




















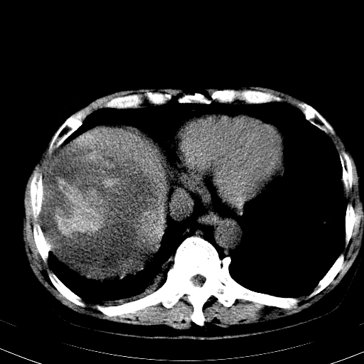
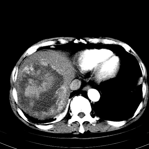
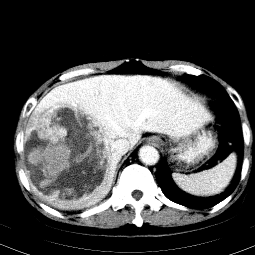
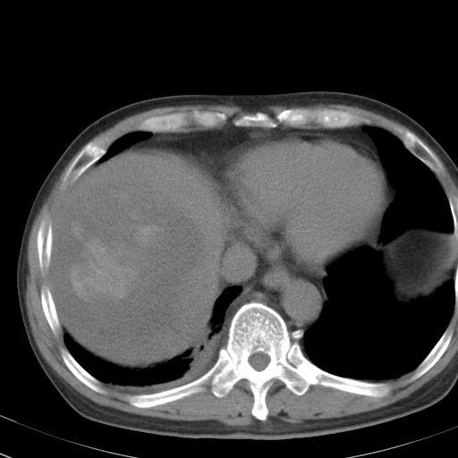
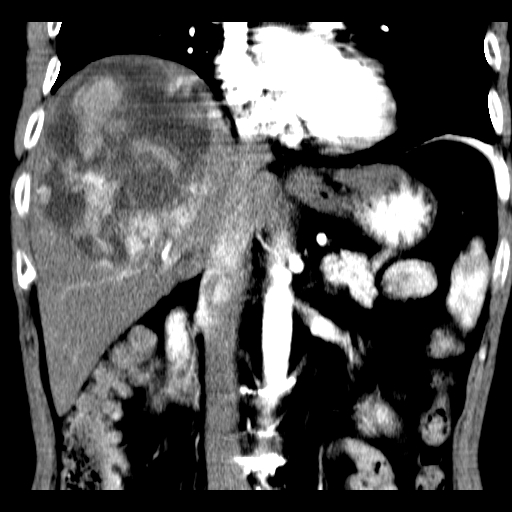
以下是引用hhcckk在2008-6-23 15:10:00的发言:[br]病灶内壁不光滑,中心高密度无强化,考虑肝癌内出血,最后两张横断面是延迟吗?病灶呈低密度。[br][br]鉴别:[br]1、脓肿,内壁光滑,不会发生出血[br]2、血管瘤,早期边缘结节样强化,可合并出血,但延迟后为等密度充填[br]
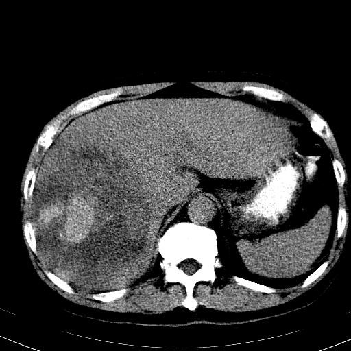
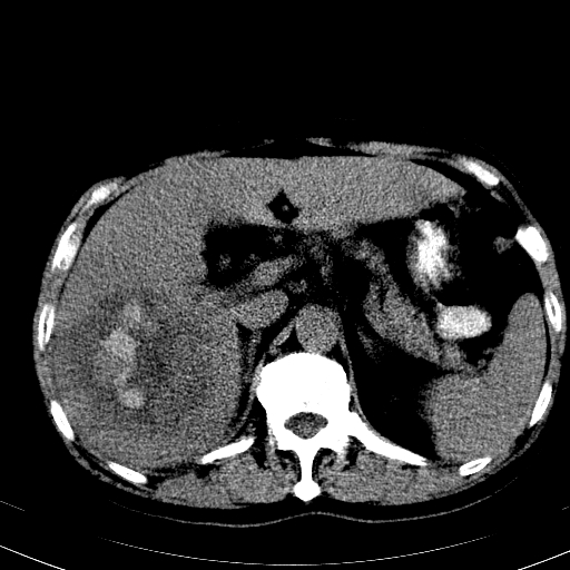
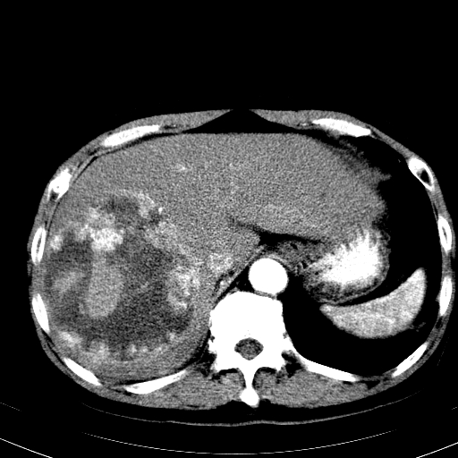
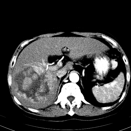
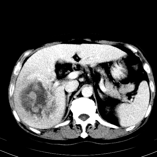
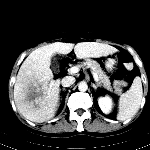
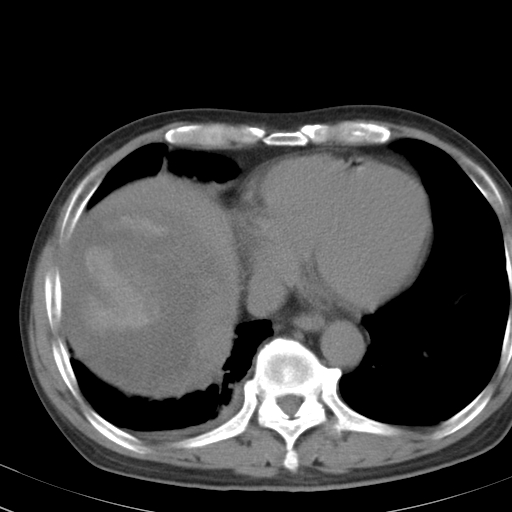
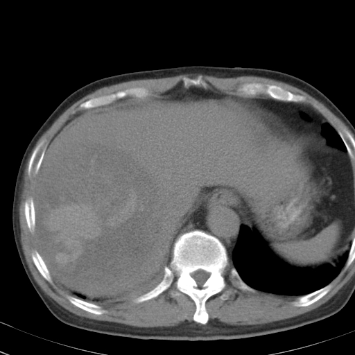
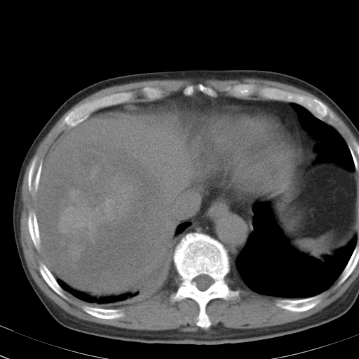
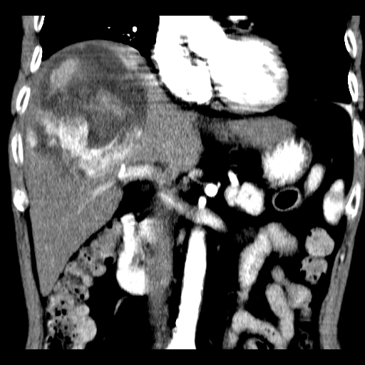
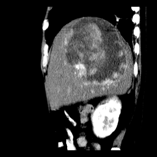
以下是引用卜一在2008-6-23 15:38:00的发言:[br]本例延时期的图象未扫完,单纯平扫 动脉期及门脉期特征分析:平扫低密度较大肿块,内见不规则出血灶,界限清楚。动脉期边缘结节样强化,门脉期病灶边缘进一步强化并范围明显缩小。因此考虑:血管瘤伴出血!
以下是引用卜一在2008-6-23 15:38:00的发言:[br]本例延时期的图象未扫完,单纯平扫 动脉期及门脉期特征分析:平扫低密度较大肿块,内见不规则出血灶,界限清楚。动脉期边缘结节样强化,门脉期病灶边缘进一步强化并范围明显缩小。因此考虑:血管瘤伴出血!
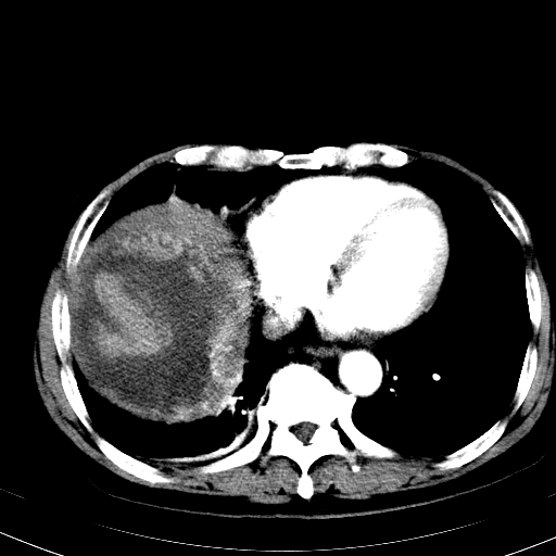
以下是引用深泽交通医院在2008-6-23 16:40:00的发言:[br]考虑肝癌伴出血.诊断依据:平扫瘤壁结节密度低于肝实质,动脉期壁结节明显强化,门脉期略低于肝实质密度[br]病灶有明显的假包膜,
以下是引用卜一在2008-6-23 15:38:00的发言:[br]本例延时期的图象未扫完,单纯平扫 动脉期及门脉期特征分析:平扫低密度较大肿块,内见不规则出血灶,界限清楚。动脉期边缘结节样强化,门脉期病灶边缘进一步强化并范围明显缩小。因此考虑:血管瘤伴出血!
以下是引用卜一在2008-6-23 15:38:00的发言:[br]本例延时期的图象未扫完,单纯平扫 动脉期及门脉期特征分析:平扫低密度较大肿块,内见不规则出血灶,界限清楚。动脉期边缘结节样强化,门脉期病灶边缘进一步强化并范围明显缩小。因此考虑:血管瘤伴出血!
以下是引用hhcckk在2008-6-23 15:10:00的发言:[br]病灶内壁不光滑,中心高密度无强化,考虑肝癌内出血,最后两张横断面是延迟吗?病灶呈低密度。[br][br]鉴别:[br]1、脓肿,内壁光滑,不会发生出血[br]2、血管瘤,早期边缘结节样强化,可合并出血,但延迟后为等密度充填[br]
以下是引用qiuleiyu在2008-6-23 20:53:00的发言:[br]支持;血管瘤伴出血可能大.
| 欢迎光临 医影在线 (http://bbs.radida.com/bbs/) | Powered by Discuz! X3.2 |