医影在线

标题: PED0853:M10Y,右侧脑室颞角? [打印本页]

作者: haitian598    时间: 2008-6-21 19:16
标题: PED0853:M10Y,右侧脑室颞角?
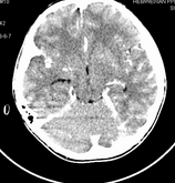
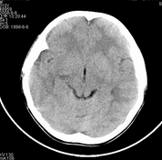
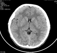
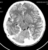
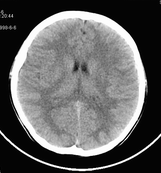
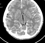
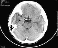
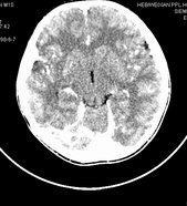
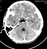
男,10岁,因近来常头痛就诊。先平扫拟诊右侧脉络膜裂囊肿,后薄层(3mm)扫描见此灶与右侧脑室后角相通,且向内几乎与鞍上池相连,并见一血管影沿其走形 (可能是脉络膜前动脉)。1。请教:脉络膜裂或脉络膜裂囊肿与侧脑室颞角或鞍上池相通吗?好像谁说脉络膜裂是脉络膜从外侧裂向侧脑室移行的裂隙。请高手讲讲这点的解剖关系。2。建议:对于老年患者,有丘脑附近特别是右丘脑附近的近似腔隙性梗死灶,临床症状不明显的,应做3mm薄层扫描,看病灶向下是否与侧脑室颞角相连,以免误诊。





薄层强化:







[本贴已被 jiajie 于 2008-6-21 15:57:53 修改过]

作者: zsl6918    时间: 2008-6-21 19:23
应该是侧脑室下脚.
作者: 358450m    时间: 2008-6-21 20:55
应该是侧脑室下脚.
作者: hjk    时间: 2008-6-21 22:15
侧脑室下角
作者: LIAOQIANG    时间: 2008-6-21 23:13
考虑侧脑室下角。
作者: yangyudong333    时间: 2008-6-21 23:51
考虑侧脑室下角。
作者: 长城干红    时间: 2008-6-22 03:47
支持楼上。
作者: lxc2325    时间: 2008-6-22 16:42
考虑侧脑室下角。
作者: 杀毒软件    时间: 2008-6-22 17:13
支持楼上
作者: 同    时间: 2008-6-23 03:09
侧脑室后角.
作者: 李衡钧    时间: 2008-6-24 00:28
应该是侧脑室下脚.
作者: qc80012345    时间: 2008-6-24 03:53
侧脑室下角;扫描位置不标准。
作者: dyqct    时间: 2008-6-24 04:37
颅脑未见明显异常。
作者: chenzhigong1    时间: 2008-6-25 06:10
考虑侧脑室下角。
作者: jinguoji    时间: 2008-6-26 22:17
颅脑未见明显异常。




欢迎光临 医影在线 (http://bbs.radida.com/bbs/) Powered by Discuz! X3.2