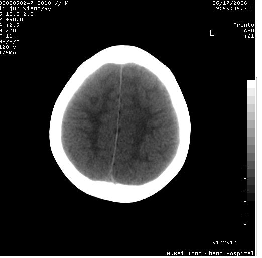
患儿 男,9岁。既往有“脑积水,脑萎缩?”病史(无影像检查资料),现无明显不适。其家长要求ct检查。

颅脑ct轴位平扫(层厚、层距均为10mm),图像如下:













调骨窗:颅骨未见明确异常。


[本贴已被 jiajie 于 2008-6-19 22:40:28 修改过]

作者: yangyudong333    时间: 2008-6-20 14:47
只是双侧脑室不对称,其它未见异常啊
作者: liangshusheng    时间: 2008-6-22 02:39
变异
作者: 长城干红    时间: 2008-6-22 03:58
考虑为先天变异。
作者: 杀毒软件    时间: 2008-6-22 17:17
未见异常
作者: dyqct    时间: 2008-6-24 04:41
支持变异。




欢迎光临 医影在线 (http://bbs.radida.com/bbs/) Powered by Discuz! X3.2