












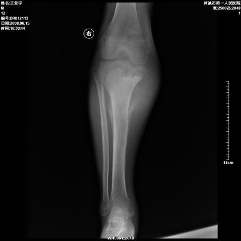
以下是引用随光逐影在2008-6-23 15:30:00的发言:[br]胫骨中上段骨肉瘤(临床表现:好发年龄+好发部位。ct表现:骨质破坏+肿瘤新生骨+骨膜反应并破坏,形成codman氏三角+软组织肿块)。
以下是引用随光逐影在2008-6-23 15:30:00的发言:[br]胫骨中上段骨肉瘤(临床表现:好发年龄+好发部位。ct表现:骨质破坏+肿瘤新生骨+骨膜反应并破坏,形成codman氏三角+软组织肿块)。
以下是引用随光逐影在2008-6-23 15:30:00的发言:[br]胫骨中上段骨肉瘤(临床表现:好发年龄+好发部位。ct表现:骨质破坏+肿瘤新生骨+骨膜反应并破坏,形成codman氏三角+软组织肿块)。
以下是引用随光逐影在2008-6-23 15:30:00的发言:[br]胫骨中上段骨肉瘤(临床表现:好发年龄+好发部位。ct表现:骨质破坏+肿瘤新生骨+骨膜反应并破坏,形成codman氏三角+软组织肿块)。
以下是引用随光逐影在2008-6-23 15:30:00的发言:[br]胫骨中上段骨肉瘤(临床表现:好发年龄+好发部位。ct表现:骨质破坏+肿瘤新生骨+骨膜反应并破坏,形成codman氏三角+软组织肿块)。
以下是引用随光逐影在2008-6-23 15:30:00的发言:[br]胫骨中上段骨肉瘤(临床表现:好发年龄+好发部位。ct表现:骨质破坏+肿瘤新生骨+骨膜反应并破坏,形成codman氏三角+软组织肿块)。
以下是引用随光逐影在2008-6-23 15:30:00的发言:[br]胫骨中上段骨肉瘤(临床表现:好发年龄+好发部位。ct表现:骨质破坏+肿瘤新生骨+骨膜反应并破坏,形成codman氏三角+软组织肿块)。
以下是引用随光逐影在2008-6-23 15:30:00的发言:[br]胫骨中上段骨肉瘤(临床表现:好发年龄+好发部位。ct表现:骨质破坏+肿瘤新生骨+骨膜反应并破坏,形成codman氏三角+软组织肿块)。
| 欢迎光临 医影在线 (http://bbs.radida.com/bbs/) | Powered by Discuz! X3.2 |