医影在线
标题: CT14165:男性,65岁。因外伤来诊 [打印本页]
作者: fanshl 时间: 2008-6-21 23:12
标题: CT14165:男性,65岁。因外伤来诊
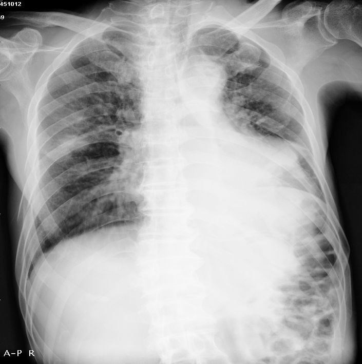
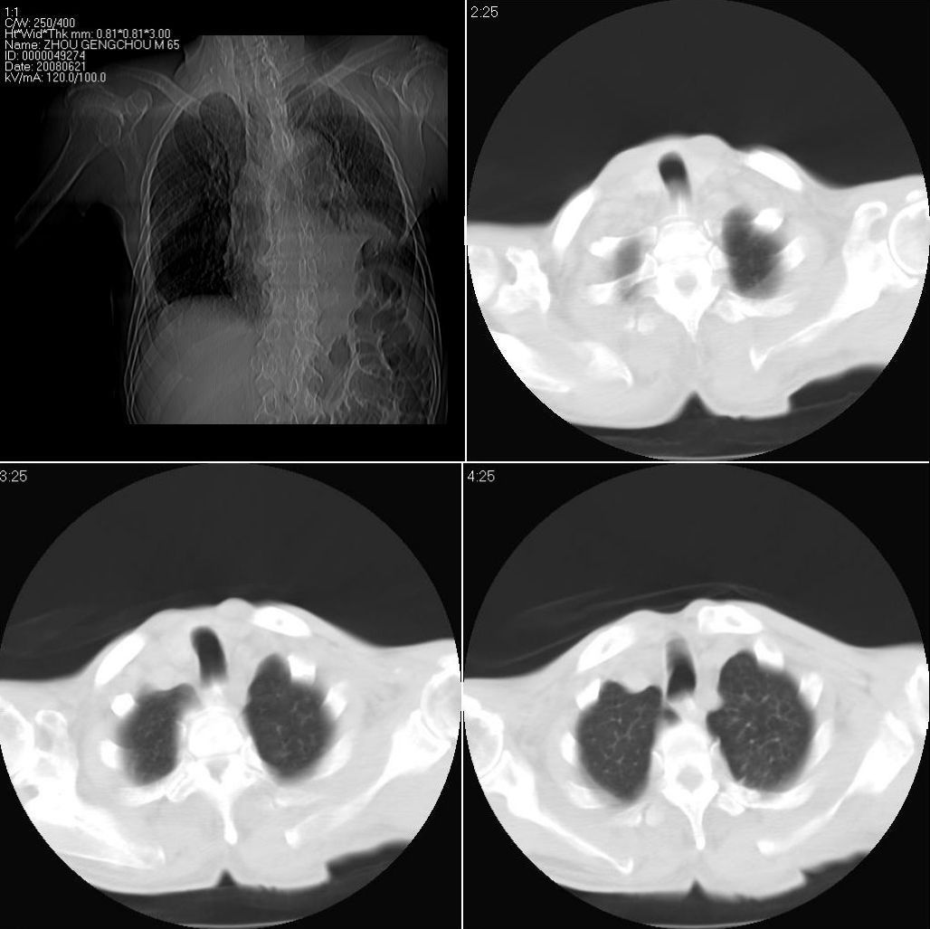
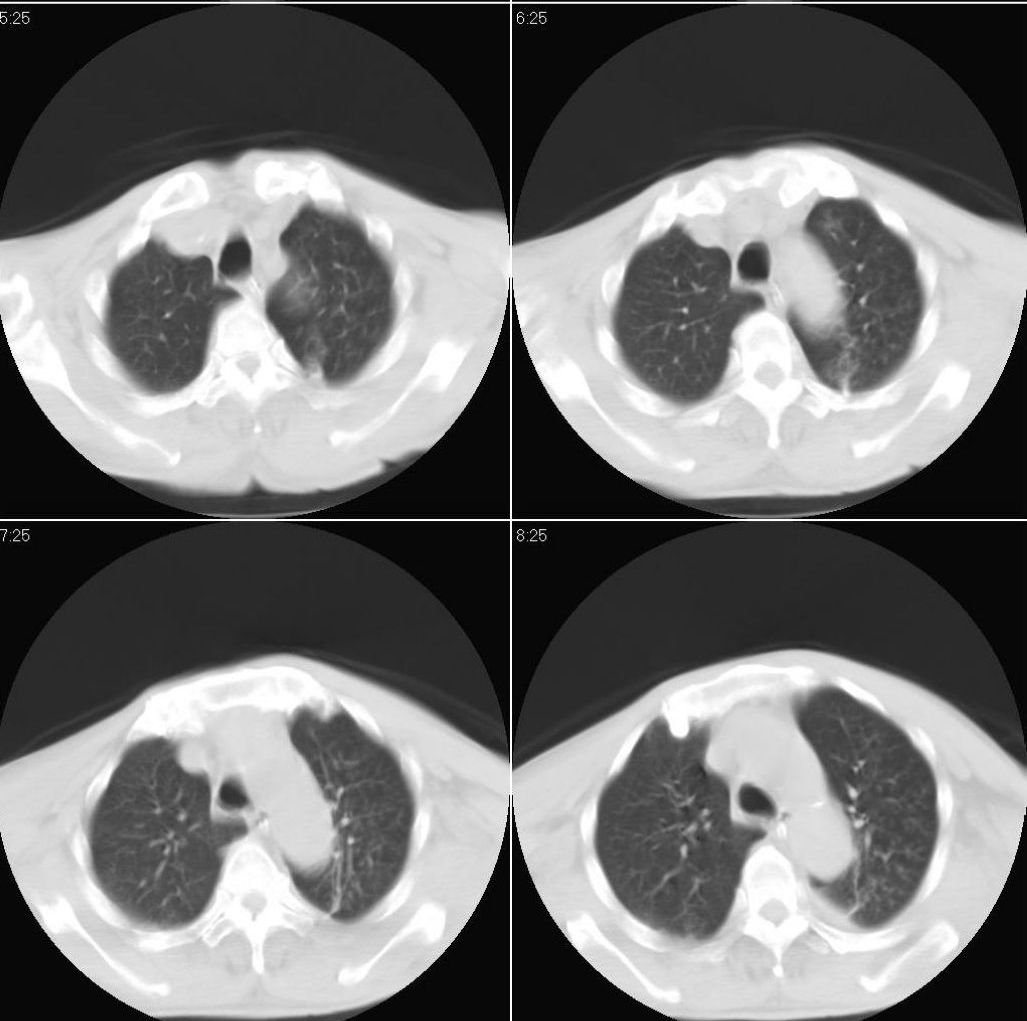
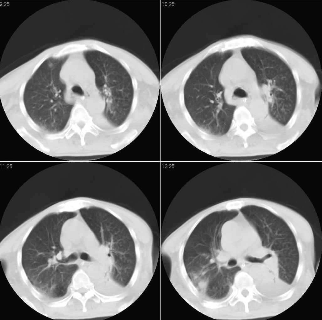
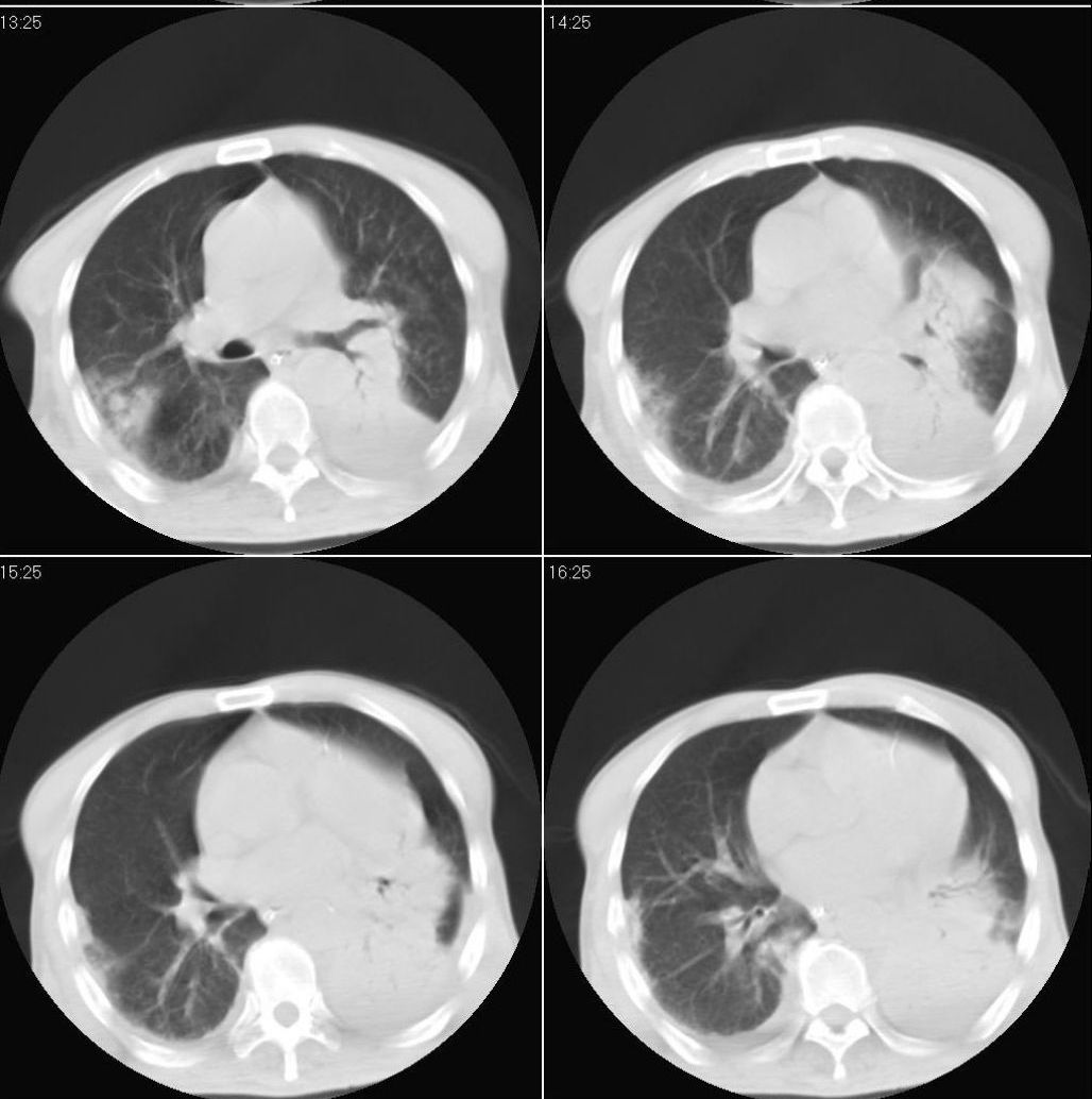
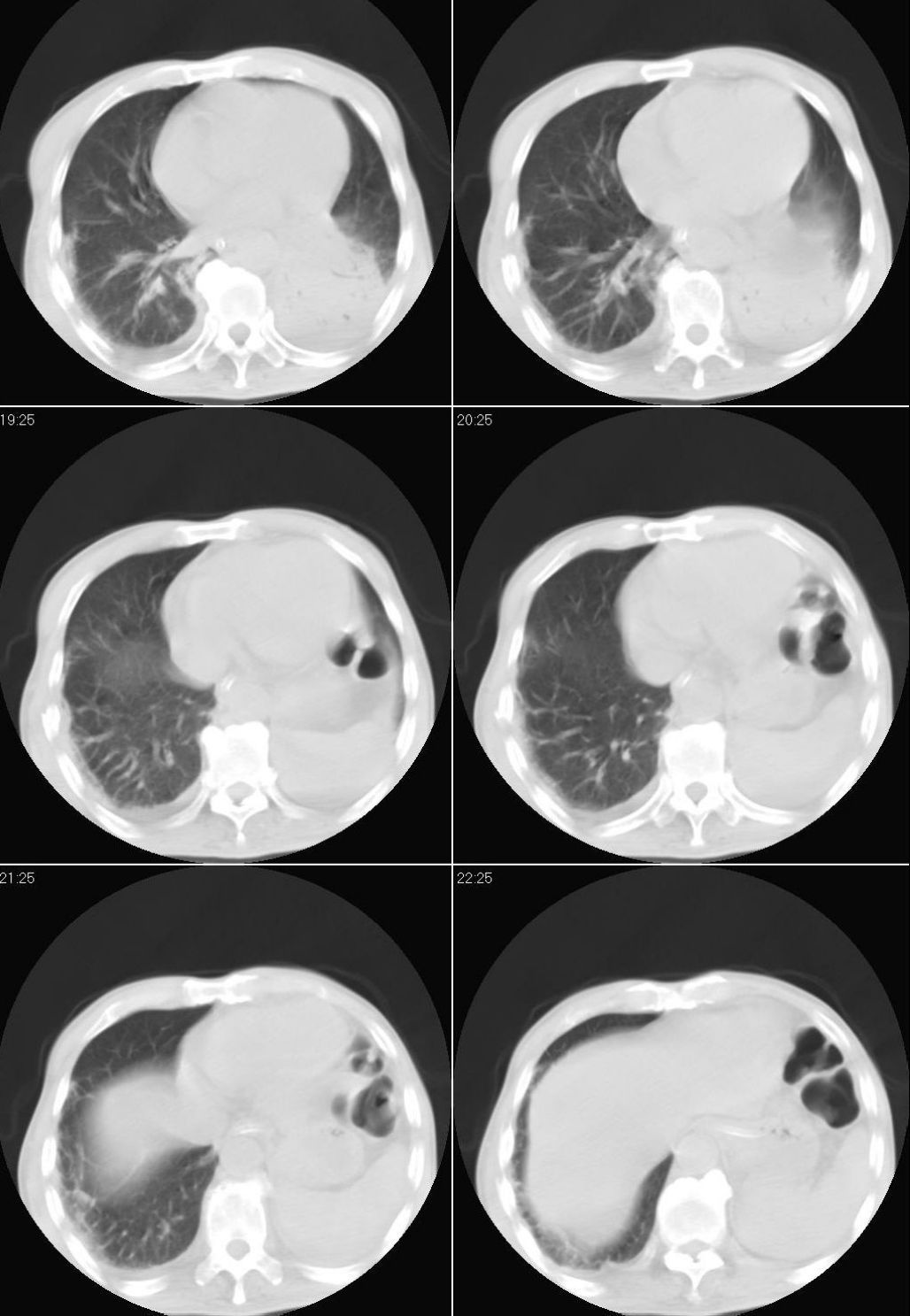
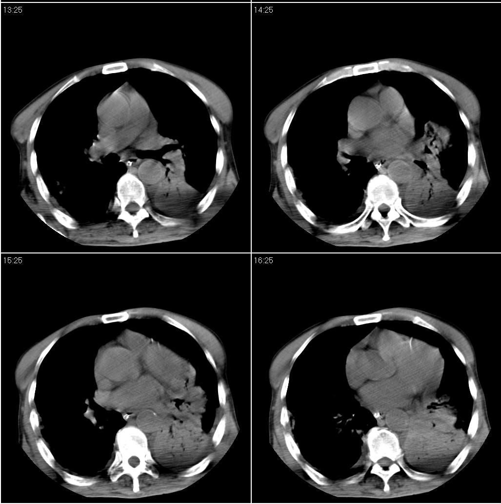
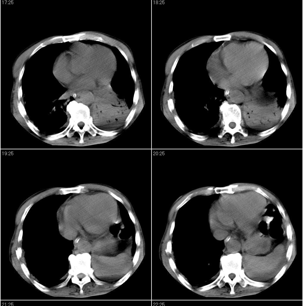
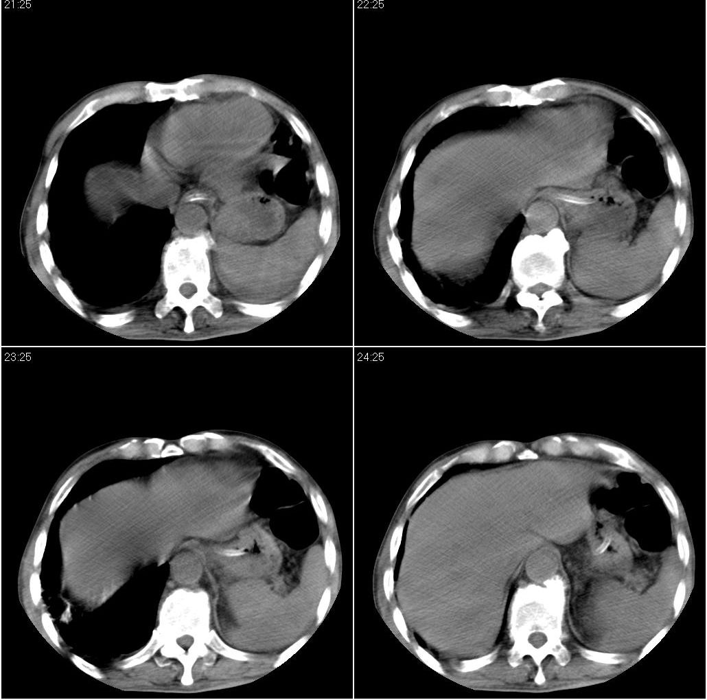
男性,65岁。因外伤来诊。该患者因脑外伤住院。以下是今天的dr和ct:











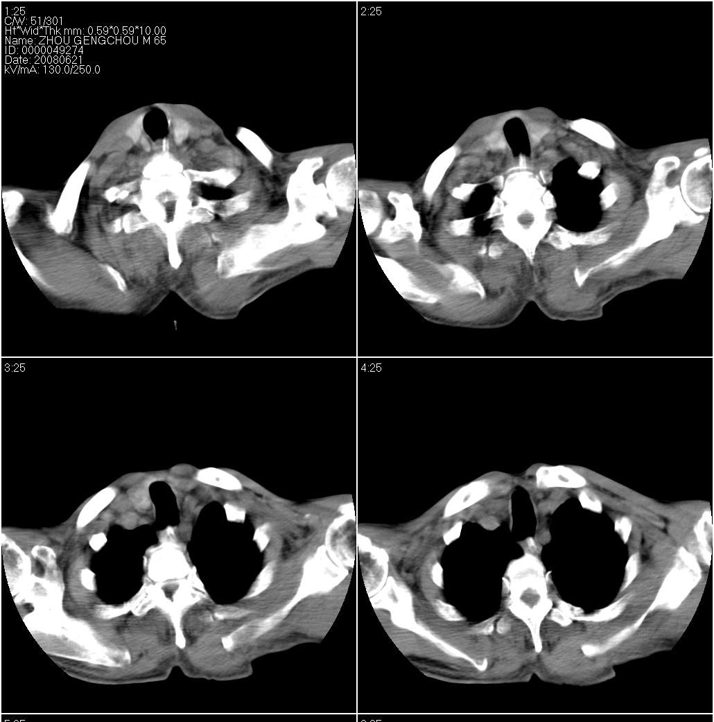
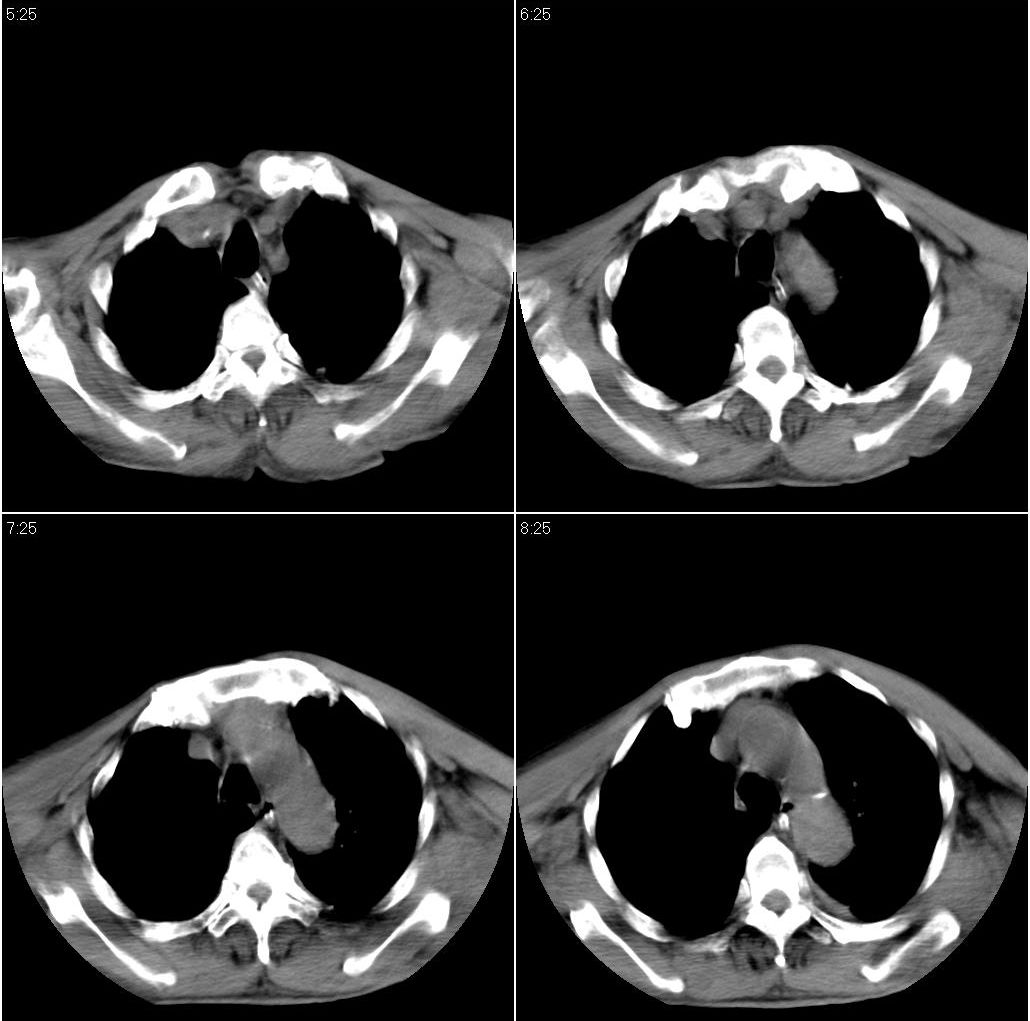
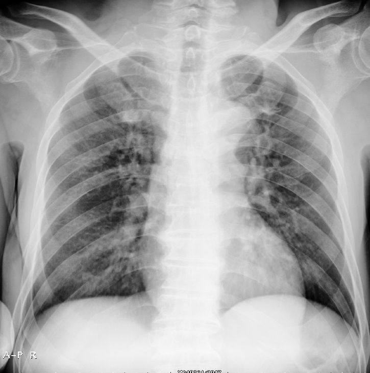
以下是一周前外伤时的dr:

[本贴已被 jiajie 于 2008-6-21 15:50:05 修改过]
align]
[本贴已被 fanshl 于 2008-6-21 18:10:01 修改过]
作者: sl789 时间: 2008-6-21 23:37
左侧膈疝
作者: 沉默是金 时间: 2008-6-21 23:42
支持膈疝
作者: 深泽交通 时间: 2008-6-21 23:50
左肺下叶大叶性炎症;右肺上叶小叶性炎症
作者: lirenxiong 时间: 2008-6-21 23:55
支持膈疝
作者: liuyue 时间: 2008-6-22 00:09
1.左下肺大叶性肺炎伴肺不张.
2.右下肺外基底段肺炎.
3.左侧少量胸腔积液.
4.左侧膈疝.
建议:治疗后复查或支气管镜检查,除外左下肺占位性病变之可能.
作者: xulianj 时间: 2008-6-22 00:10
左下肺不张;建议纤支镜检查除外支气管肺癌。
作者: 宇宙CT 时间: 2008-6-22 00:35
支持膈疝
作者: zsl6918 时间: 2008-6-22 01:18
支持肺挫伤
作者: 杀毒软件 时间: 2008-6-22 01:18
标题: 回复:ct14165:男性,65岁。因外伤来诊
以下是引用xulianj在2008-6-21 16:10:00的发言:[br]左下肺不张;建议纤支镜检查除外支气管肺癌。
支持 膈疝
作者: 358450m 时间: 2008-6-22 01:48
标题: 回复:ct14165:男性,65岁。因外伤来诊
以下是引用zsl6918在2008-6-21 17:18:00的发言:[br]支持肺挫伤
作者: gaoshengjiang 时间: 2008-6-22 02:01
1.左下肺大叶性肺炎伴肺不张.
2.右下肺外基底段肺炎.
3.左侧少量胸腔积液.
4.左侧膈疝.
建议:治疗后复查或支气管镜检查,除外左下肺占位性病变之可能.
支持!
作者: liangshusheng 时间: 2008-6-22 02:25
左侧外伤性膈疝,并左下肺不张
作者: pujunzhi 时间: 2008-6-22 03:06
一周前胸片无异常,不考虑肿瘤,现x片及ct表现应与外伤有关,考虑左侧外伤性膈疝,并左下肺不张。右肺挫裂伤。少量胸水。
作者: 长城干红 时间: 2008-6-22 03:29
标题: 回复:ct14165:男性,65岁。因外伤来诊
以下是引用liuyue在2008-6-21 16:09:00的发言:[br]1.左下肺大叶性肺炎伴肺不张.[br]2.右下肺外基底段肺炎.[br]3.左侧少量胸腔积液.[br]4.左侧膈疝.[br]建议:治疗后复查或支气管镜检查,除外左下肺占位性病变之可能.
作者: 順⒎zī嘫... 时间: 2008-6-22 03:30
1.左侧膈疝
2左肺下叶炎症
胸腔积液,建议强化,排除占位
作者: wzr 时间: 2008-6-22 04:00
一周前胸片无异常,不考虑肿瘤,现x片及ct表现应与外伤有关,考虑左侧外伤性膈疝,并左下肺不张。右肺挫裂伤。少量胸水。支持
作者: CXW5 时间: 2008-6-22 04:16
1 外伤性左侧膈疝、胸腔积液致左肺下叶不张 2右肺挫伤
作者: jsgdoctor 时间: 2008-6-22 05:09
右侧第七肋骨骨折伴肺挫伤
作者: zhengfaming 时间: 2008-6-22 05:15
膈疝
作者: 影像孺子牛 时间: 2008-6-22 05:58
右侧第7肋骨腋段骨折并右肺挫伤;左侧膈疝并肺不张。
作者: 文莱 时间: 2008-6-22 06:05
1 左下肺压迫性肺不张拌血胸
2 右侧肋骨骨折伴右肺挫裂伤
作者: qingjing 时间: 2008-6-22 06:12
左侧膈疝并左下肺膨胀不全,,【左下支气管腔变狭窄随诊除外堵塞病变】右肺散在炎症。
作者: ydx_74 时间: 2008-6-22 06:37
左下肺挫伤不张,左侧胸腔积液,右侧肺挫伤
作者: yangyudong333 时间: 2008-6-22 12:37
一周前胸片无异常,不考虑肿瘤,现x片及ct表现应与外伤有关,考虑左侧外伤性膈疝,并左下肺不张。右肺挫裂伤。少量胸水。
作者: panjww 时间: 2008-6-22 18:19
左下肺叶阻塞性肺不张.左侧少量胸腔积液. 左侧膈疝可能性大,建议食道造影检查!
作者: dyqct 时间: 2008-6-24 01:06
标题: 回复:ct14165:男性,65岁。因外伤来诊
以下是引用xulianj在2008-6-21 16:10:00的发言:[br]左下肺不张;建议纤支镜检查除外支气管肺癌。
支持!
作者: qc80012345 时间: 2008-6-24 02:14
左下肺挫伤不张,左侧胸腔积液,右侧肺挫伤;膈疝。
作者: 拾荒者 时间: 2008-6-24 07:13
右侧肋骨骨折,右肺挫伤,左下肺不张(一周前检查没有,有没有外伤性支气管血块阻塞可能?建议纤支镜检查),左侧外伤性膈疝。
作者: peijunlong 时间: 2008-6-25 06:48
1:左下肺挫伤不考虑,因为肺挫伤一般在2-3天会吸收。
2:左侧膈疝亦不考虑,未见有疝的征象
3:左下叶肺不张(建议纤支镜进一步检查明确)—支持
| 欢迎光临 医影在线 (http://bbs.radida.com/bbs/) |
Powered by Discuz! X3.2 |