医影在线

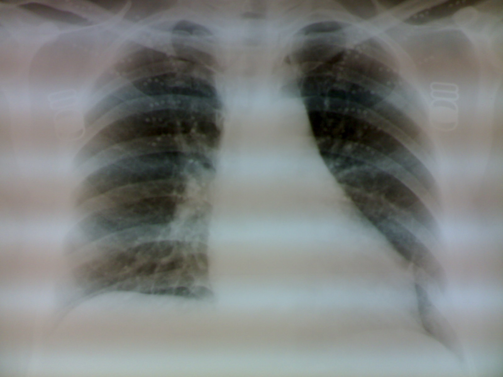
标题: X4432: 50岁干咳一周,第一次看到这样的心影,有问题吗? [打印本页]

作者: cwpchen    时间: 2008-6-20 21:15
标题: X4432: 50岁干咳一周,第一次看到这样的心影,有问题吗?



[本贴已被 jiajie 于 2008-6-20 13:41:08 修改过]

作者: 358450m    时间: 2008-6-20 21:46
左室大?
作者: ZHANGZHONGSHOU    时间: 2008-6-20 21:53
胸部平片未见明显异常。
作者: clj20    时间: 2008-6-20 22:54
胸锁关节不对称,体位不正.心胸比率不大.胸部平片心脏大小正常.
作者: 黑白光影    时间: 2008-6-21 00:17
仅见心影左缘较为平直,无其它明显异常。可建议心超检查。
作者: hexue    时间: 2008-6-21 01:55
心包脂肪垫
作者: 海笑    时间: 2008-6-21 03:00
未见明显异常.
作者: yangyudong333    时间: 2008-6-21 03:10
仅见心影左缘较为平直,无其它明显异常。可建议心超检查。
作者: wxq2008    时间: 2008-6-21 03:17
未见明显异常
作者: 沉默是金    时间: 2008-6-21 03:50
标题: 回复:x4432: 50岁干咳一周,第一次看到这样的心影,有问题
以下是引用hexue在2008-6-20 17:55:00的发言:[br]心包脂肪垫

作者: 杀毒软件    时间: 2008-6-21 04:07
胸部平片未见明显异常
作者: GANENG.2008    时间: 2008-6-21 04:32
血压是否正常?
作者: jinguoji    时间: 2008-6-21 05:29
胸部平片未见明显异常。
作者: tfq6909    时间: 2008-6-21 05:32
衣服脱了重拍
作者: 寻芳者    时间: 2008-6-21 06:53
不及格的胸片----衣服饰物特多,体位不标准,而且看心脏片最忌\"一片\"下定义!!!!!!!
作者: cwpchen    时间: 2008-6-21 07:40
请问左心缘陡直是什么原因造成的,是体位不正造成的吗?
作者: taky    时间: 2008-6-21 08:27
胸部未见明显活动病变
作者: yuhongjun    时间: 2008-6-21 12:54
胸部平片未见明显异常。
作者: 宇宙CT    时间: 2008-6-21 16:53
胸部平片未见明显异常
作者: gjj6818    时间: 2008-6-21 17:54
未见明显异常.
作者: zsj943006    时间: 2008-6-21 18:24
胸部平片未见明显异常.曝光不足,另外衣服上的异物较多
作者: zhengfaming    时间: 2008-6-21 19:02
慢支炎,没看到别的
作者: zhanggenliang    时间: 2008-6-21 19:03
心胸比例不大,考虑心包脂肪垫.右肋膈角显示不清,双肺可见粟粒状钙化点,结核.是否陈旧性
作者: zhyitag    时间: 2008-6-21 22:19
未见异常
作者: 刘国良    时间: 2008-6-22 00:13
片子质量差一点,拍片应脱去必要的衣服。此片心肺未见明显异常。
作者: ydx_74    时间: 2008-6-22 06:54
无特殊。
作者: yangwq    时间: 2008-6-22 13:54
室缺
作者: zhangkening    时间: 2008-6-22 23:36
没有问题.
作者: dyqct    时间: 2008-6-23 17:54
胸部平片未见明显异常。
作者: sky0007    时间: 2008-11-25 04:15
恩,未见明确异常。
作者: 153916826hua    时间: 2008-11-25 06:42
胸部平片未见明显异常
作者: shibing    时间: 2014-4-15 12:24
胸部平片未见明显异常。




欢迎光临 医影在线 (http://bbs.radida.com/bbs/) Powered by Discuz! X3.2